• Tel: 858.663.9055
  • SeparatorEmail: info@nsjbio.com
  • Tel: 858.663.9055
  • Email: info@nsjbio.com
Home >> Antibodies >> Zebrafish Dnaja2 Antibody / Dnaja2a / Dnaja2b

Zebrafish Dnaja2 Antibody / Dnaja2a / Dnaja2b (RZ1146)

  Catalog No Formulation Size Price (USD)  
Image RZ1146 0.5mg/ml if reconstituted with 0.2ml sterile DI water 100 ug 539
Bulk quote request
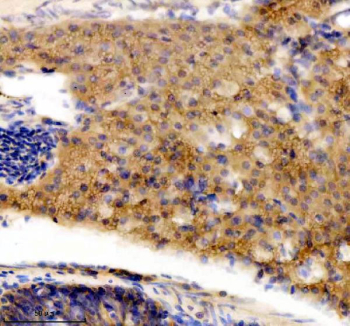
Zebrafish Dnaja2 Antibody Pancreas Tissue IHC. Immunohistochemical analysis of DNAJA2a/b protein using DNAJA2 antibody and paraffin-embedded zebrafish pancreas tissue. HIER: boil tissue sections in pH8 EDTA for 20 min and allow to cool before testing.
Zebrafish Dnaja2 Antibody Tissue WB. Western blot analysis of DNAJA2a/b protein using Zebrafish Dnaja2 antibody and zebrafish embryo tissue lysate. The predicted molecular weight of DNAJA2a/b is 46 kDa.
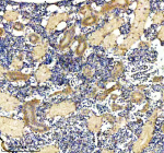
Zebrafish Dnaja2 Antibody Kidney Tissue IHC. Immunohistochemical analysis of DNAJA2a/b protein using Zebrafish Dnaja2 antibody and paraffin-embedded zebrafish kidney tissue. HIER: boil tissue sections in pH8 EDTA for 20 min and allow to cool before testing.
Zebrafish Dnaja2 Antibody Brain Tissue IHC. Immunohistochemical analysis of DNAJA2a/b protein using Zebrafish Dnaja2 antibody and paraffin-embedded zebrafish brain tissue. HIER: boil tissue sections in pH8 EDTA for 20 min and allow to cool before testing.
Zebrafish Dnaja2 Antibody Colon Tissue IHC. Immunohistochemical analysis of DNAJA2a/b protein using Zebrafish Dnaja2 antibody and paraffin-embedded zebrafish colon tissue. HIER: boil tissue sections in pH8 EDTA for 20 min and allow to cool before testing.
Availability 2-3 weeks
Species Reactivity Zebrafish
Format Antigen affinity purified
Host Rabbit
Clonality Polyclonal (rabbit origin)
Isotype Rabbit Ig
Purity Antigen affinity chromatography
Buffer Lyophilized from 1X PBS with 2% Trehalose
UniProt Q7ZUP5
Applications Western Blot : 0.5-1 ug/ml
Immunohistochemistry (FFPE) : 2-5 ug/ml
Limitations This Zebrafish Dnaja2 antibody is available for research use only.
Review this product on BioCompare and get a $20 Amazon gift card

Related Products

Description

Zebrafish (Danio rerio) Dnaja2 antibody detects Dnaja2, a member of the Hsp40 (DnaJ) family of molecular chaperones that regulate protein folding, stability, and stress responses. In zebrafish, this activity is encoded by two paralogs, dnaja2a and dnaja2b, which share strong homology with mammalian DNAJA2. Dnaja2 proteins act as co-chaperones for Hsp70, stimulating its ATPase activity and guiding client proteins through folding cycles, refolding after stress, and preventing aggregation. Because protein homeostasis is essential during rapid tissue growth and environmental stress adaptation, Zebrafish Dnaja2 antibody reagents support research in developmental proteostasis, stress biology, and chaperone-mediated protein regulation.

