• Tel: 858.663.9055
  • SeparatorEmail: info@nsjbio.com
  • Tel: 858.663.9055
  • Email: info@nsjbio.com
Home >> Antibodies >> Zebrafish Atp6v1a Antibody

Zebrafish Atp6v1a Antibody (RZ1129)

  Catalog No Formulation Size Price (USD)  
Image RZ1129 0.5mg/ml if reconstituted with 0.2ml sterile DI water 100 ug 539
Bulk quote request
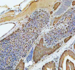
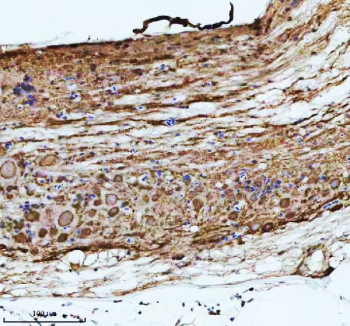
Zebrafish Atp6v1a Antibody Spinal Cord IHC. Immunohistochemical analysis of Atp6v1a protein using Zebrafish Atp6v1a antibody and paraffin-embedded zebrafish spinal cord tissue. HIER: boil tissue sections in pH8 EDTA for 20 min and allow to cool before testing.
Zebrafish Atp6v1a Antibody WB. Western blot analysis of Atp6v1a protein using Zebrafish ATP6V1A antibody and zebrafish head tissue lysate. The predicted molecular weight of Atp6v1a is ~68 kDa.
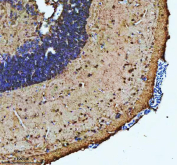
Zebrafish Atp6v1a Antibody Brain IHC. Immunohistochemical analysis of Atp6v1a protein using Zebrafish Atp6v1a antibody and paraffin-embedded zebrafish brain tissue. HIER: boil tissue sections in pH8 EDTA for 20 min and allow to cool before testing.
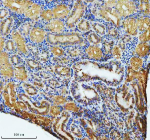
Zebrafish Atp6v1a Antibody Kidney IHC. Immunohistochemical analysis of Atp6v1a protein using Zebrafish Atp6v1a antibody and paraffin-embedded zebrafish kidney tissue. HIER: boil tissue sections in pH8 EDTA for 20 min and allow to cool before testing.
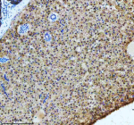
Zebrafish Atp6v1a Antibody Liver IHC. Immunohistochemical analysis of Atp6v1a protein using Zebrafish Atp6v1a antibody and paraffin-embedded zebrafish liver tissue. HIER: boil tissue sections in pH8 EDTA for 20 min and allow to cool before testing.
Zebrafish Atp6v1a Antibody Spleen IHC. Immunohistochemical analysis of Atp6v1a protein using Zebrafish Atp6v1a antibody and paraffin-embedded zebrafish spleen tissue. HIER: boil tissue sections in pH8 EDTA for 20 min and allow to cool before testing.
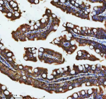
Zebrafish Atp6v1a Antibody Intestine IHC. Immunohistochemical analysis of Atp6v1a protein using Zebrafish Atp6v1a antibody and paraffin-embedded zebrafish intestinal tissue. HIER: boil tissue sections in pH8 EDTA for 20 min and allow to cool before testing.
Availability 2-3 weeks
Species Reactivity Zebrafish
Format Antigen affinity purified
Host Rabbit
Clonality Polyclonal (rabbit origin)
Isotype Rabbit Ig
Purity Antigen affinity chromatography
Buffer Lyophilized from 1X PBS with 2% Trehalose
UniProt E7FCD8
Localization Plasma membrane
Applications Western Blot : 0.5-1 ug/ml
Immunohistochemistry (FFPE) : 2-5 ug/ml
Limitations This Zebrafish Atp6v1a antibody is available for research use only.
Review this product on BioCompare and get a $20 Amazon gift card

Related Products

Description

Zebrafish (Danio rerio) Atp6v1a antibody detects Atp6v1a, the catalytic A subunit of the vacuolar ATPase (V-ATPase), a multi-subunit proton pump responsible for acidifying endosomes, lysosomes, secretory vesicles, and additional intracellular compartments. In zebrafish, the atp6v1a gene encodes a key component of the V1 domain, the cytosolic motor module that generates ATP-driven rotational force to power proton translocation across membranes. This acidification process is fundamental for protein degradation, vesicle trafficking, autophagy, receptor recycling, synaptic vesicle loading, and numerous developmental signaling pathways. Because V-ATPase function is essential for cellular homeostasis, Zebrafish Atp6v1a antibody reagents are widely used in studies of membrane trafficking, organelle biogenesis, and vertebrate development.

