• Tel: 858.663.9055
  • SeparatorEmail: info@nsjbio.com
  • Tel: 858.663.9055
  • Email: info@nsjbio.com
Home >> Antibodies >> Zebrafish Estrogen receptor 2b Antibody / Esr2b

Zebrafish Estrogen receptor 2b Antibody / Esr2b (RZ1221)

  Catalog No Formulation Size Price (USD)  
Image RZ1221 0.5mg/ml if reconstituted with 0.2ml sterile DI water 100 ug 539
Bulk quote request
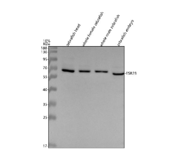
Zebrafish Estrogen receptor 2b Antibody Tissue WB. Western blot analysis of Esr2b protein using Zebrafish Estrogen receptor 2b antibody and 1) zebrafish head, 2) whole female zebrafish, 3) whole male zebrafish and 4) zebrafish embryo tissue lysate. Predicted molecular weight ~66 kDa.
Availability 2-3 weeks
Species Reactivity Zebrafish
Format Antigen affinity purified
Host Rabbit
Clonality Polyclonal (rabbit origin)
Isotype Rabbit Ig
Purity Antigen affinity chromatography
Buffer Lyophilized from 1X PBS with 2% Trehalose
UniProt B8JJL3
Applications Western Blot : 0.5-1ug/ml
Limitations This Zebrafish Estrogen receptor 2b antibody is available for research use only.
Review this product on BioCompare and get a $20 Amazon gift card

Related Products

Description

The Zebrafish Estrogen receptor 2b antibody targets Esr2b, a ligand-activated nuclear hormone receptor essential for estrogen signaling, reproductive development, neural differentiation, and endocrine regulation in Danio rerio. Zebrafish, also known as Danio rerio, possess three estrogen receptor paralogs: esr1, esr2a, and esr2b. Among these, Esr2b represents one of the two zebrafish ER beta-like receptors, functioning as a transcription factor that binds estrogen response elements and regulates gene networks involved in tissue growth, metabolism, and developmental patterning. Esr2b resides primarily in the cytoplasm in its unliganded form and translocates to the nucleus following estrogen binding, where it interacts with co-regulators to activate or repress target genes.

Esr2b belongs to the nuclear receptor superfamily, which includes receptors that control transcription in response to steroid hormones. Its domain structure includes an N-terminal activation region, a conserved DNA-binding domain with zinc finger motifs, a ligand-binding domain, and a C-terminal region important for receptor dimerization. In zebrafish embryos and larvae, esr2b is expressed in developing brain regions, liver, gonadal primordia, and endocrine-associated tissues. A Zebrafish Estrogen receptor 2b antibody is suitable for studies examining cytoplasmic or nuclear expression shifts, hormone-responsive cell populations, and tissue-specific estrogen signaling dynamics across developmental stages.

Esr2b regulates transcriptional programs involved in reproduction, neural development, and metabolic control. During early development, estrogen signaling supports differentiation of neuroendocrine tissues, influences hypothalamic organization, and contributes to sex-specific neural circuit maturation. In gonadal tissues, Esr2b participates in the control of germ cell development, steroid feedback regulation, and reproductive maturation. Esr2b also interacts with pathways such as Wnt, Fgf, and IGF signaling that integrate hormonal inputs with growth and tissue patterning. Disruption of esr2b expression alters hormone responses, reproductive development, stress sensitivity, and metabolic homeostasis in zebrafish models.

Structurally, Esr2b contains the hallmark DNA-binding and ligand-binding domains characteristic of estrogen receptors, enabling selective interaction with estrogenic compounds and recruitment of co-activators or co-repressors. Zebrafish esr2b maps to chromosome 3, with regulatory elements that respond to estrogen exposure and environmental endocrine disruptors. Co-localization studies frequently observe Esr2b in neural and hepatic territories that exhibit transcriptional sensitivity to estrogen levels. Additionally, Esr2b expression in developing gonads provides a marker for estrogen-responsive cell populations contributing to sex differentiation and reproductive axis formation.

A Zebrafish Estrogen receptor 2b antibody is suitable for detecting Esr2b in research examining estrogen signaling, neuroendocrine development, reproductive biology, and endocrine disruption in Danio rerio. Because Esr2b responds dynamically to hormone levels and environmental stimuli, its expression patterns provide insight into transcriptional responses to estrogens during embryonic, larval, and juvenile development. Researchers utilize Esr2b to assess hormone pathway activation, identify estrogen-responsive tissues, and evaluate the effects of environmental estrogens or endocrine-modulating compounds. These features make the antibody valuable for studies in vertebrate endocrinology, hormonal regulation, and developmental gene expression networks, and this reagent is supplied for research use by NSJ Bioreagents.

This Zebrafish antibody is part of a broader Zebrafish / Danio rerio antibody panel offered by NSJ Bioreagents. For comprehensive detection of Estrogen receptor beta across hormone signaling and tumor biology studies, see our Estrogen Receptor beta antibody (clone ERb455).

Application Notes

Optimal dilution of the Zebrafish Estrogen receptor 2b antibody should be determined by the researcher.

Immunogen

E. coli-derived zebrafish Estrogen receptor 2b recombinant protein (amino acids R27-N592) was used as the immunogen for the Zebrafish Estrogen receptor 2b antibody.

Storage

After reconstitution, the Zebrafish Estrogen receptor 2b antibody can be stored for up to one month at 4oC. For long-term, aliquot and store at -20oC. Avoid repeated freezing and thawing.

Cross
Bulk Quote Request Form
Name*:
Organization*:
Email*:
Phone Number*:
Catalog No.*:
Comments and Specifics(amount, formulation, etc.)*:
Validation code: Captchapackage Image


Can't read the image? click here to refresh.
    *required field

Your bulk quote request has been submitted successfully!

Please contact us if you have any questions.