• Tel: 858.663.9055
  • SeparatorEmail: info@nsjbio.com
  • Tel: 858.663.9055
  • Email: info@nsjbio.com
Home >> Antibodies >> Zebrafish Ckm Antibody / Creatine kinase M / Isoforms a & b

Zebrafish Ckm Antibody / Creatine kinase M / Isoforms a & b (RZ1048)

  Catalog No Formulation Size Price (USD)  
Image RZ1048 0.5mg/ml if reconstituted with 0.2ml sterile DI water 100 ug 539
Bulk quote request
Zebrafish Ckm Antibody Spleen IHC. Immunohistochemistry staining of FFPE zebrafish spleen tissue with Zebrafish Ckm antibody. HIER: boil tissue sections in pH8 EDTA for 20 min and allow to cool before testing.
Zebrafish Ckm Antibody WB. Western blot analysis of Ckma/b protein using Zebrafish Ckm antibody and 1) zebrafish head, 2) whole female zebrafish, 3) whole male zebrafish and 4) zebrafish embryo tissue lysate. Predicted molecular weight ~43 kDa.
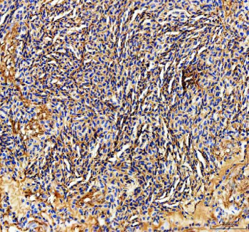
Zebrafish Ckm Antibody Kidney IHC. Immunohistochemistry staining of FFPE zebrafish kidney tissue with Zebrafish Ckm antibody. HIER: boil tissue sections in pH8 EDTA for 20 min and allow to cool before testing.
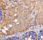
Zebrafish Ckm Antibody Pancreas IHC. Immunohistochemistry staining of FFPE zebrafish pancreas tissue with Zebrafish Ckm antibody. HIER: boil tissue sections in pH8 EDTA for 20 min and allow to cool before testing.
Availability 2-3 weeks
Species Reactivity Zebrafish
Format Antigen affinity purified
Host Rabbit
Clonality Polyclonal (rabbit origin)
Isotype Rabbit Ig
Purity Antigen affinity chromatography
Buffer Lyophilized from 1X PBS with 2% Trehalose
UniProt A2BHA3
Applications Western Blot : 0.5-1 ug/ml
Immunohistochemistry (FFPE) : 2-5 ug/ml
Limitations This Zebrafish Ckm antibody is available for research use only.
Review this product on BioCompare and get a $20 Amazon gift card

Related Products

Description

Zebrafish (Danio rerio) Ckm antibody recognizes Creatine kinase M, detecting isoforms a and b encoded by the zebrafish ckm gene. Creatine kinase M is a core cytosolic phosphotransfer enzyme that catalyzes the reversible transfer of a phosphate group between ATP and creatine, generating phosphocreatine as a high-energy buffer to support rapid ATP turnover. In Danio rerio, Ckm is expressed strongly in skeletal muscle, cardiac muscle, somites, and developing craniofacial musculature. Expression begins early in somitogenesis and increases as myogenic precursors differentiate into contractile muscle fibers. Subcellular localization is predominantly cytosolic, closely associated with myofibrils and regions of high ATP demand.

Creatine kinase M plays an essential role in establishing and maintaining the bioenergetic stability required for early vertebrate muscle development. As zebrafish embryos transition from reliance on yolk-derived metabolites to autonomous locomotor activity, Ckm supports ATP homeostasis during repeated muscle contraction. The phosphocreatine system provides a rapid ATP-regeneration mechanism that stabilizes energy supply during bursts of movement, sarcomere assembly, and contractile maturation. Isoforms a and b may provide tissue-specific regulation of this phosphocreatine shuttle, ensuring appropriate energy buffering across developing muscle groups.

During muscle fiber formation, Ckm integrates with mitochondrial metabolism and glycolysis to sustain efficient energy flux. Somitic muscle precursors require metabolic flexibility to support myoblast fusion, early myofibril organization, and cytoskeletal remodeling. Ckm activity helps maintain ATP availability during these energy-intensive processes. In craniofacial musculature, Creatine kinase M contributes to growth of jaw and branchial arch-derived muscles by stabilizing local ATP pools during rapid morphogenesis. In cardiac tissue, Ckm works alongside mitochondrial oxidative phosphorylation to support contractile initiation and early heart function, ensuring that cardiomyocytes maintain adequate ATP levels during increasing mechanical load.

Ckm also participates in metabolic signaling pathways that influence muscle growth, differentiation, and stress resilience. The phosphocreatine system regulates AMP/ATP ratios, indirectly affecting AMPK signaling and metabolic adaptation. Zebrafish embryos experiencing fluctuating metabolic demands rely on Ckm to buffer energy stress, preventing declines in ATP that could impair muscle development or trigger apoptosis. Because skeletal and cardiac muscles undergo extensive structural refinement during early development, Ckm-mediated phosphotransfer reactions help maintain energetic stability during these transitions.

Beyond its classical metabolic function, Creatine kinase M has been implicated in cytoskeletal organization and sarcomere alignment. Ckm associates with actin and myosin-rich regions to support spatial coupling between ATP production and contractile machinery. This spatial organization allows rapid regeneration of ATP exactly where mechanical activity is highest, improving efficiency of early muscle performance. Isoform-specific expression of ckma and ckmb in zebrafish may allow fine-tuning of phosphocreatine buffering capacity across distinct muscle types or developmental stages.

This Zebrafish Ckm antibody is suitable for detecting Creatine kinase M isoforms a and b in research focused on muscle development, cardiac maturation, metabolic regulation, mitochondrial interaction, and contractile energy buffering in zebrafish. It supports studies examining phosphocreatine metabolism, myofibril formation, and developmental phenotypes arising from altered energy homeostasis. NSJ Bioreagents provides this reagent within its zebrafish and metabolic-muscle biology antibody collection.

This Zebrafish antibody is part of a broader Zebrafish / Danio rerio antibody panel offered by NSJ Bioreagents.

Application Notes

Optimal dilution of the Zebrafish Ckm antibody should be determined by the researcher.

Immunogen

An E.coli-derived zebrafish Ckma/b recombinant protein (amino acids M1-K196) was used as the immunogen for the Zebrafish Ckm antibody. This antibody will detect the a and b isoforms.

Storage

After reconstitution, the Zebrafish Ckm antibody can be stored for up to one month at 4oC. For long-term, aliquot and store at -20oC. Avoid repeated freezing and thawing.

Cross
Bulk Quote Request Form
Name*:
Organization*:
Email*:
Phone Number*:
Catalog No.*:
Comments and Specifics(amount, formulation, etc.)*:
Validation code: Captchapackage Image


Can't read the image? click here to refresh.
    *required field

Your bulk quote request has been submitted successfully!

Please contact us if you have any questions.