• Tel: 858.663.9055
  • SeparatorEmail: info@nsjbio.com
  • Tel: 858.663.9055
  • Email: info@nsjbio.com
Home >> Antibodies >> Zebrafish Ascl1a Antibody / Achaete-scute homolog 1

Zebrafish Ascl1a Antibody / Achaete-scute homolog 1 (RZ1203)

  Catalog No Formulation Size Price (USD)  
Image RZ1203 0.5mg/ml if reconstituted with 0.2ml sterile DI water 100 ug 539
Bulk quote request
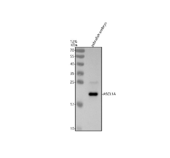
Zebrafish Ascl1a Antibody Embryo Tissue WB. Western blot analysis of Ascl1a protein using Zebrafish Ascl1a antibody and zebrafish embryo tissue lysates. Predicted molecular weight ~22 kDa.
Availability 2-3 weeks
Species Reactivity Zebrafish
Format Antigen affinity purified
Host Rabbit
Clonality Polyclonal (rabbit origin)
Isotype Rabbit Ig
Purity Antigen affinity chromatography
Buffer Lyophilized from 1X PBS with 2% Trehalose
UniProt Q90259
Applications Western Blot : 0.5-1ug/ml
Limitations This Zebrafish Ascl1a antibody is available for research use only.
Review this product on BioCompare and get a $20 Amazon gift card

Related Products

Description

The Zebrafish Ascl1a antibody targets Ascl1a, a basic helix-loop-helix transcription factor essential for neuronal specification, regenerative neurogenesis, and early embryonic patterning in Danio rerio. Zebrafish, also known as Danio rerio, express ascl1a as a core proneural gene that regulates the commitment of neural progenitors during the earliest phases of nervous system development. Ascl1a contains a conserved bHLH DNA binding and dimerization domain and localizes to the nucleus, where it initiates transcriptional programs driving progenitor cells toward neuronal fates while shaping spatial patterning across neuroepithelial tissues.

Ascl1a plays a critical role in establishing neurogenic waves across the forebrain, midbrain, and hindbrain. Its expression emerges in clusters of neural progenitors undergoing lateral inhibition, functioning with Notch signaling to regulate the balance between proliferation and differentiation. A Zebrafish Ascl1a antibody is suitable for research applications examining nuclear expression within neurogenic niches, lineage transitions, and the spatial distribution of transcription factors that govern neuronal commitment during early development.

Ascl1a regulates gene networks central to neurogenesis, including mediators of cell cycle exit, neuronal migration, and early neuronal differentiation. It interacts with factors such as NeuroD, Hes family repressors, and chromatin modifiers that remodel regulatory regions in neural progenitors. Through these interactions, Ascl1a acts as both a transcriptional activator and a competence factor that primes progenitors for neuronal maturation. Importantly, Ascl1a also participates in regenerative neurogenesis: following neural injury, zebrafish re-activate ascl1a expression in radial glia and progenitor zones, enabling injury-induced neuronal production that is largely absent in mammalian systems.

Structurally, Ascl1a contains the hallmark bHLH domain that binds E-box sequences and facilitates heterodimerization with other helix-loop-helix transcription factors. Zebrafish ascl1a maps to chromosome 25, and surrounding regulatory elements confer tightly restricted expression to neuroepithelial territories undergoing fate transitions. Co-localization studies frequently identify Ascl1a with progenitor markers such as Sox2, as well as with early neuronal markers like HuC/D in cells that have recently initiated differentiation. This combination of spatial precision and dynamic regulation underscores its critical role in early neurodevelopment.

A Zebrafish Ascl1a antibody is suitable for detecting Ascl1a in studies focused on neuronal differentiation, neurogenic zone organization, injury-induced regeneration, and comparative developmental analyses across Danio rerio stages. Its nuclear localization provides a clear readout of proneural transcription factor dynamics during commitment of progenitors to neuronal lineages. These features make the antibody valuable for developmental biology studies examining transcriptional hierarchies, neuroepithelial diversification, and regenerative transcriptional reprogramming, and this reagent is supplied for research use by NSJ Bioreagents.

This Zebrafish antibody is part of a broader Zebrafish / Danio rerio antibody panel offered by NSJ Bioreagents.

Application Notes

Optimal dilution of the Zebrafish Ascl1a antibody should be determined by the researcher.

Immunogen

E. coli-derived zebrafish Ascl1a recombinant protein (amino acids M1-F196) was used as the immunogen for the Zebrafish Ascl1a antibody.

Storage

After reconstitution, the Zebrafish Ascl1a antibody can be stored for up to one month at 4oC. For long-term, aliquot and store at -20oC. Avoid repeated freezing and thawing.

Cross
Bulk Quote Request Form
Name*:
Organization*:
Email*:
Phone Number*:
Catalog No.*:
Comments and Specifics(amount, formulation, etc.)*:
Validation code: Captchapackage Image


Can't read the image? click here to refresh.
    *required field

Your bulk quote request has been submitted successfully!

Please contact us if you have any questions.