• Tel: 858.663.9055
  • SeparatorEmail: info@nsjbio.com
  • Tel: 858.663.9055
  • Email: info@nsjbio.com
Home >> Antibodies >> Zebrafish Gephyrin Antibody / Gphna / Gphnb

Zebrafish Gephyrin Antibody / Gphna / Gphnb (RZ1100)

  Catalog No Formulation Size Price (USD)  
Image RZ1100 0.5mg/ml if reconstituted with 0.2ml sterile DI water 100 ug 539
Bulk quote request
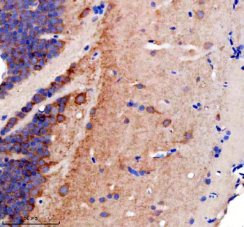
Zebrafish Gephyrin Antibody Brain IHC. Immunohistochemical analysis of GPHNa/b protein using Zebrafish Gephyrin antibody and paraffin-embedded zebrafish brain tissue. HIER: boil tissue sections in pH8 EDTA for 20 min and allow to cool before testing.
Zebrafish Gephyrin Antibody WB. Western blot analysis of GPHNa/b protein using Zebrafish Gephyrin antibody and zebrafish head tissue lysate. The predicted molecular weight of GPHNa/b is ~80 kDa, commonly observed at ~93 kDa.
Zebrafish Gephyrin Antibody Pancreas IHC. Immunohistochemical analysis of GPHNa/b protein using Zebrafish Gephyrin antibody and paraffin-embedded zebrafish pancreas tissue. HIER: boil tissue sections in pH8 EDTA for 20 min and allow to cool before testing.
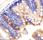
Zebrafish Gephyrin Antibody Colon IHC. Immunohistochemical analysis of GPHNa/b protein using Zebrafish Gephyrin antibody and paraffin-embedded zebrafish colon tissue. HIER: boil tissue sections in pH8 EDTA for 20 min and allow to cool before testing.
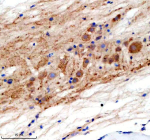
Zebrafish Gephyrin Antibody Spinal Cord IHC. Immunohistochemical analysis of GPHNa/b protein using Zebrafish Gephyrin antibody and paraffin-embedded zebrafish spinal cord tissue. HIER: boil tissue sections in pH8 EDTA for 20 min and allow to cool before testing.
Availability 2-3 weeks
Species Reactivity Zebrafish
Format Antigen affinity purified
Host Rabbit
Clonality Polyclonal (rabbit origin)
Isotype Rabbit Ig
Purity Antigen affinity chromatography
Buffer Lyophilized from 1X PBS with 2% Trehalose
UniProt D3KYK7
Applications Western Blot : 0.5-1 ug/ml
Immunohistochemistry (FFPE) : 2-5 ug/ml
Limitations This Zebrafish Gephyrin antibody is available for research use only.
Review this product on BioCompare and get a $20 Amazon gift card

Related Products

Description

Zebrafish (Danio rerio) Gephyrin antibody detects Gephyrin, a multifunctional scaffolding protein essential for inhibitory synapse formation and molybdenum cofactor biosynthesis. In zebrafish, the gephyrin gene is represented by two paralogs, gphna and gphnb, each encoding a conserved structural regulator involved in clustering glycine and GABA(A) receptors at postsynaptic sites. Gephyrin contains N terminal G domains and C terminal E domains that mediate dimerization, trimerization, and receptor anchoring, enabling it to assemble postsynaptic scaffolds required for efficient inhibitory neurotransmission. These functions make Gphna antibody and Gphnb antibody reagents valuable tools for studies in synaptic development, receptor trafficking, and neurobiology.

Gephyrin plays a central role in organizing inhibitory synapses by anchoring ligand gated ion channels to the cytoskeleton. It interacts with GABA(A) receptor subunits, glycine receptors, and cytoskeletal partners such as tubulin and actin associated proteins. Through these connections, Gephyrin supports receptor stabilization, synaptic strength, and neurotransmission efficiency. In zebrafish embryos, gphna and gphnb are expressed in developing neural tissues, including brain regions undergoing rapid synaptogenesis, spinal cord circuits, and sensory pathways. These expression patterns align with the timing of inhibitory network formation during early development.

In addition to synaptic organization, Gephyrin participates in the enzymatic pathway that synthesizes molybdenum cofactor, a molecule required for enzymes involved in purine catabolism, detoxification, and redox balance. This dual role reflects an evolutionarily conserved multifunctional capacity: scaffolding in neurons and enzymatic activity in metabolic pathways. Disruption of gephyrin function in vertebrate systems leads to defects in synaptic inhibition, altered neuronal excitability, metabolic imbalance, and impaired behavioral responses.

At the molecular level, Gephyrin polymerizes into lattice like structures at inhibitory postsynaptic membranes, where it organizes receptor clusters and stabilizes synaptic geometry. Its dynamic assembly and disassembly are regulated by phosphorylation, palmitoylation, and protein interaction networks. Known co localization partners include collybistin, neuroligin 2, and cytoskeletal regulators that collectively shape synaptic identity. In zebrafish, these interactions contribute to the development of coordinated neural circuits, affecting locomotor activity, sensorimotor integration, and early behavioral outputs.

The zebrafish paralogs gphna and gphnb show overlapping but distinct spatial distributions. Gphna is frequently expressed in ventral spinal cord neurons and early hindbrain populations, whereas Gphnb is more prominently associated with forebrain structures and maturing inhibitory networks. Both paralogs support synapse maturation, neuronal stability, and circuit refinement, and together they ensure robust formation of inhibitory signaling domains across the developing nervous system.

Beyond neural development, Gephyrin's involvement in molybdenum cofactor synthesis indicates broader roles in metabolic resilience. Enzymes dependent on this cofactor influence responses to oxidative stress, nitrogen balance, and metabolic processing. Zebrafish models provide a tractable system for exploring how disruptions in Gephyrin regulated metabolic pathways intersect with neuronal development and overall organismal health.

A Zebrafish Gephyrin antibody is suitable for research applications such as western blotting, immunohistochemistry, and assays examining inhibitory synapses, receptor clustering, and neurotransmission. This reagent detects endogenous Gephyrin isoforms without implying epitope mapping or literature validated specificity. NSJ Bioreagents provides the Zebrafish Gephyrin antibody to support studies in synaptic biology, neural circuit formation, inhibitory signaling, and vertebrate developmental neurobiology.

This Zebrafish antibody is part of a broader Zebrafish / Danio rerio antibody panel offered by NSJ Bioreagents.

Application Notes

Optimal dilution of the Zebrafish Gephyrin antibody should be determined by the researcher.

Immunogen

An E.coli-derived zebrafish GPHNa/b recombinant protein (amino acids V288-L735) was used as the immunogen for the Zebrafish Gephyrin antibody.

Storage

After reconstitution, the Zebrafish Gephyrin antibody can be stored for up to one month at 4oC. For long-term, aliquot and store at -20oC. Avoid repeated freezing and thawing.

Cross
Bulk Quote Request Form
Name*:
Organization*:
Email*:
Phone Number*:
Catalog No.*:
Comments and Specifics(amount, formulation, etc.)*:
Validation code: Captchapackage Image


Can't read the image? click here to refresh.
    *required field

Your bulk quote request has been submitted successfully!

Please contact us if you have any questions.