• Tel: 858.663.9055
  • SeparatorEmail: info@nsjbio.com
  • Tel: 858.663.9055
  • Email: info@nsjbio.com
Home >> Antibodies >> Zebrafish Axin2 Antibody / Axis inhibition protein 2

Zebrafish Axin2 Antibody / Axis inhibition protein 2 (RZ1205)

  Catalog No Formulation Size Price (USD)  
Image RZ1205 0.5mg/ml if reconstituted with 0.2ml sterile DI water 100 ug 539
Bulk quote request
Zebrafish Axin2 Antibody Spinal Cord Tissue IHC. Immunohistochemistry staining of zebrafish Axin2 protein using Zebrafish Axin2 antibody, HRP-labeled secondary and DAB substrate. Axin2 was detected in a paraffin-embedded section of zebrafish spinal cord tissue. HIER: boil tissue sections in pH8 EDTA for 20 min and allow to cool before testing.
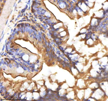
Zebrafish Axin2 Antibody Colon Tissue IHC. Immunohistochemistry staining of zebrafish Axin2 protein using Zebrafish Axin2 antibody, HRP-labeled secondary and DAB substrate. Axin2 was detected in a paraffin-embedded section of zebrafish colon tissue. HIER: boil tissue sections in pH8 EDTA for 20 min and allow to cool before testing.
Availability 2-3 weeks
Species Reactivity Zebrafish
Format Antigen affinity purified
Host Rabbit
Clonality Polyclonal (rabbit origin)
Isotype Rabbit Ig
Purity Antigen affinity chromatography
Buffer Lyophilized from 1X PBS with 2% Trehalose
UniProt P57095
Localization Cytoplasm
Applications Immunohistochemistry (FFPE) : 2-5ug/ml
Limitations This Zebrafish Axin2 antibody is available for research use only.
Review this product on BioCompare and get a $20 Amazon gift card

Related Products

Description

The Zebrafish Axin2 antibody targets Axin2, a cytoplasmic scaffold protein that negatively regulates Wnt signaling and controls key developmental, regenerative, and patterning processes in Danio rerio. Zebrafish, also known as Danio rerio, express axin2 as a crucial component of the β-catenin destruction complex, where it functions as a rate-limiting scaffold that recruits Gsk3, Apc, β-catenin, and other partners to regulate canonical Wnt pathway output. Axin2 localizes primarily to the cytoplasm, though its distribution can shift depending on Wnt activation states and cellular context. As a core regulator of Wnt-dependent transcription, Axin2 influences cell fate decisions, tissue polarity, and morphogenetic movements during early zebrafish development.

Axin2 belongs to the Axin family of scaffold proteins characterized by RGS, DIX, and other functional domains that mediate interactions with essential Wnt pathway components. In zebrafish embryos, axin2 is expressed dynamically in tissues patterned by Wnt gradients, including the developing brain, somites, tailbud, and fin primordia. Because its transcription is directly upregulated by Wnt signaling, axin2 serves as both a pathway regulator and a transcriptional readout of pathway activation. A Zebrafish Axin2 antibody is suitable for research applications examining cytoplasmic distribution, Wnt pathway activity, and tissue patterning across embryonic and larval stages.

Axin2 regulates Wnt signaling by promoting β-catenin phosphorylation and degradation, acting as a central point of control within the destruction complex. Its expression marks regions undergoing Wnt-driven differentiation, proliferation, and axis specification. During zebrafish somitogenesis, Axin2 helps coordinate segmentation by balancing Wnt inputs with oscillatory gene networks. In the developing brain and neural plate, Axin2 contributes to regional identity and neuroepithelial organization. It also participates in dorsal-ventral patterning, craniofacial development, and fin morphogenesis through modulation of Wnt-mediated transcriptional programs.

Structurally, Axin2 features domains essential for scaffold assembly: the RGS domain recruits Apc, while the DIX domain mediates self-polymerization and interaction with Dishevelled. These structural regions allow Axin2 to tune the activity and stability of β-catenin within a wide range of tissues. Zebrafish axin2 maps to chromosome 19, and regulatory elements near the gene ensure rapid transcriptional responses to Wnt signaling fluctuations. Co-localization studies frequently identify Axin2 with components of the destruction complex, cytoskeletal regulators, or protein complexes linked to cell polarity and morphogen gradient interpretation.

A Zebrafish Axin2 antibody is suitable for detecting Axin2 in studies focused on Wnt pathway regulation, embryonic pattern formation, segmentation, tissue regeneration, and morphogenesis in Danio rerio. Axin2’s spatial expression provides insight into Wnt activity gradients and helps define progenitor domains in structures such as the neural tube, somites, tailbud, and craniofacial prominences. Its dynamic regulation during fin regeneration and other repair processes also makes it a valuable marker for assessing regenerative signaling cascades. These properties support research examining how Wnt signaling coordinates developmental and regenerative processes, and this reagent is supplied for research use by NSJ Bioreagents.

This Zebrafish antibody is part of a broader Zebrafish / Danio rerio antibody panel offered by NSJ Bioreagents.

Application Notes

Optimal dilution of the Zebrafish Axin2 antibody should be determined by the researcher.

Immunogen

E. coli-derived zebrafish Axin2 recombinant protein (amino acids H86-D812) was used as the immunogen for the Zebrafish Axin2 antibody.

Storage

After reconstitution, the Zebrafish Axin2 antibody can be stored for up to one month at 4oC. For long-term, aliquot and store at -20oC. Avoid repeated freezing and thawing.

Cross
Bulk Quote Request Form
Name*:
Organization*:
Email*:
Phone Number*:
Catalog No.*:
Comments and Specifics(amount, formulation, etc.)*:
Validation code: Captchapackage Image


Can't read the image? click here to refresh.
    *required field

Your bulk quote request has been submitted successfully!

Please contact us if you have any questions.