• Tel: 858.663.9055
  • SeparatorEmail: info@nsjbio.com
  • Tel: 858.663.9055
  • Email: info@nsjbio.com
Home >> Antibodies >> Zebrafish Bmp2b Antibody / Bone morphogenetic protein 2

Zebrafish Bmp2b Antibody / Bone morphogenetic protein 2 (RZ1207)

  Catalog No Formulation Size Price (USD)  
Image RZ1207 0.5mg/ml if reconstituted with 0.2ml sterile DI water 100 ug 539
Bulk quote request
Zebrafish Bmp2b Antibody Muscle Tissue IHC. Immunohistochemistry staining of FFPE zebrafish muscle tissue with Zebrafish Bmp2b antibody, HRP-labeled secondary and DAB substrate. HIER: boil tissue sections in pH8 EDTA for 20 min and allow to cool before testing.
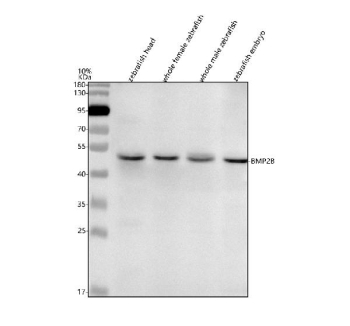
Zebrafish Bmp2b Antibody Tissue WB. Western blot analysis of Bmp2b protein using Zebrafish Bmp2b antibody and 1) zebrafish head, 2) whole female zebrafish, 3) whole male zebrafish and 4) zebrafish embryo tissue lysate. Predicted molecular weight ~47 kDa.
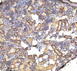
Zebrafish Bmp2b Antibody Kidney Tissue IHC. Immunohistochemistry staining of FFPE zebrafish kidney tissue with Zebrafish Bmp2b antibody, HRP-labeled secondary and DAB substrate. HIER: boil tissue sections in pH8 EDTA for 20 min and allow to cool before testing.
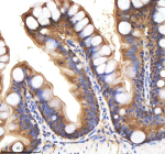
Zebrafish Bmp2b Antibody Colon Tissue IHC. Immunohistochemistry staining of FFPE zebrafish colon tissue with Zebrafish Bmp2b antibody, HRP-labeled secondary and DAB substrate. HIER: boil tissue sections in pH8 EDTA for 20 min and allow to cool before testing.
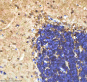
Zebrafish Bmp2b Antibody Cerebellum Tissue IHC. Immunohistochemistry staining of FFPE zebrafish cerebellum tissue with Zebrafish Bmp2b antibody, HRP-labeled secondary and DAB substrate. HIER: boil tissue sections in pH8 EDTA for 20 min and allow to cool before testing.
Availability 2-3 weeks
Species Reactivity Zebrafish
Format Antigen affinity purified
Host Rabbit
Clonality Polyclonal (rabbit origin)
Isotype Rabbit Ig
Purity Antigen affinity chromatography
Buffer Lyophilized from 1X PBS with 2% Trehalose
UniProt O93369
Applications Western Blot : 0.5-1ug/ml
Immunohistochemistry (FFPE) : 2-5ug/ml
Limitations This Zebrafish Bmp2b antibody is available for research use only.
Review this product on BioCompare and get a $20 Amazon gift card

Related Products

Description

The Zebrafish Bmp2b antibody targets Bmp2b, a critical secreted growth factor in the transforming growth factor beta family that regulates dorsoventral patterning, organogenesis, and skeletal development in Danio rerio. Zebrafish, also known as Danio rerio, express bmp2b as one of the key ligands guiding early embryonic axis formation. Bmp2b is synthesized as a precursor protein that undergoes proteolytic processing to generate the mature ligand, which is secreted and signals through type I and type II serine-threonine kinase receptors. These receptors activate Smad transcription factors and downstream pathways that shape tissue identity and morphogen gradients across the developing embryo.

Bmp2b functions as a central morphogen controlling dorsoventral specification during gastrulation. In zebrafish embryos, bmp2b expression is enriched ventrally, establishing a gradient that determines ventral, intermediate, and dorsal fates. Loss of bmp2b activity results in strongly dorsalized phenotypes, while increased activity shifts tissues toward ventral identity. A Zebrafish Bmp2b antibody is suitable for research applications examining extracellular or pericellular localization of Bmp2b during early embryogenesis, germ layer formation, and tissue-specific signaling events.

Bmp2b participates in multiple developmental pathways beyond axis formation. In the developing fin buds, craniofacial elements, and somites, Bmp2b regulates proliferation, patterning, and differentiation of mesodermal and ectodermal derivatives. In cardiac development, Bmp2b influences myocardial specification and contributes to morphogenetic remodeling of early heart structures. Neural crest cell development also depends on graded Bmp2b signaling, which helps define craniofacial architecture and pigment cell lineages. These diverse functions establish Bmp2b as a key regulator of tissue identity and morphogen-driven developmental processes in Danio rerio.

Structurally, Bmp2b contains an N-terminal signal peptide, a pro-domain that supports folding and dimerization, and a C-terminal mature peptide forming the characteristic cystine-knot structure shared by TGF-beta family ligands. Zebrafish bmp2b maps to chromosome 10, with regulatory elements controlling sharply localized transcription during gastrulation and continued expression in organogenic tissues. Co-localization studies often detect Bmp2b alongside downstream Smad1, Smad5, or Smad9 signaling markers, as well as within embryonic territories expressing components of the Bmp receptor complex. Because Bmp2b acts as a secreted ligand, its spatial distribution provides insight into morphogen gradient formation and range of action.

A Zebrafish Bmp2b antibody is suitable for detecting Bmp2b in developmental studies exploring axis specification, organogenesis, mesodermal patterning, craniofacial development, and fin morphogenesis in Danio rerio. Its expression highlights regions where Bmp signaling forms critical positional cues and supports coordinated tissue formation during early embryonic and larval development. Investigators use Bmp2b expression patterns to track morphogen gradients, compare wild-type and mutant phenotypes, and examine how extracellular signaling integrates with transcriptional networks that guide patterning decisions. These capabilities make the antibody a valuable tool for studies in developmental biology, morphogen signaling, and tissue patterning, and this reagent is supplied for research use by NSJ Bioreagents.

This Zebrafish antibody is part of a broader Zebrafish / Danio rerio antibody panel offered by NSJ Bioreagents.

Application Notes

Optimal dilution of the Zebrafish Bmp2b antibody should be determined by the researcher.

Immunogen

E. coli-derived zebrafish Bmp2b recombinant protein (amino acids E27-D279) was used as the immunogen for the Zebrafish Bmp2b antibody.

Storage

After reconstitution, the Zebrafish Bmp2b antibody can be stored for up to one month at 4oC. For long-term, aliquot and store at -20oC. Avoid repeated freezing and thawing.

Cross
Bulk Quote Request Form
Name*:
Organization*:
Email*:
Phone Number*:
Catalog No.*:
Comments and Specifics(amount, formulation, etc.)*:
Validation code: Captchapackage Image


Can't read the image? click here to refresh.
    *required field

Your bulk quote request has been submitted successfully!

Please contact us if you have any questions.