• Tel: 858.663.9055
  • SeparatorEmail: info@nsjbio.com
  • Tel: 858.663.9055
  • Email: info@nsjbio.com
Home >> Antibodies >> Zebrafish Dazap1 Antibody / DAZ-associated protein 1

Zebrafish Dazap1 Antibody / DAZ-associated protein 1 (RZ1107)

  Catalog No Formulation Size Price (USD)  
Image RZ1107 0.5mg/ml if reconstituted with 0.2ml sterile DI water 100 ug 539
Bulk quote request
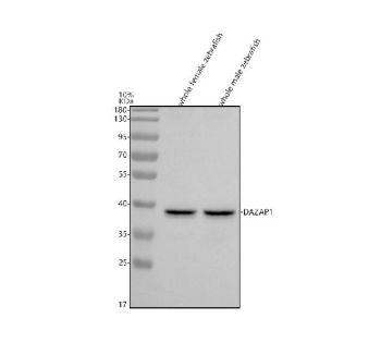
Zebrafish Dazap1 Antibody WB. Western blot analysis of Dazap1 protein using Zebrafish Dazap1 antibody and 1) whole female zebrafish tissue lysate and 2) whole male zebrafish tissue lysate. Predicted molecular weight ~41 kDa.
Availability 2-3 weeks
Species Reactivity Zebrafish
Format Antigen affinity purified
Host Rabbit
Clonality Polyclonal (rabbit origin)
Isotype Rabbit Ig
Purity Antigen affinity chromatography
Buffer Lyophilized from 1X PBS with 2% Trehalose
UniProt Q29R83
Applications Western Blot : 0.5-1 ug/ml
Limitations This Zebrafish Dazap1 antibody is available for research use only.
Review this product on BioCompare and get a $20 Amazon gift card

Related Products

Description

Zebrafish (Danio rerio) Dazap1 antibody detects DAZ-associated protein 1, an RNA binding regulatory molecule that contributes to germ cell development, mRNA stabilization, and cytoplasmic RNA granule dynamics. In zebrafish, the dazap1 gene encodes a conserved protein containing two RNA recognition motifs and a proline rich C terminal region that supports protein protein interactions. DAZ-associated protein 1 works in conjunction with members of the DAZ family to regulate mRNA translation, transport, and storage during gametogenesis and early embryogenesis. Because of its key roles in germ cell maturation and RNA metabolism, Zebrafish Dazap1 antibody reagents are widely used in studies of reproductive biology and post transcriptional control.

Dazap1 contributes to cytoplasmic RNA localization and translational regulation by interacting with target transcripts and associated RNA binding proteins. It is a component of ribonucleoprotein granules, including germ granules and processing bodies, where it modulates mRNA turnover and storage. In zebrafish embryos, dazap1 is expressed in primordial germ cells, developing gonads, and additional tissues where post transcriptional regulation is particularly active. Its expression pattern reflects a role in coordinating transcript availability during cell fate specification and early developmental transitions.

One of Dazap1's hallmark functions is its interaction with DAZ family proteins, which are essential for fertility and germ line differentiation. Through these interactions, Dazap1 influences translational activation of transcripts required for gamete formation and meiotic progression. Vertebrate studies demonstrate that disruption of Dazap1 can impair germ cell survival, alter oocyte or sperm maturation, and produce defects in reproductive capacity. In zebrafish, these conserved functions highlight the importance of DAZ-associated protein 1 in establishing and maintaining germ cell identity.

Beyond reproductive roles, Dazap1 also participates in general RNA regulatory processes that affect neural development, somatic tissue growth, and stress responses. Its RNA recognition motifs bind diverse transcripts, and its C terminal region interacts with signaling and cytoskeletal partners that position RNA granules appropriately within cells. These capacities link Dazap1 to pathways regulating cell polarity, cytoskeletal remodeling, and responsiveness to metabolic or environmental stress.

Subcellular localization of Dazap1 includes the cytoplasm, germ plasm, and RNA granules, depending on developmental stage and cell type. Interaction partners include DAZ family proteins, P-body components, translational activators, and RNA helicases involved in granule assembly. Conservation of functional domains across vertebrates supports parallels between zebrafish Dazap1 and mammalian DAZAP1, making zebrafish a strong model for dissecting RNA regulatory networks that underpin germ cell development and early embryogenesis.

A Zebrafish Dazap1 antibody is suitable for research applications such as western blotting, immunohistochemistry, and assays examining germ plasm organization, RNA granule dynamics, and post transcriptional regulation. This antibody targets Dazap1 for studies involving germ cell specification, fertility pathways, and early developmental RNA control. NSJ Bioreagents provides the Zebrafish Dazap1 antibody to support research in reproductive biology, RNA metabolism, and vertebrate germ line development.

This Zebrafish antibody is part of a broader Zebrafish / Danio rerio antibody panel offered by NSJ Bioreagents.

Application Notes

Optimal dilution of the Zebrafish Dazap1 antibody should be determined by the researcher.

Immunogen

An E.coli-derived zebrafish Dazap1 recombinant protein (amino acids M1-K186) was used as the immunogen for the Zebrafish Dazap1 antibody.

Storage

After reconstitution, the Zebrafish Dazap1 antibody can be stored for up to one month at 4oC. For long-term, aliquot and store at -20oC. Avoid repeated freezing and thawing.

Cross
Bulk Quote Request Form
Name*:
Organization*:
Email*:
Phone Number*:
Catalog No.*:
Comments and Specifics(amount, formulation, etc.)*:
Validation code: Captchapackage Image


Can't read the image? click here to refresh.
    *required field

Your bulk quote request has been submitted successfully!

Please contact us if you have any questions.