• Tel: 858.663.9055
  • SeparatorEmail: info@nsjbio.com
  • Tel: 858.663.9055
  • Email: info@nsjbio.com
Home >> Antibodies >> Zebrafish Etf1 Antibody / Etf1a / Etf1b / Eukaryotic peptide chain release factor subunit 1

Zebrafish Etf1 Antibody / Etf1a / Etf1b / Eukaryotic peptide chain release factor subunit 1 (RZ1166)

  Catalog No Formulation Size Price (USD)  
Image RZ1166 0.5mg/ml if reconstituted with 0.2ml sterile DI water 100 ug 539
Bulk quote request
Immunohistochemical analysis of Etf1a/b protein using Zebrafish Etf1 antibody and paraffin-embedded zebrafish brain tissue. HIER: boil tissue sections in pH8 EDTA for 20 min and allow to cool before testing.
Western blot analysis of Etf1a/b protein using Zebrafish Etf1 antibody and zebrafish embryo tissue lysate. The predicted molecular weight of ETF1a/b is 49 kDa.
Immunohistochemical analysis of Etf1a/b protein using Zebrafish Etf1 antibody and paraffin-embedded zebrafish kidney tissue. HIER: boil tissue sections in pH8 EDTA for 20 min and allow to cool before testing.
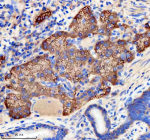
Immunohistochemical analysis of Etf1a/b protein using Zebrafish Etf1 antibody and paraffin-embedded zebrafish pancreas tissue. HIER: boil tissue sections in pH8 EDTA for 20 min and allow to cool before testing.
Availability 2-3 weeks
Species Reactivity Zebrafish
Format Antigen affinity purified
Host Rabbit
Clonality Polyclonal (rabbit origin)
Isotype Rabbit Ig
Purity Antigen affinity chromatography
Buffer Lyophilized from 1X PBS with 2% Trehalose
UniProt A8KB65
Localization Cytoplasm
Applications Western Blot : 0.5-1 ug/ml
Immunohistochemistry (FFPE) : 2-5 ug/ml
Limitations This Zebrafish Etf1 antibody is available for research use only.
Review this product on BioCompare and get a $20 Amazon gift card

Description

Zebrafish (Danio rerio) Etf1 antibody detects Etf1, a highly conserved translation termination factor responsible for recognizing stop codons and releasing nascent polypeptides from the ribosome. In zebrafish, two paralogs, etf1a and etf1b, encode functional forms of Eukaryotic peptide chain release factor subunit 1, both of which participate in ensuring accurate termination of protein synthesis. Because translational fidelity is essential for proteome integrity, cell viability, and proper tissue development, Zebrafish Etf1 antibody reagents support research in ribosome function, gene expression regulation, and developmental biology.

During translation termination, Etf1 binds to the ribosomal A-site when UAA, UAG, or UGA stop codons are encountered. This interaction triggers hydrolysis of the peptidyl-tRNA bond, releasing the completed polypeptide and allowing ribosomal recycling factors to reset the translational machinery. In zebrafish embryos, Etf1a and Etf1b are broadly expressed across proliferating and differentiating tissues, reflecting the universal requirement for efficient translation termination throughout development. High expression in neural tissues, musculature, digestive organs, and rapidly growing embryonic structures underscores the importance of translational control in supporting morphogenesis.

Accurate termination is fundamental for maintaining proteome stability. Errors in this process can lead to protein truncation, readthrough of stop codons, ribosomal stalling, or production of aberrant polypeptides that burden protein quality control systems. In vertebrates, perturbations of release factor activity have been linked to developmental anomalies and neurodegeneration. Zebrafish models allow direct examination of Etf1 function in vivo and highlight how translation termination influences organ formation, metabolic state, and stress resilience.

Etf1 also participates in mRNA surveillance pathways. Its activity coordinates with nonsense-mediated decay (NMD), a quality-control process that eliminates transcripts containing premature termination codons. By recognizing stop codons during translation, Etf1 helps direct aberrant transcripts toward NMD, ensuring that faulty mRNAs do not accumulate or generate harmful truncated proteins. In zebrafish, NMD contributes to developmental timing, stem cell maintenance, and transcriptome shaping, positioning Etf1 as a key regulator at the intersection of translation and RNA quality control.

At the molecular level, Eukaryotic peptide chain release factor subunit 1 contains conserved domains that recognize stop codons and catalyze peptidyl-tRNA hydrolysis. Structural studies in vertebrates demonstrate that Etf1 undergoes conformational changes within the ribosomal active site to facilitate precise cleavage. Zebrafish Etf1a and Etf1b maintain these conserved structural features, enabling high-fidelity termination across diverse tissues and developmental stages.

Subcellular localization of Etf1 is primarily cytosolic, where it associates with translating ribosomes. Its abundance typically correlates with translational demand, which fluctuates across developmental contexts. Regions of active proliferation or differentiation often exhibit elevated translation termination activity to support rapid proteome production and remodeling.

A Zebrafish Etf1 antibody is suitable for research applications such as western blotting, immunohistochemistry, and assays examining translation termination, mRNA surveillance, ribosome activity, and proteome regulation. This antibody targets Etf1a and Etf1b for studies involving translational fidelity, RNA quality control, and vertebrate developmental physiology. NSJ Bioreagents provides the Zebrafish Etf1 antibody to support research in gene expression and ribosome biology.

Application Notes

Optimal dilution of the Zebrafish Etf1 antibody should be determined by the researcher.

Immunogen

An E.coli-derived zebrafish Etf1a/b recombinant protein (amino acids D9-K344) was used as the immunogen for the Zebrafish Etf1 antibody.

Storage

After reconstitution, the Zebrafish Etf1 antibody can be stored for up to one month at 4oC. For long-term, aliquot and store at -20oC. Avoid repeated freezing and thawing.

Cross
Bulk Quote Request Form
Name*:
Organization*:
Email*:
Phone Number*:
Catalog No.*:
Comments and Specifics(amount, formulation, etc.)*:
Validation code: Captchapackage Image


Can't read the image? click here to refresh.
    *required field

Your bulk quote request has been submitted successfully!

Please contact us if you have any questions.