• Tel: 858.663.9055
  • SeparatorEmail: info@nsjbio.com
  • Tel: 858.663.9055
  • Email: info@nsjbio.com
Home >> Antibodies >> Zebrafish Gnaq Antibody / Guanine nucleotide-binding protein G(q) subunit alpha

Zebrafish Gnaq Antibody / Guanine nucleotide-binding protein G(q) subunit alpha (RZ1128)

  Catalog No Formulation Size Price (USD)  
Image RZ1128 0.5mg/ml if reconstituted with 0.2ml sterile DI water 100 ug 539
Bulk quote request
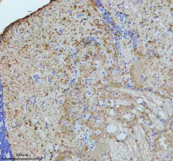
Zebrafish Gnaq Antibody Brain IHC. Immunohistochemistry staining of FFPE zebrafish brain tissue with Zebrafish Gnaq antibody, HRP secondary and DAB substrate. HIER: boil tissue sections in pH8 EDTA for 20 min and allow to cool before testing.
Zebrafish Gnaq Antibody WB. Western blot analysis of Gnaq protein using Zebrafish Gnaq antibody and 1) zebrafish head, 2) whole female zebrafish, 3) whole male zebrafish and 4) zebrafish embryo tissue lysate. Predicted molecular weight ~42 kDa.
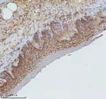
Zebrafish Gnaq Antibody Esophagus IHC. Immunohistochemistry staining of FFPE zebrafish esophagus tissue with Zebrafish Gnaq antibody, HRP secondary and DAB substrate. HIER: boil tissue sections in pH8 EDTA for 20 min and allow to cool before testing.
Availability 2-3 weeks
Species Reactivity Zebrafish
Format Antigen affinity purified
Host Rabbit
Clonality Polyclonal (rabbit origin)
Isotype Rabbit Ig
Purity Antigen affinity chromatography
Buffer Lyophilized from 1X PBS with 2% Trehalose
UniProt B8JLJ7
Localization Cytoplasm
Applications Western Blot : 0.5-1 ug/ml
Immunohistochemistry (FFPE) : 2-5 ug/ml
Limitations This Zebrafish Gnaq antibody is available for research use only.
Review this product on BioCompare and get a $20 Amazon gift card

Related Products

Description

Zebrafish (Danio rerio) Gnaq antibody detects Gnaq, a G protein alpha subunit that couples cell-surface receptors to intracellular signaling pathways controlling development, physiology, and cellular responsiveness. In zebrafish, the gnaq gene encodes Guanine nucleotide-binding protein G(q) subunit alpha, a member of the heterotrimeric G protein family that activates phospholipase C beta (PLC-beta) upon receptor stimulation. This activation initiates hydrolysis of phosphatidylinositol 4,5-bisphosphate into IP3 and diacylglycerol, driving calcium release from intracellular stores and activating protein kinase C. Because Gnaq integrates numerous extracellular cues into coordinated signaling responses, Zebrafish Gnaq antibody reagents are widely used in studies of signal transduction, neural development, and vertebrate physiology.

During zebrafish embryogenesis, gnaq expression is enriched in neural tissues, sensory structures, the heart, and developing musculature, reflecting its involvement in pathways regulating excitability, contraction, and calcium signaling. Gnaq-dependent signaling contributes to early patterning events by modulating responses to developmental cues such as growth factors, neurotransmitters, and chemokines. Disruption of Gq signaling in vertebrate systems affects cardiovascular function, pigmentation, sensory perception, and synaptic activity, underscoring the conserved role of Gnaq in organogenesis and homeostasis.

At the molecular level, Gnaq cycles between inactive GDP-bound and active GTP-bound states. Upon receptor activation, Gnaq exchanges GDP for GTP and engages downstream effectors including PLC-beta, TRPC channels, and regulators of calcium homeostasis. These interactions shape second-messenger signaling platforms that influence gene expression, cytoskeletal remodeling, and cellular metabolism. In zebrafish, Gnaq-driven calcium oscillations are important for muscle differentiation, neuronal circuit maturation, and coordinated tissue morphogenesis.

Gnaq also contributes to sensory and neurological processes. In vertebrates, Gq signaling is essential for phototransduction, taste transduction, and certain neuromodulatory pathways. Zebrafish exhibit comparable Gq-dependent processes, particularly in retinal development, neural crest-derived sensory organs, and hindbrain circuitry. These pathways rely on precise timing and magnitude of calcium signals that Gnaq helps regulate. Altered Gnaq activity can modify neuronal firing patterns, vascular tone, or heart rate, offering valuable insights into GPCR signaling behavior in vivo.

In addition to PLC-beta activation, Gnaq influences cytoskeletal dynamics by modifying Rho-family GTPase activity and interacting with scaffolding proteins that shape actin architecture. These functions support migration of neural crest cells, epithelial sheet movements, and cardiac morphogenesis. Zebrafish provide an excellent live-imaging system for visualizing these processes during development, enabling detailed analysis of Gnaq-regulated signaling networks.

Subcellular localization of Gnaq is primarily at the plasma membrane, where it interacts with G protein-coupled receptors (GPCRs) and downstream effectors. Active and inactive forms redistribute depending on receptor signaling status, allowing dynamic regulation of calcium-based signaling. Conservation of structural motifs and signaling behavior across vertebrates makes zebrafish a strong comparative model for studying Gq-pathway function in physiology and disease.

A Zebrafish Gnaq antibody is suitable for research applications such as western blotting, immunohistochemistry, and assays examining GPCR signaling, calcium mobilization, neural circuit development, and cardiovascular regulation. This antibody targets Gnaq for studies involving second-messenger signaling, receptor-mediated pathways, and vertebrate developmental biology. NSJ Bioreagents provides the Zebrafish Gnaq antibody to support research in intracellular signaling and physiological regulation.

This Zebrafish antibody is part of a broader Zebrafish / Danio rerio antibody panel offered by NSJ Bioreagents.

Application Notes

Optimal dilution of the Zebrafish Gnaq antibody should be determined by the researcher.

Immunogen

An E.coli-derived zebrafish Gnaq recombinant protein (amino acids K102-D138) was used as the immunogen for the Zebrafish Gnaq antibody.

Storage

After reconstitution, the Zebrafish Gnaq antibody can be stored for up to one month at 4oC. For long-term, aliquot and store at -20oC. Avoid repeated freezing and thawing.

Cross
Bulk Quote Request Form
Name*:
Organization*:
Email*:
Phone Number*:
Catalog No.*:
Comments and Specifics(amount, formulation, etc.)*:
Validation code: Captchapackage Image


Can't read the image? click here to refresh.
    *required field

Your bulk quote request has been submitted successfully!

Please contact us if you have any questions.