• Tel: 858.663.9055
  • SeparatorEmail: info@nsjbio.com
  • Tel: 858.663.9055
  • Email: info@nsjbio.com
Home >> Antibodies >> Zebrafish Flt1 Antibody / Vegfr1 / Vegf receptor 1

Zebrafish Flt1 Antibody / Vegfr1 / Vegf receptor 1 (RZ1183)

  Catalog No Formulation Size Price (USD)  
Image RZ1183 0.5mg/ml if reconstituted with 0.2ml sterile DI water 100 ug 539
Bulk quote request
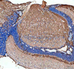
Zebrafish Flt1 / Vegfr1 Antibody Kidney Tissue IHC. Immunohistochemistry staining of zebrafish Flt1 protein using Zebrafish Flt1 antibody, HRP-labeled secondary and DAB substrate. Flt1 was detected in a paraffin-embedded section of zebrafish kidney tissue. HIER: boil tissue sections in pH8 EDTA for 20 min and allow to cool before testing.
Zebrafish Flt1 / Vegfr1 Antibody Whole Tissue WB. Western blot analysis of Flt1 protein using Zebrafish Flt1 antibody and whole male zebrafish tissue lysates. Predicted molecular weight ~142 kDa.
Zebrafish Flt1 / Vegfr1 Antibody Testis Tissue IHC. Immunohistochemistry staining of zebrafish Flt1 protein using Zebrafish Flt1 antibody, HRP-labeled secondary and DAB substrate. Flt1 was detected in a paraffin-embedded section of zebrafish testis tissue. HIER: boil tissue sections in pH8 EDTA for 20 min and allow to cool before testing.
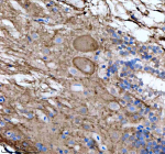
Zebrafish Flt1 / Vegfr1 Antibody Brain Tissue IHC. Immunohistochemistry staining of zebrafish Flt1 protein using Zebrafish Flt1 antibody, HRP-labeled secondary and DAB substrate. Flt1 was detected in a paraffin-embedded section of zebrafish brain tissue. HIER: boil tissue sections in pH8 EDTA for 20 min and allow to cool before testing.
Zebrafish Flt1 / Vegfr1 Antibody Spinal Cord Tissue IHC. Immunohistochemistry staining of zebrafish Flt1 protein using Zebrafish Flt1 antibody, HRP-labeled secondary and DAB substrate. Flt1 was detected in a paraffin-embedded section of zebrafish spinal cord tissue. HIER: boil tissue sections in pH8 EDTA for 20 min and allow to cool before testing.
Zebrafish Flt1 / Vegfr1 Antibody Colon Tissue IHC. Immunohistochemistry staining of zebrafish Flt1 protein using Zebrafish Flt1 antibody, HRP-labeled secondary and DAB substrate. Flt1 was detected in a paraffin-embedded section of zebrafish colon tissue. HIER: boil tissue sections in pH8 EDTA for 20 min and allow to cool before testing.
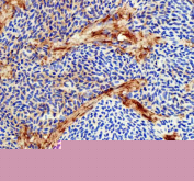
Zebrafish Flt1 / Vegfr1 Antibody Heart Tissue IHC. Immunohistochemistry staining of zebrafish Flt1 protein using Zebrafish Flt1 antibody, HRP-labeled secondary and DAB substrate. Flt1 was detected in a paraffin-embedded section of zebrafish heart tissue. HIER: boil tissue sections in pH8 EDTA for 20 min and allow to cool before testing.
Availability 2-3 weeks
Species Reactivity Zebrafish
Format Antigen affinity purified
Host Rabbit
Clonality Polyclonal (rabbit origin)
Isotype Rabbit Ig
Purity Antigen affinity chromatography
Buffer Lyophilized from 1X PBS with 2% Trehalose
UniProt B3DKP1
Applications Western Blot : 0.5-1ug/ml
Immunohistochemistry (FFPE) : 2-5ug/ml
Limitations This Zebrafish Flt1 antibody is available for research use only.
Review this product on BioCompare and get a $20 Amazon gift card

Related Products

Description

Zebrafish (Danio rerio) Flt1 antibody detects Flt1, a high-affinity receptor for vascular endothelial growth factor that plays a foundational role in angiogenesis, vascular patterning, and endothelial cell behavior. Encoded in zebrafish by the flt1 gene, Vegfr1 (also known as Vegf receptor 1) participates in both signaling and decoy regulatory mechanisms that fine-tune VEGF availability during blood vessel development. Because angiogenesis is essential to embryonic growth and organ formation, Zebrafish Flt1 antibody reagents support research in vascular biology, endothelial signaling, and developmental morphogenesis.

