• Tel: 858.663.9055
  • SeparatorEmail: info@nsjbio.com
  • Tel: 858.663.9055
  • Email: info@nsjbio.com
Home >> Antibodies >> Zebrafish Dlx2a Antibody / Dlx2

Zebrafish Dlx2a Antibody / Dlx2 (RZ1218)

  Catalog No Formulation Size Price (USD)  
Image RZ1218 0.5mg/ml if reconstituted with 0.2ml sterile DI water 100 ug 539
Bulk quote request
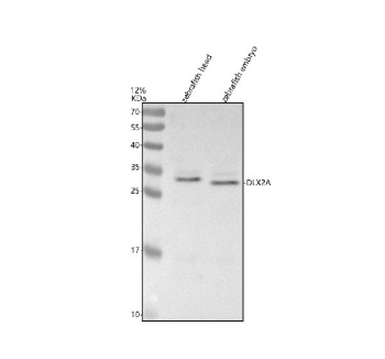
Zebrafish Dlx2a / Dlx2 Antibody Tissue WB. Western blot analysis of Dlx2a protein using Zebrafish Dlx2a antibody and 1) zebrafish head tissue lysates and 2) zebrafish embryo tissue lysates. Predicted molecular weight ~30 kDa.
Availability 2-3 weeks
Species Reactivity Zebrafish
Format Antigen affinity purified
Host Rabbit
Clonality Polyclonal (rabbit origin)
Isotype Rabbit Ig
Purity Antigen affinity chromatography
Buffer Lyophilized from 1X PBS with 2% Trehalose
UniProt P50574
Applications Western Blot : 0.5-1ug/ml
Limitations This Zebrafish Dlx2a antibody is available for research use only.
Review this product on BioCompare and get a $20 Amazon gift card

Related Products

Description

The Zebrafish Dlx2a antibody targets Dlx2a, a homeobox transcription factor essential for neural crest specification, craniofacial development, forebrain patterning, and early neurogenesis in Danio rerio. Zebrafish, also known as Danio rerio, express two paralogs, dlx2a and dlx2b, derived from the teleost genome duplication, with Dlx2a serving as one of the earliest markers of cranial neural crest cells and forebrain interneuron progenitors. Dlx2a encodes a nuclear protein containing a highly conserved homeodomain that binds DNA regulatory elements to control transcriptional programs guiding cell migration, differentiation, and morphogenetic patterning.

Dlx2a belongs to the Distal-less family of homeobox genes, a conserved group critical for patterning of craniofacial structures, branchial arches, and anterior brain regions. In zebrafish embryos, dlx2a expression initiates in the preplacodal region, migratory neural crest streams, and the developing telencephalon. These patterns reflect Dlx2a's role in regulating neural crest cell identity and the formation of cartilage and bone precursors within the pharyngeal skeleton. A Zebrafish Dlx2a antibody is suitable for research applications examining nuclear localization in craniofacial progenitors, neural crest migration pathways, and the formation of early forebrain neuronal lineages.

Dlx2a plays a central role in transcriptional networks that instruct cranial neural crest cells to differentiate into chondrocytes, osteoblasts, and pigment cell lineages. It interacts with other Dlx family members, including Dlx1a and Dlx5a, to coordinate gene programs that define ventral and dorsal pharyngeal arch domains. In the developing forebrain, Dlx2a contributes to the specification of GABAergic interneurons through interactions with signaling pathways such as Wnt, Shh, and Fgf. Disruptions in dlx2a expression alter craniofacial morphogenesis, branchial arch patterning, and neurogenic differentiation, underscoring its importance in integrating multiple developmental signals.

Structurally, zebrafish Dlx2a features the conserved 60 amino acid homeodomain responsible for DNA binding and transcriptional regulation. The protein localizes to the nucleus, where it interacts with chromatin regulators and co-factors that refine spatial gene expression patterns. Zebrafish dlx2a maps to chromosome 1, and its transcription is controlled by enhancer elements responsive to neural crest induction cues and forebrain regionalization signals. Co-localization studies often identify Dlx2a with markers of migrating neural crest cells such as Sox10, as well as with forebrain progenitor markers including Ascl1a and Gsx genes. These distribution patterns highlight its dual roles in both craniofacial and neural development.

A Zebrafish Dlx2a antibody is suitable for detecting Dlx2a in studies focused on neural crest biology, craniofacial patterning, forebrain development, and transcriptional regulation in Danio rerio. Its nuclear localization enables precise mapping of gene regulatory events that direct progenitor specification, tissue differentiation, and morphogenetic pattern formation. Researchers rely on Dlx2a expression to examine pharyngeal arch development, cartilage formation, neuronal lineage outcomes, and disruptions in signaling pathways affecting craniofacial or neural patterning. These features support investigations into vertebrate craniofacial biology, early neural development, and gene regulatory network integration, and this reagent is supplied for research use by NSJ Bioreagents.

This Zebrafish antibody is part of a broader Zebrafish / Danio rerio antibody panel offered by NSJ Bioreagents.

Application Notes

Optimal dilution of the Zebrafish Dlx2a antibody should be determined by the researcher.

Immunogen

E. coli-derived zebrafish Dlx2a recombinant protein (amino acids D11-N261) was used as the immunogen for the Zebrafish Dlx2a antibody.

Storage

After reconstitution, the Zebrafish Dlx2a antibody can be stored for up to one month at 4oC. For long-term, aliquot and store at -20oC. Avoid repeated freezing and thawing.

Cross
Bulk Quote Request Form
Name*:
Organization*:
Email*:
Phone Number*:
Catalog No.*:
Comments and Specifics(amount, formulation, etc.)*:
Validation code: Captchapackage Image


Can't read the image? click here to refresh.
    *required field

Your bulk quote request has been submitted successfully!

Please contact us if you have any questions.