• Tel: 858.663.9055
  • SeparatorEmail: info@nsjbio.com
  • Tel: 858.663.9055
  • Email: info@nsjbio.com
Home >> Antibodies >> Zebrafish CrkL Antibody / Crk-like protein

Zebrafish CrkL Antibody / Crk-like protein (RZ1089)

  Catalog No Formulation Size Price (USD)  
Image RZ1089 0.5mg/ml if reconstituted with 0.2ml sterile DI water 100 ug 539
Bulk quote request
Zebrafish CrkL Antibody Embryo IF. Immunofluorescent staining of FFPE zebrafish embryo tissue with Zebrafish CrkL antibody (red) and DAPI nuclear stain (blue). HIER: steam section in pH8 EDTA buffer for 20 min.
Zebrafish CrkL Antibody Pancreas IHC. Immunohistochemistry staining of FFPE zebrafish pancreas tissue with Zebrafish CrkL antibody. HIER: boil tissue sections in pH8 EDTA for 20 min and allow to cool before testing.
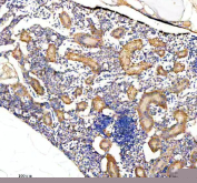
Zebrafish CrkL Antibody Kidney IHC. Immunohistochemistry staining of FFPE zebrafish kidney tissue with Zebrafish CrkL antibody. HIER: boil tissue sections in pH8 EDTA for 20 min and allow to cool before testing.
Zebrafish CrkL Antibody Colon IHC. Immunohistochemistry staining of FFPE zebrafish colon tissue with Zebrafish CrkL antibody. HIER: boil tissue sections in pH8 EDTA for 20 min and allow to cool before testing.
Zebrafish CrkL Antibody WB. Western blot analysis of CrkL protein using CrkL antibody and 1) zebrafish head, 2) whole female zebrafish and 3) whole male zebrafish tissue lysate. Expected molecular weight: 34~39 kDa.
Availability 2-3 weeks
Species Reactivity Zebrafish
Format Antigen affinity purified
Host Rabbit
Clonality Polyclonal (rabbit origin)
Isotype Rabbit Ig
Purity Antigen affinity chromatography
Buffer Lyophilized from 1X PBS with 2% Trehalose
UniProt Q6PH06
Localization Cytoplasmic, Nuclear
Applications Western Blot : 0.5-1 ug/ml
Immunohistochemistry (FFPE) : 2-5 ug/ml
Immunofluorescence : 5 ug/ml
Limitations This Zebrafish CrkL antibody is available for research use only.
Review this product on BioCompare and get a $20 Amazon gift card

Related Products

Description

Zebrafish (Danio rerio) CrkL antibody detects Crk-like protein, an adaptor molecule that functions as a central mediator of intracellular signaling pathways controlling cell migration, adhesion, proliferation, and differentiation. In zebrafish, the crkl gene encodes a conserved SH2 SH3 domain containing protein structurally similar to mammalian CRKL, which participates in receptor tyrosine kinase signaling, integrin mediated adhesion, and cytoskeletal remodeling. The protein acts primarily by linking activated receptors to downstream effector proteins, enabling rapid assembly of signaling complexes that shape early tissue morphogenesis. These properties make Crk-like protein antibody reagents valuable tools for developmental and cell signaling research.

Crk-like protein belongs to the Crk family of adaptor proteins, which function through protein protein interaction domains rather than direct catalytic activity. Its SH2 domain binds phosphorylated tyrosine residues on activated receptors or scaffold proteins, while its SH3 domains recruit proline rich effectors involved in actin regulation, MAPK activation, and integrin signaling. In zebrafish embryos, crkl expression is enriched in developing brain tissue, somites, and migratory cell populations, consistent with roles in guiding morphogenetic movements, neural patterning, and epithelial integrity.

Functionally, Crk-like protein contributes to pathways that regulate fibroblast growth factor signaling, Eph receptor pathways, and integrin linked adhesion. Its activity is essential for coordinated cytoskeletal organization, particularly during processes requiring dynamic rearrangement such as neurulation, vasculogenesis, and craniofacial development. Known co localization partners include Dock family guanine nucleotide exchange factors, p130Cas, actin regulatory components, and focal adhesion associated adaptors. These interactions position Crk-like protein as a key node integrating signals from both extracellular matrix contacts and growth factor receptors.

In vertebrate systems, CRKL has additional importance in hematopoietic development, neural crest migration, and cardiovascular formation. Zebrafish studies reflect similar functional themes, where loss of crkl disrupts anterior neural development, affects cranial cartilage patterning, and alters vascular organization. These phenotypes highlight the protein's regulatory role in coordinating adhesion, migration, and lineage specification. Subcellular localization studies show that Crk-like protein concentrates in the cytoplasm near adhesion sites and activated receptors, where it participates in rapid phosphorylation dependent signaling events.

Crk-like protein also contributes to stress and metabolic pathways through cross talk with JNK and MAPK signaling. Its adaptor based mechanism allows it to funnel diverse upstream cues into shared downstream responses that regulate proliferation, survival, and morphological transitions. In zebrafish, this makes crkl a useful readout of how signaling networks respond to developmental perturbations and environmental stressors.

The Zebrafish CrkL antibody is suitable for research applications such as western blotting, immunohistochemistry, and assays examining receptor mediated signaling and cytoskeletal organization. This reagent detects endogenous Crk-like protein without implying epitope mapping or literature validated specificity. NSJ Bioreagents provides the Zebrafish CrkL antibody to support studies in signal transduction, neural and vascular development, cell migration, and integrin linked adhesion.

This Zebrafish antibody is part of a broader Zebrafish / Danio rerio antibody panel offered by NSJ Bioreagents.

Application Notes

Optimal dilution of the Zebrafish CrkL antibody should be determined by the researcher.

Immunogen

An E.coli-derived zebrafish CrkL recombinant protein (amino acids M1-H292) was used as the immunogen for the Zebrafish CrkL antibody.

Storage

After reconstitution, the Zebrafish CrkL antibody can be stored for up to one month at 4oC. For long-term, aliquot and store at -20oC. Avoid repeated freezing and thawing.

Cross
Bulk Quote Request Form
Name*:
Organization*:
Email*:
Phone Number*:
Catalog No.*:
Comments and Specifics(amount, formulation, etc.)*:
Validation code: Captchapackage Image


Can't read the image? click here to refresh.
    *required field

Your bulk quote request has been submitted successfully!

Please contact us if you have any questions.