• Tel: 858.663.9055
  • SeparatorEmail: info@nsjbio.com
  • Tel: 858.663.9055
  • Email: info@nsjbio.com
Home >> Antibodies >> Zebrafish Gnao1a Antibody / Guanine nucleotide-binding protein G(o) subunit alpha

Zebrafish Gnao1a Antibody / Guanine nucleotide-binding protein G(o) subunit alpha (RZ1172)

  Catalog No Formulation Size Price (USD)  
Image RZ1172 0.5mg/ml if reconstituted with 0.2ml sterile DI water 100 ug 539
Bulk quote request
Immunofluorescent staining of FFPE zebrafish embryo tissue with Zebrafish Gnao1a antibody (green) and DAPI nuclear stain (blue). HIER: steam section in pH8 EDTA buffer for 20 min.
Western blot analysis of Gnao1a protein using Zebrafish Gnao1a antibody and 1) zebrafish head, 2) whole female zebrafish, 3) whole male zebrafish and 4) zebrafish embryo tissue lysate. Predicted molecular weight ~40 kDa.
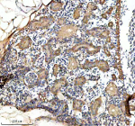
IHC staining of FFPE zebrafish kidney tissue with Zebrafish Gnao1a antibody, HRP secondary and DAB substrate. HIER: boil tissue sections in pH8 EDTA for 20 min and allow to cool before testing.
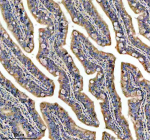
IHC staining of FFPE zebrafish liver tissue with Zebrafish Gnao1a antibody, HRP secondary and DAB substrate. HIER: boil tissue sections in pH8 EDTA for 20 min and allow to cool before testing.
IHC staining of FFPE zebrafish colon tissue with Zebrafish Gnao1a antibody, HRP secondary and DAB substrate. HIER: boil tissue sections in pH8 EDTA for 20 min and allow to cool before testing.
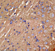
IHC staining of FFPE zebrafish brain tissue with Zebrafish Gnao1a antibody, HRP secondary and DAB substrate. HIER: boil tissue sections in pH8 EDTA for 20 min and allow to cool before testing.
Availability 2-3 weeks
Species Reactivity Zebrafish
Format Antigen affinity purified
Clonality Polyclonal (rabbit origin)
Isotype Rabbit Ig
Purity Antigen affinity chromatography
Buffer Lyophilized from 1X PBS with 2% Trehalose
UniProt Q6PBP1
Localization Cytoplasm, cell membrane
Applications Western Blot : 0.5-1 ug/ml
Immunohistochemistry (FFPE) : 2-5 ug/ml
Immunofluorescence : 5 ug/ml
Limitations This Zebrafish Gnao1a antibody is available for research use only.
Review this product on BioCompare and get a $20 Amazon gift card

Related Products

  • Applications : WB, FACS, IHC-P
    Reactivity : Human, Mouse
  • Applications : WB, IHC-P
    Reactivity : Human, Mouse, Rat
  • Applications : WB, IHC-P
    Reactivity : Human, Mouse, Rat
  • Applications : WB
    Reactivity : Human
  • Applications : WB
    Reactivity : Human, Mouse
  • Applications : WB, IHC-P
    Reactivity : Human, Mouse, Rat, Primate, Dog
  • Applications : FACS, IHC, IF
    Reactivity : NA
  • Applications : WB
    Reactivity : Human, Mouse, Rat
  • Applications : WB
    Reactivity : Human, Mouse, Rat, Primate, Dog
  • Applications : WB
    Reactivity : Human, Mouse, Rat, Dog
  • Applications : WB
    Reactivity : Human, Mouse, Primate
  • Applications : WB
    Reactivity : Human, Mouse, Rat, Primate
  • Applications : WB
    Reactivity : Human, Mouse, Rat, Monkey, Rabbit, Chicken, Dog
  • Applications : WB
    Reactivity : Human, Mouse, Rat, Primate, Dog
  • Applications : WB
    Reactivity : Mouse
  • Applications : WB
    Reactivity : Human, Mouse, Rat
  • Applications : WB
    Reactivity : Human, Primate

Description

Guanine nucleotide-binding protein G(o) subunit alpha is a protein that in humans is encoded by the GNAO1 gene. The protein encoded by this gene represents the alpha subunit of the Go heterotrimeric G-protein signal-transducing complex. Defects in this gene are a cause of early-onset epileptic encephalopathy. Two transcript variants encoding different isoforms have been found for this gene.

Application Notes

Optimal dilution of the Zebrafish Gnao1a antibody should be determined by the researcher.

Immunogen

An E.coli-derived zebrafish Gnao1a recombinant protein (amino acids C3-R179) was used as the immunogen for the Zebrafish Gnao1a antibody.

Storage

After reconstitution, the Zebrafish Gnao1a antibody can be stored for up to one month at 4oC. For long-term, aliquot and store at -20oC. Avoid repeated freezing and thawing.

Cross
Bulk Quote Request Form
Name*:
Organization*:
Email*:
Phone Number*:
Catalog No.*:
Comments and Specifics(amount, formulation, etc.)*:
Validation code: Captchapackage Image


Can't read the image? click here to refresh.
    *required field

Your bulk quote request has been submitted successfully!

Please contact us if you have any questions.