• Tel: 858.663.9055
  • SeparatorEmail: info@nsjbio.com
  • Tel: 858.663.9055
  • Email: info@nsjbio.com
Home >> Antibodies >> Zebrafish Glutamine synthetase Antibody / Glul | Glula / Glulb

Zebrafish Glutamine synthetase Antibody / Glul | Glula / Glulb (RZ1145)

  Catalog No Formulation Size Price (USD)  
Image RZ1145 0.5mg/ml if reconstituted with 0.2ml sterile DI water 100 ug 539
Bulk quote request
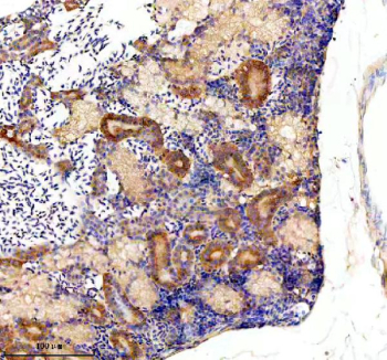
Zebrafish Glutamine synthetase / Glul Antibody Kidney Tissue IHC. Immunohistochemical analysis of Glula/b protein using Zebrafish Glutamine synthetase antibody and paraffin-embedded zebrafish kidney tissue. HIER: boil tissue sections in pH8 EDTA for 20 min and allow to cool before testing.
Zebrafish Glutamine synthetase / Glul Antibody Tissue WB. Western blot analysis of Glula/b protein using Zebrafish Glutamine synthetase antibody and zebrafish head tissue lysate. The predicted molecular weight of GLULa/b is ~42 kDa.
Zebrafish Glutamine synthetase / Glul Antibody Brain Tissue IHC. Immunohistochemical analysis of Glula/b protein using Zebrafish Glutamine synthetase antibody and paraffin-embedded zebrafish brain tissue. HIER: boil tissue sections in pH8 EDTA for 20 min and allow to cool before testing.
Availability 2-3 weeks
Species Reactivity Zebrafish
Format Antigen affinity purified
Host Rabbit
Clonality Polyclonal (rabbit origin)
Isotype Rabbit Ig
Purity Antigen affinity chromatography
Buffer Lyophilized from 1X PBS with 2% Trehalose
UniProt Q7T2P7
Localization Cytoplasm
Applications Western Blot : 0.5-1 ug/ml
Immunohistochemistry (FFPE) : 2-5 ug/ml
Limitations This Zebrafish Glutamine synthetase antibody is available for research use only.
Review this product on BioCompare and get a $20 Amazon gift card

Related Products

Description

Zebrafish (Danio rerio) Glutamine synthetase antibody detects Glutamine synthetase, a key metabolic enzyme responsible for the ATP-dependent synthesis of glutamine from glutamate and ammonium. In zebrafish, this function is carried out by two paralogs, glula and glulb, which encode highly conserved enzyme isoforms that contribute to nitrogen metabolism, neurotransmitter cycling, detoxification, and cellular growth. Glutamine synthetase is central to maintaining glutamate and ammonia balance within tissues, and its activity is indispensable for proper neural development, hepatic function, and overall metabolic homeostasis. Because glutamine is a major carbon and nitrogen donor for biosynthetic pathways, Zebrafish Glutamine synthetase antibody reagents support research in developmental metabolism, neural physiology, and amino acid regulation.

In the central nervous system, Glutamine synthetase plays a critical role in the glutamate-glutamine cycle by converting excess synaptic glutamate into glutamine within glial cells. This process prevents excitotoxicity and ensures a continuous supply of glutamine for neuronal neurotransmitter synthesis. Zebrafish express Glula and Glulb in distinct but overlapping glial populations, including radial glia, Müller glia in the retina, and additional supportive neural tissues. These expression patterns highlight the enzyme’s importance in regulating excitatory neurotransmission and supporting neural circuit maturation.

Outside the nervous system, Glutamine synthetase contributes broadly to ammonium detoxification and metabolism. In zebrafish liver and kidney tissues, glula and glulb expression supports safe conversion of ammonium into glutamine, allowing nitrogen to be transported or incorporated into biosynthetic pathways. This function is essential during embryogenesis, particularly as rapidly growing tissues require large amounts of amino acids for protein, nucleotide, and lipid synthesis. Impaired Glutamine synthetase activity disrupts nitrogen balance and can compromise organ development and metabolic adaptation.

Glutamine synthetase also impacts cell proliferation and growth. In vertebrates, glutamine availability influences mTOR signaling, nucleotide biosynthesis, and redox control. Zebrafish embryos rely on these pathways during early cell divisions, tissue expansion, and organogenesis, making Glula and Glulb critical factors in coordinating metabolic supply with developmental demand. In addition, Glutamine synthetase supports responses to oxidative stress by providing glutamine for glutathione synthesis, contributing to cellular antioxidant defense.

At the biochemical level, Glutamine synthetase forms a decameric complex composed of identical subunits that bind ATP, glutamate, and ammonium. The enzyme’s catalytic mechanism is highly conserved from fish to mammals. In zebrafish, Glula and Glulb differ slightly in tissue distribution and regulatory control but maintain similar catalytic properties. Subcellular localization is predominantly cytosolic, though enrichment varies by cell type depending on metabolic requirements.

Glutamine synthetase expression is dynamically regulated in response to nutrient availability, stress, and developmental cues. Increased expression often marks metabolically active regions, making it a useful indicator of glutamine-dependent biosynthesis. In zebrafish, these properties support its use as a marker for glial identity in neural research and as a readout for metabolic flux in developmental studies.

A Zebrafish Glutamine synthetase antibody is suitable for research applications such as western blotting, immunohistochemistry, and assays examining nitrogen metabolism, neurotransmitter cycling, and metabolic regulation. This antibody targets Glutamine synthetase for studies involving neural development, liver function, and vertebrate metabolic physiology. NSJ Bioreagents provides the Zebrafish Glutamine synthetase antibody to support investigations in developmental metabolism and amino acid biology.

This Zebrafish antibody is part of a broader Zebrafish / Danio rerio antibody panel offered by NSJ Bioreagents.

Application Notes

Optimal dilution of the Zebrafish Glutamine synthetase antibody should be determined by the researcher.

Immunogen

An E.coli-derived zebrafish Glula/b recombinant protein (amino acids N74-Y371) was used as the immunogen for the Zebrafish Glutamine synthetase antibody.

Storage

After reconstitution, the Zebrafish Glutamine synthetase antibody can be stored for up to one month at 4oC. For long-term, aliquot and store at -20oC. Avoid repeated freezing and thawing.

Cross
Bulk Quote Request Form
Name*:
Organization*:
Email*:
Phone Number*:
Catalog No.*:
Comments and Specifics(amount, formulation, etc.)*:
Validation code: Captchapackage Image


Can't read the image? click here to refresh.
    *required field

Your bulk quote request has been submitted successfully!

Please contact us if you have any questions.