During zebrafish embryogenesis, atp6v1a is expressed in tissues with high lysosomal or endosomal activity, including neural precursors, digestive organs, pronephric structures, and rapidly remodeling epithelia. Developing neurons require V-ATPase activity for neurotransmitter loading into synaptic vesicles, while epithelial and endodermal tissues depend on proper acidification for protein turnover and metabolic regulation. Acidification also plays an important role in patterning signals such as Notch, Wnt, and Hedgehog, which rely on endosomal processing and trafficking. Disruption of Atp6v1a activity in vertebrates leads to defects in neural development, impaired organogenesis, and abnormal lysosomal function, highlighting its conserved and essential role.

At the molecular level, the V-ATPase consists of the peripheral V1 sector, which hydrolyzes ATP, and the membrane-bound V0 sector, which translocates protons. Atp6v1a forms the central catalytic subunit of V1, coordinating nucleotide binding and hydrolysis that generate mechanical rotation. This force drives conformational changes in the V0 domain, enabling proton pumping. In zebrafish, these mechanisms support critical processes including epithelial lumen formation, extracellular matrix remodeling, and the maturation of degradative organelles. Proper Atp6v1a function also maintains metabolic balance by regulating amino acid recycling and autophagic flux.

In addition to its roles in vesicular acidification, V-ATPase activity influences cell migration, polarity, and cytoskeletal organization. Acidification of intracellular compartments governs integrin recycling, endocytosis, and secretion of signaling molecules that shape tissue architecture. Zebrafish models allow direct visualization of these processes, with Atp6v1a-dependent pathways contributing to morphogenetic movements such as convergent extension, retinal layering, and vascular development.

Subcellular localization of Atp6v1a is primarily cytosolic but closely associated with membrane compartments where the V1 and V0 sectors assemble. Dynamic regulation of V-ATPase assembly and disassembly allows cells to fine-tune acidification based on metabolic needs, developmental stage, or environmental stress. Interaction partners include other V1 subunits, proton translocation components, and regulatory factors that modulate V-ATPase activity. Conservation of Atp6v1a structure and function across vertebrates underscores the relevance of zebrafish for studying proton pump biology and lysosomal regulation.

A Zebrafish Atp6v1a antibody is suitable for research applications such as western blotting, immunohistochemistry, and assays examining vesicular acidification, lysosomal activity, endosomal trafficking, and developmental signaling pathways. This antibody targets Atp6v1a for studies involving organelle biogenesis, membrane dynamics, and vertebrate developmental physiology. NSJ Bioreagents provides the Zebrafish Atp6v1a antibody to support research in intracellular transport and metabolic regulation.

This Zebrafish antibody is part of a broader Zebrafish / Danio rerio antibody panel offered by NSJ Bioreagents.

Application Notes

Optimal dilution of the Zebrafish Atp6v1a antibody should be determined by the researcher.

Immunogen

An E.coli-derived zebrafish Atp6v1a recombinant protein (amino acids K139-D617) was used as the immunogen for the Zebrafish Atp6v1a antibody.

Storage

After reconstitution, the Zebrafish Atp6v1a antibody can be stored for up to one month at 4oC. For long-term, aliquot and store at -20oC. Avoid repeated freezing and thawing.

Cross
Bulk Quote Request Form
Name*:
Organization*:
Email*:
Phone Number*:
Catalog No.*:
Comments and Specifics(amount, formulation, etc.)*:
Validation code: Captchapackage Image


Can't read the image? click here to refresh.
    *required field

Your bulk quote request has been submitted successfully!

Please contact us if you have any questions.