• Tel: 858.663.9055
  • SeparatorEmail: info@nsjbio.com
  • Tel: 858.663.9055
  • Email: info@nsjbio.com
Home >> Antibodies >> Zebrafish Gbf1 Antibody / Golgi-specific brefeldin A-resistance guanine nucleotide exchange factor 1

Zebrafish Gbf1 Antibody / Golgi-specific brefeldin A-resistance guanine nucleotide exchange factor 1 (RZ1114)

  Catalog No Formulation Size Price (USD)  
Image RZ1114 0.5mg/ml if reconstituted with 0.2ml sterile DI water 100 ug 539
Bulk quote request
Immunofluorescent staining of FFPE zebrafish embryo tissue with Zebrafish Gbf1 antibody (green) and DAPI nuclear stain (blue). HIER: steam section in pH8 EDTA buffer for 20 min.
Western blot analysis of Gbf1 protein using Zebrafish Gbf1 antibody and 1) zebrafish head, 2) whole female zebrafish, 3) whole male zebrafish and 4) zebrafish embryo tissue lysate. Predicted molecular weight ~208 kDa.
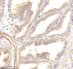
IHC staining of FFPE zebrafish heart tissue with Zebrafish Gbf1 antibody. HIER: boil tissue sections in pH8 EDTA for 20 min and allow to cool before testing.
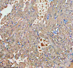
IHC staining of FFPE zebrafish kidney tissue with Zebrafish Gbf1 antibody. HIER: boil tissue sections in pH8 EDTA for 20 min and allow to cool before testing.
IHC staining of FFPE zebrafish brain tissue with Zebrafish Gbf1 antibody. HIER: boil tissue sections in pH8 EDTA for 20 min and allow to cool before testing.
Availability 2-3 weeks
Species Reactivity Zebrafish
Format Antigen affinity purified
Host Rabbit
Clonality Polyclonal (rabbit origin)
Isotype Rabbit Ig
Purity Antigen affinity chromatography
Buffer Lyophilized from 1X PBS with 2% Trehalose
UniProt A0A286Y9X1
Localization Cytoplasm
Applications Western Blot : 0.5-1 ug/ml
Immunohistochemistry (FFPE) : 2-5 ug/ml
Immunofluorescence : 5 ug/ml
Limitations This Zebrafish Gbf1 antibody is available for research use only.
Review this product on BioCompare and get a $20 Amazon gift card

Related Products

Description

Zebrafish (Danio rerio) Gbf1 antibody detects Golgi-specific brefeldin A-resistance guanine nucleotide exchange factor 1, a large Arf guanine nucleotide exchange factor essential for Golgi structure, membrane trafficking, and secretory pathway organization. In zebrafish, the gbf1 gene encodes a highly conserved Sec7-domain containing protein that activates ADP-ribosylation factor (Arf) GTPases, initiating vesicle formation at the Golgi and early secretory compartments. Through catalyzing GDP-GTP exchange on Arf1 and related GTPases, Gbf1 regulates coat protein recruitment, vesicle budding, and Golgi dynamics. Because these pathways underpin protein secretion, membrane flow, and organelle integrity, Zebrafish Gbf1 antibody reagents are widely used for developmental cell biology and membrane trafficking research.

In zebrafish embryos, gbf1 is expressed in tissues with high secretory or biosynthetic activity, including developing endodermal organs, neural structures, musculature, and rapidly dividing progenitor zones. Proper Gbf1 activity is required for maintaining Golgi morphology and ensuring efficient movement of cargo proteins through the early secretory pathway. Disruption of Gbf1 function in vertebrates leads to Golgi collapse, impaired secretion, and defects in lipid homeostasis, demonstrating its essential role in organelle and tissue development. Zebrafish studies show that perturbing gbf1 affects notochord formation, cardiac development, and neuronal patterning due to faulty membrane and protein trafficking.

At the molecular level, Gbf1 contains a Sec7 catalytic domain that drives nucleotide exchange on Arf GTPases, alongside additional regulatory regions that mediate localization and interaction with vesicle coat complexes. Activation of Arf1 by Gbf1 promotes recruitment of COPI coats and adaptor proteins, enabling vesicle budding from the cis-Golgi and ER-Golgi intermediate compartment. This process is necessary for recycling of Golgi enzymes, retrieval of ER resident proteins, and maintenance of compartmental identity. In zebrafish, these trafficking steps support organ morphogenesis, polarized cell behavior, and differentiation of secretory epithelia.

Gbf1 also participates in lipid regulation and membrane curvature, influencing Golgi tubulation, vesicle formation, and membrane remodeling. Its activity ensures that biosynthetic cargo reaches developing tissues during growth and organogenesis. Known interaction partners include Arf1, COPI subunits, golgins, and additional regulators of early secretory pathway architecture. Because Golgi function affects signaling receptor maturation and secretion of morphogens, Gbf1 indirectly shapes developmental pathways including Wnt, Hedgehog, and FGF signaling.

Subcellular localization of Gbf1 is predominantly at the cis-Golgi and ER-Golgi intermediate compartment, though dynamic redistribution occurs in response to cellular stress and membrane trafficking demand. Its function is inhibited by brefeldin A, which destabilizes the interaction between Gbf1 and Arf1; resistance to brefeldin A is tied to specific structural features in the Gbf1 protein family. Zebrafish provide a powerful vertebrate system for visualizing these trafficking disruptions in vivo.

A Zebrafish Gbf1 antibody is suitable for research applications such as western blotting, immunohistochemistry, and assays examining Golgi organization, vesicle trafficking, and Arf GTPase regulation. This antibody targets Gbf1 for studies focused on secretory pathway development, membrane dynamics, and early vertebrate organogenesis. NSJ Bioreagents provides the Zebrafish Gbf1 antibody to support research in intracellular trafficking and developmental cell biology.

Application Notes

Optimal dilution of the Zebrafish Gbf1 antibody should be determined by the researcher.

Immunogen

An E.coli-derived zebrafish Gbf1 recombinant protein (amino acids E110-K1605) was used as the immunogen for the Zebrafish Gbf1 antibody.

Storage

After reconstitution, the Zebrafish Gbf1 antibody can be stored for up to one month at 4oC. For long-term, aliquot and store at -20oC. Avoid repeated freezing and thawing.

Cross
Bulk Quote Request Form
Name*:
Organization*:
Email*:
Phone Number*:
Catalog No.*:
Comments and Specifics(amount, formulation, etc.)*:
Validation code: Captchapackage Image


Can't read the image? click here to refresh.
    *required field

Your bulk quote request has been submitted successfully!

Please contact us if you have any questions.