• Tel: 858.663.9055
  • SeparatorEmail: info@nsjbio.com
  • Tel: 858.663.9055
  • Email: info@nsjbio.com
Home >> Antibodies >> Zebrafish Fasn Antibody / Fatty acid synthase / Fas

Zebrafish Fasn Antibody / Fatty acid synthase / Fas (RZ1223)

  Catalog No Formulation Size Price (USD)  
Image RZ1223 0.5mg/ml if reconstituted with 0.2ml sterile DI water 100 ug 539
Bulk quote request
Zebrafish Fasn Antibody Liver IHC. Immunohistochemistry staining of FFPE zebrafish liver tissue with Fasn antibody, HRP-labeled secondary and DAB substrate. HIER: boil tissue sections in pH8 EDTA for 20 min and allow to cool before testing.
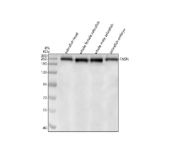
Zebrafish Fasn Antibody WB. Western blot analysis of Fasn protein using Zebrafish Fasn antibody and 1) zebrafish head, 2) whole female zebrafish, 3) whole male zebrafish and 4) zebrafish embryo tissue lysate. Predicted molecular weight ~274 kDa.
Zebrafish Fasn Antibody Muscle IHC. Immunohistochemistry staining of FFPE zebrafish muscle tissue with Fasn antibody, HRP-labeled secondary and DAB substrate. HIER: boil tissue sections in pH8 EDTA for 20 min and allow to cool before testing.
Zebrafish Fasn Antibody Colon IHC. Immunohistochemistry staining of FFPE zebrafish colon tissue with Fasn antibody, HRP-labeled secondary and DAB substrate. HIER: boil tissue sections in pH8 EDTA for 20 min and allow to cool before testing.
Availability 2-3 weeks
Species Reactivity Zebrafish
Format Antigen affinity purified
Host Rabbit
Clonality Polyclonal (rabbit origin)
Isotype Rabbit Ig
Purity Antigen affinity chromatography
Buffer Lyophilized from 1X PBS with 2% Trehalose
UniProt E7F5V3
Localization Cytoplasm
Applications Western Blot : 0.5-1ug/ml
Immunohistochemistry (FFPE) : 2-5ug/ml
Limitations This Zebrafish Fasn antibody is available for research use only.
Review this product on BioCompare and get a $20 Amazon gift card

Description

The Zebrafish Fasn antibody targets Fasn, a multifunctional cytosolic enzyme required for de novo fatty acid synthesis, lipid homeostasis, and metabolic regulation in Danio rerio. Zebrafish, also known as Danio rerio, express fasn as a core metabolic gene responsible for synthesizing palmitate from acetyl-CoA and malonyl-CoA through a series of enzymatic steps carried out by a large, multi-domain synthase complex. Fasn localizes primarily to the cytoplasm and plays a central role in supporting membrane biogenesis, energy storage, and lipid signaling pathways during embryonic growth and organ development.

Fasn belongs to the fatty acid synthase family of large enzymatic proteins composed of multiple catalytic domains arranged within a single polypeptide chain. These include acyl-carrier, ketoacyl synthase, enoyl reductase, and thioesterase modules that work sequentially to elongate fatty acids. In zebrafish embryos, fasn expression is enriched in metabolically active tissues such as the liver, brain, developing gut, and yolk syncytial layer, where rapidly proliferating cells require lipid production to support growth. A Zebrafish Fasn antibody is suitable for research applications examining cytoplasmic metabolic domains, lipid biosynthesis pathways, and tissue-specific metabolic programming.

Fasn is an essential regulator of energy metabolism and cellular growth. Its activity provides the lipid precursors required for membrane formation during organogenesis, supports lipid droplet formation, and contributes to signaling pathways that govern proliferation and differentiation. In zebrafish, Fasn plays important roles in hepatic development, adipogenesis, and early brain formation, reflecting the metabolic demands of rapidly dividing embryonic tissues. Fasn activity also intersects with nutrient-sensing pathways, including insulin, mTOR, and AMPK signaling, which integrate metabolic status with developmental programs.

Structurally, zebrafish Fasn exhibits the conserved multidomain architecture typical of fatty acid synthases, including regions responsible for substrate loading, chain elongation, and product release. This arrangement enables efficient substrate channeling and high catalytic throughput. Zebrafish fasn maps to chromosome 7, with regulatory elements driving its expression during key metabolic transitions such as yolk consumption and liver maturation. Co-localization studies frequently detect Fasn in hepatocytes, intestinal epithelium, and neural tissues, often overlapping with markers of lipid metabolism such as Acaca, Scd, or lipid storage proteins.

A Zebrafish Fasn antibody is suitable for detecting Fasn in studies focused on lipid metabolism, organ development, metabolic disease modeling, and nutrient-regulated gene expression in Danio rerio. Its cytoplasmic localization provides insight into metabolic compartmentalization during embryogenesis and larval growth. Researchers use Fasn expression patterns to evaluate metabolic states, characterize lipid-related phenotypes, and investigate the influence of diet, toxins, or genetic perturbations on lipid biosynthesis. These properties support research into vertebrate metabolism, developmental energetics, metabolic adaptation, and the coordination of lipid synthesis with growth and differentiation, and this reagent is supplied for research use by NSJ Bioreagents.

This Zebrafish Insulin like growth factor 1 / Igf1 antibody page is part of a broader Zebrafish/Danio rerio antibody panel offered by NSJ Bioreagents.

Application Notes

Optimal dilution of the Zebrafish Fasn antibody should be determined by the researcher.

Immunogen

E. coli-derived zebrafish Fasn recombinant protein (amino acids Q508-G2511) was used as the immunogen for the Zebrafish Fasn antibody.

Storage

After reconstitution, the Zebrafish Fasn antibody can be stored for up to one month at 4oC. For long-term, aliquot and store at -20oC. Avoid repeated freezing and thawing.

Cross
Bulk Quote Request Form
Name*:
Organization*:
Email*:
Phone Number*:
Catalog No.*:
Comments and Specifics(amount, formulation, etc.)*:
Validation code: Captchapackage Image


Can't read the image? click here to refresh.
    *required field

Your bulk quote request has been submitted successfully!

Please contact us if you have any questions.