• Tel: 858.663.9055
  • SeparatorEmail: info@nsjbio.com
  • Tel: 858.663.9055
  • Email: info@nsjbio.com
Home >> Antibodies >> Zebrafish Fshb Antibody / Follicle stimulating hormone beta

Zebrafish Fshb Antibody / Follicle stimulating hormone beta (RZ1182)

  Catalog No Formulation Size Price (USD)  
Image RZ1182 0.5mg/ml if reconstituted with 0.2ml sterile DI water 100 ug 539
Bulk quote request
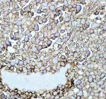
Zebrafish Fshb Antibody Eye Tissue IHC. Immunohistochemistry staining of FFPE zebrafish eye tissue with Zebrafish Fshb antibody, HRP-labeled secondary and DAB substrate. HIER: boil tissue sections in pH8 EDTA for 20 min and allow to cool before testing.
Zebrafish Fshb Antibody Head and Embryo Tissue WB.Western blot analysis of Fshb protein using zebrafish Fshb antibody and 1) zebrafish head tissue lysate and 2) zebrafish embryo tissue lysate. Predicted molecular weight ~14 kDa.
Zebrafish Fshb Antibody Ovary Tissue IHC. Immunohistochemistry staining of FFPE zebrafish ovary tissue with Zebrafish Fshb antibody, HRP-labeled secondary and DAB substrate. HIER: boil tissue sections in pH8 EDTA for 20 min and allow to cool before testing.
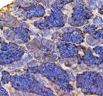
Zebrafish Fshb Antibody Testis Tissue IHC. Immunohistochemistry staining of FFPE zebrafish testis tissue with Zebrafish Fshb antibody, HRP-labeled secondary and DAB substrate. HIER: boil tissue sections in pH8 EDTA for 20 min and allow to cool before testing.
Zebrafish Fshb Antibody Hypophysis Tissue IHC. Immunohistochemistry staining of FFPE zebrafish hypophysis tissue with Zebrafish Fshb antibody, HRP-labeled secondary and DAB substrate. HIER: boil tissue sections in pH8 EDTA for 20 min and allow to cool before testing.
Availability 2-3 weeks
Species Reactivity Zebrafish
Format Antigen affinity purified
Host Rabbit
Clonality Polyclonal (rabbit origin)
Isotype Rabbit Ig
Purity Antigen affinity chromatography
Buffer Lyophilized from 1X PBS with 2% Trehalose
UniProt Q6TCF7
Applications Western Blot : 0.5-1ug/ml
Immunohistochemistry (FFPE) : 2-5ug/ml
Limitations This Zebrafish Fshb antibody is available for research use only.
Review this product on BioCompare and get a $20 Amazon gift card

Related Products

Description

Zebrafish (Danio rerio) Fshb antibody detects Fshb, the beta subunit of follicle stimulating hormone, a key pituitary-derived glycoprotein that regulates vertebrate reproductive development and gametogenesis. Encoded in zebrafish by the fshb gene, Follicle stimulating hormone beta pairs with the common alpha subunit to form functional FSH, a hormone essential for ovarian follicle recruitment, oocyte growth, spermatogenesis, and endocrine signaling within the hypothalamic-pituitary-gonadal axis. Because the beta subunit determines hormonal specificity and tightly reflects reproductive state, Zebrafish Fshb antibody reagents support research in endocrine biology, fertility regulation, and developmental physiology.

The pituitary gland begins expressing fshb during early zebrafish development, coinciding with the differentiation of gonadotrope cells that respond to hypothalamic gonadotropin-releasing hormone (GnRH). As zebrafish mature, Fshb becomes increasingly important for establishing reproductive competence. In females, Fshb-driven signaling promotes follicular growth, granulosa cell proliferation, and steroid hormone synthesis. In males, Fshb stimulates Sertoli cells and supports early stages of spermatogenesis. These processes require finely tuned transcriptional and endocrine feedback loops involving estrogen, androgens, inhibins, and activins.

FSH signaling in zebrafish influences multiple downstream pathways including cAMP-PKA signaling, gene regulatory networks governing gametocyte maturation, and factors controlling gonadal tissue expansion. Because these pathways are highly conserved across vertebrates, zebrafish provide an effective model for studying hormonal control of fertility, reproductive timing, and environmental impacts on endocrine function. Expression of fshb is sensitive to photoperiod, nutritional status, stress, and metabolic signals, making Fshb a valuable marker for physiological state and pituitary responsiveness.

In addition to its roles in gametogenesis, Follicle stimulating hormone beta contributes to early endocrine patterning. Its expression helps define pituitary cell-type identity and interacts with developmental transcription factors that shape adenohypophyseal structure. Disruptions in fshb can alter maturation rates, reduce fertility, or impair gonadal organization. Zebrafish models with modified FSH signaling have demonstrated defects in follicle progression, germ cell maintenance, and reproductive endocrine feedback, revealing parallels with mammalian reproductive disorders.

At the molecular level, Fshb is a secreted glycoprotein characterized by conserved cysteine residues forming stabilizing disulfide bonds necessary for correct folding and assembly with the alpha subunit. After synthesis, Fshb is packaged into pituitary secretory granules and released in response to GnRH stimulation. The secretion pattern is pulsatile and tightly regulated, reflecting the organism’s reproductive state and environmental inputs. Subcellular localization of Fshb is restricted to gonadotrope cells, making the protein a precise marker for pituitary reproductive function.

Because zebrafish exhibit strong regenerative and environmental responsiveness, Fshb also plays roles in adjusting reproductive readiness to ecological conditions. Studies have linked changes in fshb expression to endocrine disruption, pollution exposure, and altered developmental timing, highlighting the hormone’s sensitivity to external cues.

A Zebrafish Fshb antibody is suitable for research applications such as western blotting, immunohistochemistry, and assays examining pituitary development, reproductive signaling, gametogenesis, and endocrine regulation. This antibody targets Follicle stimulating hormone beta for studies involving hypothalamic-pituitary-gonadal axis formation and vertebrate fertility. NSJ Bioreagents provides the Zebrafish Fshb antibody to support research in reproductive and developmental endocrinology.

This Zebrafish antibody is part of a broader Zebrafish / Danio rerio antibody panel offered by NSJ Bioreagents.

For additional reproductive hormone and pituitary signaling research antibodies targeting gonadotroph markers and endocrine-associated cellular pathways, explore the broader FSHB Antibody page featuring monoclonal clone FLTPb-1.

Application Notes

Optimal dilution of the Zebrafish Fshb antibody should be determined by the researcher.

Immunogen

E. coli-derived zebrafish Fshb recombinant protein (amino acids E19-H130) was used as the immunogen for the Zebrafish Fshb antibody.

Storage

After reconstitution, the Zebrafish Fshb antibody can be stored for up to one month at 4oC. For long-term, aliquot and store at -20oC. Avoid repeated freezing and thawing.

Cross
Bulk Quote Request Form
Name*:
Organization*:
Email*:
Phone Number*:
Catalog No.*:
Comments and Specifics(amount, formulation, etc.)*:
Validation code: Captchapackage Image


Can't read the image? click here to refresh.
    *required field

Your bulk quote request has been submitted successfully!

Please contact us if you have any questions.