Flt1 binds Vegf ligands with high affinity and exists in both membrane-bound and soluble forms. The membrane-bound receptor can transduce intracellular signals that affect endothelial differentiation, migration, and vascular stability. However, Flt1 also functions as a negative regulator of Vegf signaling by sequestering Vegf and limiting activation of the more potent Vegfr2 pathway. In zebrafish embryos, flt1 expression appears in early endothelial progenitors, nascent blood vessels, and tissues undergoing angiogenic remodeling. This pattern reflects the receptor’s dual signaling and modulatory functions during vascular network assembly.

During zebrafish vasculogenesis, Vegf gradients guide endothelial cells as they establish the dorsal aorta, cardinal vein, and intersegmental vessels. Flt1 shapes these gradients by controlling Vegf availability, ensuring that sprouting and branching occur with proper timing and orientation. Loss or alteration of Flt1 function in vertebrates often leads to excessive or mispatterned angiogenesis, demonstrating its essential role in preventing uncontrolled vascular expansion. Zebrafish models have shown similar phenotypes, making Flt1 an important regulator of vascular architecture.

In later developmental stages, Vegf receptor 1 participates in endothelial maturation, vessel stabilization, and organ-specific angiogenic programs. Organs such as the brain, retina, and kidney rely heavily on precise vascular patterning, and Flt1 contributes to the refinement of vessel density and branching. Flt1 also interacts with Notch, FGF, and angiopoietin pathways, integrating multiple signals that together regulate endothelial identity and functional specialization.

At the molecular level, Flt1 contains extracellular immunoglobulin-like domains for ligand binding, a single transmembrane helix, and an intracellular tyrosine kinase domain. Ligand engagement can activate signaling cascades including PI3K-Akt, MAPK, and Src-family kinases, though the signaling potency of Flt1 is lower than that of Vegfr2. The soluble form of Flt1, generated through alternative splicing, acts as a circulating Vegf buffer and plays significant roles in vascular homeostasis and pathological angiogenesis.

Beyond its involvement in vessel formation, Flt1 influences hematopoietic stem cell specification, tissue oxygenation responses, and vascular remodeling during regeneration. Zebrafish possess a strong capacity for regeneration, and Flt1 activity contributes to angiogenic responses that support tissue repair and regrowth.

A Zebrafish Flt1 antibody is suitable for research applications such as western blotting, immunohistochemistry, and assays examining angiogenesis, Vegf signaling, endothelial differentiation, and vascular patterning. This antibody targets Vegfr1 and Vegf receptor 1 to support studies in vascular development and endothelial regulation. NSJ Bioreagents provides the Zebrafish Flt1 antibody to support research in angiogenic signaling and developmental biology.

This Zebrafish antibody is part of a broader Zebrafish / Danio rerio antibody panel offered by NSJ Bioreagents.

Application Notes

Optimal dilution of the Zebrafish Flt1 antibody should be determined by the researcher.

Immunogen

E. coli-derived zebrafish Flt1 recombinant protein (amino acids L32-K1229) was used as the immunogen for the Zebrafish Flt1 antibody.

Storage

After reconstitution, the Zebrafish Flt1 antibody can be stored for up to one month at 4oC. For long-term, aliquot and store at -20oC. Avoid repeated freezing and thawing.

Cross
Bulk Quote Request Form
Name*:
Organization*:
Email*:
Phone Number*:
Catalog No.*:
Comments and Specifics(amount, formulation, etc.)*:
Validation code: Captchapackage Image


Can't read the image? click here to refresh.
    *required field

Your bulk quote request has been submitted successfully!

Please contact us if you have any questions.