• Tel: 858.663.9055
  • SeparatorEmail: info@nsjbio.com
  • Tel: 858.663.9055
  • Email: info@nsjbio.com
Home >> Antibodies >> Zebrafish Adrm1 Antibody / Adrm1b

Zebrafish Adrm1 Antibody / Adrm1b (RZ1055)

  Catalog No Formulation Size Price (USD)  
Image RZ1055 0.5mg/ml if reconstituted with 0.2ml sterile DI water 100 ug 539
Bulk quote request
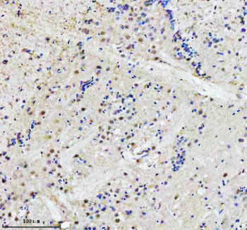
Zebrafish Adrm1 Antibody Brain IHC. Immunohistochemistry staining of FFPE zebrafish brain tissue with Adrm1 antibody. HIER: boil tissue sections in pH8 EDTA for 20 min and allow to cool before testing.
Zebrafish Adrm1 Antibody WB. Western blot analysis of Adrm1 protein using Zebrafish Adrm1 antibody and 1) zebrafish head and 2) zebrafish embryo tissue lysate. Predicted molecular weight ~42 kDa.
Availability 2-3 weeks
Species Reactivity Zebrafish
Format Antigen affinity purified
Host Rabbit
Clonality Polyclonal (rabbit origin)
Isotype Rabbit Ig
Purity Antigen affinity chromatography
Buffer Lyophilized from 1X PBS with 2% Trehalose
UniProt Q6NZ09
Localization Nuclear, cytoplasmic
Applications Western Blot : 0.5-1 ug/ml
Immunohistochemistry (FFPE) : 2-5 ug/ml
Limitations This Zebrafish Adrm1 antibody is available for research use only.
Review this product on BioCompare and get a $20 Amazon gift card

Related Products

Description

Zebrafish (Danio rerio) Adrm1 antibody recognizes Adrm1 and its zebrafish paralog Adrm1b, two conserved regulatory components of the 26S proteasome. ADRM1, also known as proteasomal ubiquitin receptor, is an essential factor that binds polyubiquitinated substrates and recruits them to the proteasome for degradation. In Danio rerio embryos, adrm1 and adrm1b transcripts are broadly expressed, with enrichment in developing brain, neural tube, somites, heart, notochord, kidney, and endoderm-derived organs including liver and pancreas. Subcellular localization is mainly cytoplasmic and nuclear, closely associated with proteasome complexes distributed throughout proliferative and differentiating tissues.

ADRM1 family proteins play a core role in regulating protein turnover during development. As zebrafish embryos undergo rapid cell division and morphogenesis, proteasomal degradation governs the availability of transcription factors, signaling molecules, and structural proteins that control lineage specification and tissue morphogenesis. Adrm1 and Adrm1b act as substrate receptors that help ensure selective recognition and efficient processing of ubiquitin-tagged proteins. Disruptions to proteasome recruitment impair developmental signaling fidelity and can cause accumulation of misfolded or regulatory proteins, leading to cellular stress and altered pattern formation.

Neural development is particularly sensitive to proteasomal regulation. In the forming brain and spinal cord, Adrm1-mediated substrate recruitment supports turnover of key regulators involved in axon growth, synaptic assembly, neural progenitor proliferation, and neuroepithelial organization. Zebrafish neural tissues require dynamic proteome remodeling to guide migration, establish polarity, and maintain redox and metabolic balance. Adrm1b, the zebrafish paralog, displays similar expression patterns and likely contributes parallel or partially overlapping functions during neurogenesis.

Cardiac and skeletal muscle development also rely on proteasomal pathways involving Adrm1. During early heart tube formation and myocardial maturation, turnover of contractile proteins, signaling intermediates, and damaged mitochondrial components is essential for establishing contractile efficiency and metabolic resilience. In somites and developing muscle fibers, proteasome activity guides myogenic differentiation, sarcomere organization, and cytoskeletal remodeling. Adrm1-dependent recruitment of ubiquitinated substrates helps maintain proteostasis required for proper muscle morphogenesis.

Endoderm-derived organs including liver and pancreas depend on ubiquitin-proteasome pathways for metabolic gene regulation, stress adaptation, and differentiation. Adrm1 and Adrm1b contribute to turnover of enzymes, transporters, and regulatory proteins that guide organ expansion and functional specialization. Because endodermal tissues undergo significant metabolic restructuring during organogenesis, proteasomal control of protein quality and abundance is essential for their maturation.

Beyond developmental roles, ADRM1 family proteins are involved in cellular responses to stress. Proteasome-mediated degradation helps eliminate oxidatively damaged proteins, prevent aggregation, and maintain signaling balance under environmental or metabolic challenge. Zebrafish embryos experiencing fluctuating oxygen levels, nutrient conditions, or oxidative stress rely on Adrm1-associated mechanisms to preserve proteome stability and developmental viability. Adrm1 and Adrm1b may also influence transcriptional networks indirectly by regulating turnover of transcription factors and epigenetic modifiers.

This Zebrafish Adrm1 antibody is suitable for detecting Adrm1 and Adrm1b in research focused on proteasome biology, neural development, cardiac and muscle formation, metabolic organogenesis, and stress-response pathways in zebrafish. NSJ Bioreagents provides this reagent within its zebrafish and proteostasis-regulation antibody collection.

This Zebrafish antibody is part of a broader Zebrafish / Danio rerio antibody panel offered by NSJ Bioreagents.

Application Notes

Optimal dilution of the Zebrafish Adrm1 antibody should be determined by the researcher.

Immunogen

An E.coli-derived zebrafish Adrm1 recombinant protein (amino acids S14-M385) was used as the immunogen for the Zebrafish Adrm1 antibody.

Storage

After reconstitution, the Zebrafish Adrm1 antibody can be stored for up to one month at 4oC. For long-term, aliquot and store at -20oC. Avoid repeated freezing and thawing.

Cross
Bulk Quote Request Form
Name*:
Organization*:
Email*:
Phone Number*:
Catalog No.*:
Comments and Specifics(amount, formulation, etc.)*:
Validation code: Captchapackage Image


Can't read the image? click here to refresh.
    *required field

Your bulk quote request has been submitted successfully!

Please contact us if you have any questions.