• Tel: 858.663.9055
  • SeparatorEmail: info@nsjbio.com
  • Tel: 858.663.9055
  • Email: info@nsjbio.com
Home >> Antibodies >> Zebrafish Caspase 9 Antibody / Casp9

Zebrafish Caspase 9 Antibody / Casp9 (RZ1208)

  Catalog No Formulation Size Price (USD)  
Image RZ1208 0.5mg/ml if reconstituted with 0.2ml sterile DI water 100 ug 539
Bulk quote request
IHC staining of FFPE zebrafish eye tissue with Zebrafish Caspase 9 antibody, HRP-labeled secondary and DAB substrate. HIER: boil tissue sections in pH8 EDTA for 20 min and allow to cool before testing.
Western blot analysis of Caspase 9 protein using Zebrafish Caspase 9 antibody and 1) zebrafish head, 2) whole female zebrafish, 3) whole male zebrafish and 4) zebrafish embryo tissue lysate. Predicted molecular weight ~48 kDa.
IHC staining of FFPE zebrafish muscle tissue with Zebrafish Caspase 9 antibody, HRP-labeled secondary and DAB substrate. HIER: boil tissue sections in pH8 EDTA for 20 min and allow to cool before testing.
IHC staining of FFPE zebrafish liver tissue with Zebrafish Caspase 9 antibody, HRP-labeled secondary and DAB substrate. HIER: boil tissue sections in pH8 EDTA for 20 min and allow to cool before testing.
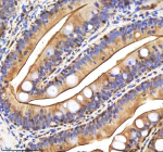
IHC staining of FFPE zebrafish colon tissue with Zebrafish Caspase 9 antibody, HRP-labeled secondary and DAB substrate. HIER: boil tissue sections in pH8 EDTA for 20 min and allow to cool before testing.
Availability 2-3 weeks
Species Reactivity Zebrafish
Format Antigen affinity purified
Host Rabbit
Clonality Polyclonal (rabbit origin)
Isotype Rabbit Ig
Purity Antigen affinity chromatography
Buffer Lyophilized from 1X PBS with 2% Trehalose
UniProt F1QSB1
Applications Western Blot : 0.5-1ug/ml
Immunohistochemistry (FFPE) : 2-5ug/ml
Limitations This Zebrafish Caspase 9 antibody is available for research use only.
Review this product on BioCompare and get a $20 Amazon gift card

Related Products

  • Applications : WB, IHC-P
    Reactivity : Human
  • Applications : WB
    Reactivity : Human
  • Applications : WB, IHC, FACS, ELISA
    Reactivity : Human
  • Applications : IHC, IF, WB, ELISA
    Reactivity : Human, Mouse
  • Applications : WB, FACS, Direct ELISA
    Reactivity : Mouse, Rat
  • Applications : WB, IHC-P, IF, FACS, Direct ELISA
    Reactivity : Human
  • Applications : WB, IHC-P, FACS, Direct ELISA
    Reactivity : Human
  • Applications : WB, IHC-P, IF, FACS, Direct ELISA
    Reactivity : Mouse, Rat
  • Applications : WB, FACS, Direct ELISA
    Reactivity : Human

Description

The Zebrafish Caspase 9 antibody targets Caspase 9, an initiator caspase that regulates intrinsic apoptosis, mitochondrial stress responses, and developmental cell death programs in Danio rerio. Zebrafish, also known as Danio rerio, express casp9 as a core component of the apoptosome, where it functions downstream of cytochrome c release to activate executioner caspases. Caspase 9 is synthesized as an inactive zymogen and activated through recruitment to Apaf1-containing apoptosomes. It localizes primarily to the cytoplasm and mitochondria-associated regions, reflecting its role in mitochondrial-mediated apoptosis during embryogenesis and tissue remodeling.

Casp9 belongs to the caspase family of cysteine proteases, specifically the group of initiator caspases responsible for detecting and responding to cellular stress and damage. In zebrafish embryos, casp9 expression contributes to shaping tissues where programmed cell death is required for morphogenesis, including the brain, somites, craniofacial structures, and developing fins. A Zebrafish Caspase 9 antibody is suitable for research applications examining cytoplasmic localization, apoptotic patterning, and mitochondrial stress responses across early developmental stages.

Caspase 9 serves as the principal initiator of intrinsic apoptosis. Following mitochondrial permeabilization, cytochrome c release triggers Apaf1 oligomerization, forming the apoptosome that activates Casp9. Downstream targets include effector caspases that mediate chromatin condensation, membrane blebbing, and controlled cellular dismantling. In zebrafish, Casp9-driven apoptosis is essential for sculpting neuroepithelial domains, clearing transient cell populations, and regulating organogenesis in tissues such as the heart, liver, and eye. Casp9 also participates in stress-induced apoptotic pathways during environmental challenges, chemical exposure, or developmental abnormalities.

Structurally, zebrafish Casp9 contains the conserved caspase recruitment domain (CARD) required for apoptosome engagement, followed by large and small catalytic subunits generated upon cleavage. These structural regions are characteristic of initiator caspases and enable proximity-induced activation within the apoptosome complex. Zebrafish casp9 maps to chromosome 17, with regulatory elements driving expression in neurogenic tissues and regions subject to programmed cell elimination. Co-localization studies often detect Casp9 alongside mitochondrial markers, activated effector caspases, or regulators of intrinsic apoptosis, highlighting its central role in apoptotic progression.

A Zebrafish Caspase 9 antibody is suitable for detecting Casp9 in developmental studies focused on apoptosis regulation, mitochondrial integrity, neural pruning, and organ formation in Danio rerio. Its cytoplasmic and mitochondrial-associated labeling patterns provide insight into where intrinsic apoptosis shapes tissue architecture and supports morphogenetic transitions across embryonic and larval stages. Casp9 expression can increase during stress exposure or genetic perturbations, making it a valuable marker for research examining cellular resilience, mitochondrial stress responses, and apoptotic signaling networks. These features support investigations into programmed cell death and developmental tissue remodeling, and this reagent is supplied for research use by NSJ Bioreagents.

Application Notes

Optimal dilution of the Zebrafish Caspase 9 antibody should be determined by the researcher.

Immunogen

E. coli-derived zebrafish Caspase 9 recombinant protein (amino acids K18-Q417) was used as the immunogen for the Zebrafish Caspase 9 antibody.

Storage

After reconstitution, the Zebrafish Caspase 9 antibody can be stored for up to one month at 4oC. For long-term, aliquot and store at -20oC. Avoid repeated freezing and thawing.

Cross
Bulk Quote Request Form
Name*:
Organization*:
Email*:
Phone Number*:
Catalog No.*:
Comments and Specifics(amount, formulation, etc.)*:
Validation code: Captchapackage Image


Can't read the image? click here to refresh.
    *required field

Your bulk quote request has been submitted successfully!

Please contact us if you have any questions.