• Tel: 858.663.9055
  • SeparatorEmail: info@nsjbio.com
  • Tel: 858.663.9055
  • Email: info@nsjbio.com
Home >> Antibodies >> Zebrafish Alcama Antibody / Neurolin

Zebrafish Alcama Antibody / Neurolin (RZ1201)

  Catalog No Formulation Size Price (USD)  
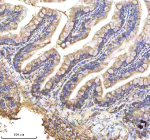
Image RZ1201 0.5mg/ml if reconstituted with 0.2ml sterile DI water 100 ug 539
Bulk quote request
Zebrafish Alcama Antibody Liver Tissue IHC. Immunohistochemistry staining of FFPE zebrafish liver tissue with Zebrafish Alcama antibody, HRP-labeled secondary and DAB substrate. HIER: boil tissue sections in pH8 EDTA for 20 min and allow to cool before testing.
Zebrafish Alcama Antibody Tissue WB. Western blot analysis of Alcama protein using Zebrafish Alcama antibody and 1) zebrafish head, 2) whole female zebrafish and 3) whole male zebrafish lysate. Predicted molecular weight ~61 kDa but may be observed at higher molecular weights due to glycosylation.
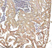
Zebrafish Alcama Antibody Brain Tissue IHC. Immunohistochemistry staining of FFPE zebrafish brain tissue with Zebrafish Alcama antibody, HRP-labeled secondary and DAB substrate. HIER: boil tissue sections in pH8 EDTA for 20 min and allow to cool before testing.
Zebrafish Alcama Antibody Heart Tissue IHC. Immunohistochemistry staining of FFPE zebrafish heart tissue with Zebrafish Alcama antibody, HRP-labeled secondary and DAB substrate. HIER: boil tissue sections in pH8 EDTA for 20 min and allow to cool before testing.
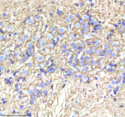
Zebrafish Alcama Antibody Colon Tissue IHC. Immunohistochemistry staining of FFPE zebrafish colon tissue with Zebrafish Alcama antibody, HRP-labeled secondary and DAB substrate. HIER: boil tissue sections in pH8 EDTA for 20 min and allow to cool before testing.
Zebrafish Alcama Antibody Muscle Tissue IHC. Immunohistochemistry staining of FFPE zebrafish muscle tissue with Zebrafish Alcama antibody, HRP-labeled secondary and DAB substrate. HIER: boil tissue sections in pH8 EDTA for 20 min and allow to cool before testing.
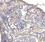
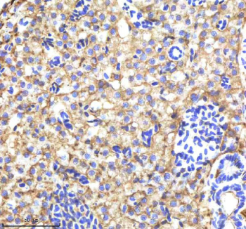
Zebrafish Alcama Antibody Kidney Tissue IHC. Immunohistochemistry staining of FFPE zebrafish kidney tissue with Zebrafish Alcama antibody, HRP-labeled secondary and DAB substrate. HIER: boil tissue sections in pH8 EDTA for 20 min and allow to cool before testing.
Availability 2-3 weeks
Species Reactivity Zebrafish
Format Antigen affinity purified
Host Rabbit
Clonality Polyclonal (rabbit origin)
Isotype Rabbit Ig
Purity Antigen affinity chromatography
Buffer Lyophilized from 1X PBS with 2% Trehalose
UniProt Q90460
Applications Western Blot : 0.5-1ug/ml
Immunohistochemistry (FFPE) : 2-5ug/ml
Limitations This Zebrafish Alcama antibody is available for research use only.
Review this product on BioCompare and get a $20 Amazon gift card

Related Products

Description

The Zebrafish Alcama antibody targets Alcama, an immunoglobulin superfamily cell adhesion molecule essential for tissue morphogenesis, axon guidance, and hematopoietic niche formation in Danio rerio. Zebrafish, also known as Danio rerio, express Alcama as a membrane-associated adhesion receptor widely known as Neurolin in visual system development literature. Alcama contains multiple extracellular immunoglobulin-like domains, a transmembrane segment, and a short cytoplasmic tail that supports intracellular signaling. It localizes primarily to the cell surface, particularly in regions undergoing dynamic patterning, including emerging axon tracts, endothelial precursors, and mesoderm-derived tissues.

Alcama belongs to the immunoglobulin superfamily of adhesion molecules, a group responsible for mediating cell-cell contact, tissue compartmentalization, and neural circuit organization. In zebrafish embryos, Alcama is prominently expressed at the midline, optic chiasm, hindbrain boundaries, somites, and hematopoietic stem cell niches. These expression domains highlight its central function in tissue integrity and guidance cues for migrating cells. A Zebrafish Alcama antibody is suitable for research applications examining membrane-associated labeling in axon trajectory mapping, somite boundary organization, and stromal cell interactions during hematopoietic development.

Alcama participates in several developmental pathways, including Wnt-associated tissue boundary formation, Fgf signaling during somitogenesis, and cell adhesion networks regulating neural pathfinding. In the developing visual system, Neurolin (Alcama) is strongly enriched along retinal ganglion cell axons and plays a guiding role in axon extension and midline crossing. During hematopoietic development, Alcama marks stromal cells that shape the microenvironment supporting hematopoietic stem and progenitor cell emergence. It also interacts with other adhesion and guidance molecules, contributing to coordinated signaling events that establish or refine tissue architecture.

Structurally, Alcama features extracellular immunoglobulin-like domains that mediate adhesion and recognition events at the cell surface. Zebrafish alcama maps to chromosome 1, consistent with its ancestral origins within the immunoglobulin superfamily. Co-localization studies frequently report Alcama alongside markers of neural growth cones, endothelial progenitors, and mesodermal derivatives, reinforcing its functional role in multiple developing tissues. Its spatially restricted membrane expression makes it a reliable indicator of boundary-forming cell populations and axonal scaffolding regions.

A Zebrafish Alcama antibody is suitable for detecting Alcama in research focused on neural circuitry establishment, endothelial precursor behavior, somite boundary organization, and hematopoietic niche formation in Danio rerio embryos. Alcama labeling provides clear visualization of membrane dynamics, tissue compartment interfaces, and axonal scaffold anatomy during key morphogenetic events. These properties support developmental biology investigations into adhesion-dependent patterning, organogenesis, and morphogen-regulated guidance mechanisms, and this reagent is supplied for research use by NSJ Bioreagents.

This Zebrafish antibody is part of a broader Zebrafish / Danio rerio antibody panel offered by NSJ Bioreagents.

Application Notes

Optimal dilution of the Zebrafish Alcama antibody should be determined by the researcher.

Immunogen

E. coli-derived zebrafish Alcama recombinant protein (amino acids K54-I509) was used as the immunogen for the Zebrafish Alcama antibody.

Storage

After reconstitution, the Zebrafish Alcama antibody can be stored for up to one month at 4oC. For long-term, aliquot and store at -20oC. Avoid repeated freezing and thawing.

Cross
Bulk Quote Request Form
Name*:
Organization*:
Email*:
Phone Number*:
Catalog No.*:
Comments and Specifics(amount, formulation, etc.)*:
Validation code: Captchapackage Image


Can't read the image? click here to refresh.
    *required field

Your bulk quote request has been submitted successfully!

Please contact us if you have any questions.