• Tel: 858.663.9055
  • SeparatorEmail: info@nsjbio.com
  • Tel: 858.663.9055
  • Email: info@nsjbio.com
Home >> Antibodies >> Zebrafish Cxcl8a Antibody / Il-8

Zebrafish Cxcl8a Antibody / Il-8 (RZ1212)

  Catalog No Formulation Size Price (USD)  
Image RZ1212 0.5mg/ml if reconstituted with 0.2ml sterile DI water 100 ug 539
Bulk quote request
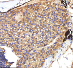
Zebrafish Cxcl8a / Il-8 Antibody Eye Tissue IHC. Immunohistochemistry staining of zebrafish Cxcl8a protein using Zebrafish Cxcl8a antibody, HRP-labeled secondary and DAB substrate. Cxcl8a was detected in a paraffin-embedded section of zebrafish eye tissue. HIER: boil tissue sections in pH8 EDTA for 20 min and allow to cool before testing.
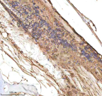
Zebrafish Cxcl8a / Il-8 Antibody Spinal Cord Tissue IHC. Immunohistochemistry staining of zebrafish Cxcl8a protein using Zebrafish Cxcl8a antibody, HRP-labeled secondary and DAB substrate. Cxcl8a was detected in a paraffin-embedded section of zebrafish spinal cord tissue. HIER: boil tissue sections in pH8 EDTA for 20 min and allow to cool before testing.
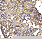
Zebrafish Cxcl8a / Il-8 Antibody Liver Tissue IHC. Immunohistochemistry staining of zebrafish Cxcl8a protein using Zebrafish Cxcl8a antibody, HRP-labeled secondary and DAB substrate. Cxcl8a was detected in a paraffin-embedded section of zebrafish liver tissue. HIER: boil tissue sections in pH8 EDTA for 20 min and allow to cool before testing.
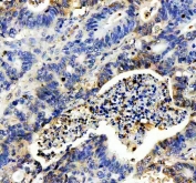
Zebrafish Cxcl8a / Il-8 Antibody Kidney Tissue IHC. Immunohistochemistry staining of zebrafish Cxcl8a protein using Zebrafish Cxcl8a antibody, HRP-labeled secondary and DAB substrate. Cxcl8a was detected in a paraffin-embedded section of zebrafish kidney tissue. HIER: boil tissue sections in pH8 EDTA for 20 min and allow to cool before testing.
Zebrafish Cxcl8a / Il-8 Antibody Muscle Tissue IHC. Immunohistochemistry staining of zebrafish Cxcl8a protein using Zebrafish Cxcl8a antibody, HRP-labeled secondary and DAB substrate. Cxcl8a was detected in a paraffin-embedded section of zebrafish muscle tissue. HIER: boil tissue sections in pH8 EDTA for 20 min and allow to cool before testing.
Availability 2-3 weeks
Species Reactivity Zebrafish
Format Antigen affinity purified
Host Rabbit
Clonality Polyclonal (rabbit origin)
Isotype Rabbit Ig
Purity Antigen affinity chromatography
Buffer Lyophilized from 1X PBS with 2% Trehalose
UniProt A0A0G2KYH9
Applications Immunohistochemistry (FFPE) : 2-5ug/ml
Limitations This Zebrafish Cxcl8a antibody is available for research use only.
Review this product on BioCompare and get a $20 Amazon gift card

Related Products

Description

The Zebrafish Cxcl8a antibody targets Cxcl8a, a pro-inflammatory chemokine that coordinates leukocyte recruitment, innate immune activation, and tissue injury responses in Danio rerio. Zebrafish, also known as Danio rerio, express cxcl8a as one of the functional homologs of mammalian interleukin 8 (Il-8), encoding a secreted CXC chemokine that regulates directed migration of neutrophils and other immune cells. Cxcl8a is secreted into extracellular spaces, where it establishes chemotactic gradients sensed primarily through Cxcr1 and Cxcr2 receptors. These gradients shape early inflammatory responses, injury-induced cell migration, and immune surveillance in developing and mature zebrafish tissues.

Cxcl8a plays a central role in orchestrating innate immunity. During wound responses, infection, or chemical exposure, zebrafish rapidly upregulate cxcl8a expression in epithelial layers, macrophages, endothelial cells, and stromal tissues. This creates spatially restricted guidance cues that direct neutrophil trafficking toward sites of damage. A Zebrafish Cxcl8a antibody is suitable for research applications examining extracellular chemokine distribution, inflammatory zone formation, and innate immune dynamics in embryos, larvae, or adult tissues.

Beyond inflammation, Cxcl8a contributes to developmental processes involving controlled cell migration. Zebrafish studies have shown that cxcl8a expression can influence angiogenesis, epithelial remodeling, and interactions between immune cells and developing tissues. During early organogenesis, localized chemokine expression can regulate the positioning and activity of myeloid lineages, supporting their roles in tissue clearing, matrix remodeling, and morphogenetic transitions. Because of its dynamic regulation, Cxcl8a is frequently used as a readout of inflammatory signaling pathways including NF-kappaB, MAPK, and MyD88-dependent cascades.

Structurally, Cxcl8a is a secreted CXC chemokine containing the conserved Cys-X-Cys motif and a chemokine fold stabilized by disulfide bonds. It is produced as a small soluble polypeptide with an N-terminal signal peptide for secretion and a core domain that mediates receptor binding. Zebrafish cxcl8a maps to chromosome 18, and its regulatory elements respond strongly to inflammatory stimuli, enabling rapid transcriptional activation following tissue injury or pathogen exposure. Co-localization studies often detect Cxcl8a surrounding wound margins, within extracellular matrices near activated endothelial cells, or adjacent to infiltrating neutrophils, reflecting its role as a spatial organizer of immune cell movement.

A Zebrafish Cxcl8a antibody is suitable for detecting Cxcl8a in research studies focused on inflammation, chemotaxis, host defense, and immune-tissue interactions in Danio rerio. Because zebrafish mount rapid and visually trackable inflammatory responses, Cxcl8a serves as a valuable marker for mapping chemokine-driven neutrophil migration and for dissecting genetic pathways regulating immune activation. Its expression is also informative in toxicology studies, regenerative biology, and models of chronic inflammation where chemokine signaling contributes to tissue remodeling or dysregulated immune behavior. These properties make the antibody a strong tool for analyzing innate immune biology and inflammatory signaling in zebrafish, and this reagent is supplied for research use by NSJ Bioreagents.

This Zebrafish antibody is part of a broader Zebrafish / Danio rerio antibody panel offered by NSJ Bioreagents.

Application Notes

Optimal dilution of the Zebrafish Cxcl8a antibody should be determined by the researcher.

Immunogen

E. coli-derived zebrafish Cxcl8a recombinant protein (amino acids M23-P98) was used as the immunogen for the Zebrafish Cxcl8a antibody.

Storage

After reconstitution, the Zebrafish Cxcl8a antibody can be stored for up to one month at 4oC. For long-term, aliquot and store at -20oC. Avoid repeated freezing and thawing.

Cross
Bulk Quote Request Form
Name*:
Organization*:
Email*:
Phone Number*:
Catalog No.*:
Comments and Specifics(amount, formulation, etc.)*:
Validation code: Captchapackage Image


Can't read the image? click here to refresh.
    *required field

Your bulk quote request has been submitted successfully!

Please contact us if you have any questions.