Dnaja2 belongs to the class A Hsp40 family, characterized by a conserved J-domain, a glycine-phenylalanine-rich region, and a C-terminal domain involved in substrate binding. Through its J-domain, Dnaja2 interacts with Hsp70 to accelerate ATP hydrolysis, ensuring precise conformational transitions required for client processing. In zebrafish embryos, Dnaja2a and Dnaja2b are expressed in metabolically active and protein-synthesis-rich tissues including the brain, somites, heart, and developing organs. These expression domains reflect the requirement for robust chaperone systems to support rapid cell division, differentiation, and metabolic remodeling.

Chaperone-mediated folding pathways influence numerous developmental processes. Dnaja2 helps maintain proteostasis by stabilizing unfolded intermediates, targeting misfolded proteins for refolding, and preventing the accumulation of cytotoxic aggregates. Zebrafish, with their rapid embryonic cell cycles, are especially dependent on chaperone networks such as Hsp40-Hsp70 partnerships. Loss or reduction of dnaja2 function may compromise protein quality control, leading to impaired tissue formation, sensitivity to stressors, or disruptions in signaling pathways that depend on properly folded proteins.

Dnaja2 also contributes to cellular recovery from heat shock and oxidative stress. Exposure to environmental stressors increases the demand on chaperone systems, and Dnaja2 proteins help restore native protein structure following damage. This protective role is particularly important in zebrafish larvae, which encounter fluctuating aquatic conditions and rely on efficient chaperone responses to maintain cellular function. In vertebrates, DNAJA2 has been implicated in pathways regulating mitochondrial function, cytoskeletal organization, and the turnover of client proteins involved in neurodevelopment and metabolism.

At the molecular level, Dnaja2 binds directly to unfolded or partially folded substrates, delivering them to Hsp70 for ATP-dependent folding cycles. Its structural domains enable interactions with diverse client proteins, including enzymes, cytoskeletal elements, and signaling regulators. Subcellular localization is primarily cytoplasmic, but Dnaja2 can associate with specific organelles or stress-induced foci depending on client requirements and cellular conditions. This flexibility allows Dnaja2 to respond rapidly to developmental and environmental changes.

Because proteostasis is tightly linked to developmental success, Dnaja2 plays a broad role in coordinating protein folding with cell growth. In zebrafish, dnaja2a and dnaja2b expression can serve as sensitive readouts of stress exposure, metabolic shifts, or chaperone demand. These features make Dnaja2 proteins valuable markers for studies exploring developmental robustness, protein quality control systems, and adaptive responses to environmental stress.

A Zebrafish Dnaja2 antibody is suitable for research applications such as western blotting, immunohistochemistry, and assays examining protein folding, chaperone activity, and stress responses. This antibody targets Dnaja2 for studies involving proteostasis, embryonic development, and Hsp40-Hsp70 regulatory networks. NSJ Bioreagents provides the Zebrafish Dnaja2 antibody to support research in molecular chaperone biology and developmental physiology.

This Zebrafish antibody is part of a broader Zebrafish / Danio rerio antibody panel offered by NSJ Bioreagents.

Application Notes

Optimal dilution of the Zebrafish DNAJA2 antibody should be determined by the researcher.

Immunogen

An E.coli-derived zebrafish DNAJA2a/b recombinant protein (amino acids M1-Q230) was used as the immunogen for the Zebrafish Dnaja2 antibody. This antibody will detect the a and b isoforms.

Storage

After reconstitution, the Zebrafish Dnaja2 antibody can be stored for up to one month at 4oC. For long-term, aliquot and store at -20oC. Avoid repeated freezing and thawing.

Cross
Bulk Quote Request Form
Name*:
Organization*:
Email*:
Phone Number*:
Catalog No.*:
Comments and Specifics(amount, formulation, etc.)*:
Validation code: Captchapackage Image


Can't read the image? click here to refresh.
    *required field

Your bulk quote request has been submitted successfully!

Please contact us if you have any questions.