• Tel: 858.663.9055
  • SeparatorEmail: info@nsjbio.com
  • Tel: 858.663.9055
  • Email: info@nsjbio.com
Home >> Antibodies >> Zebrafish Abce1 Antibody / ATP binding cassette E1

Zebrafish Abce1 Antibody / ATP binding cassette E1 (RZ1104)

  Catalog No Formulation Size Price (USD)  
Image RZ1104 0.5mg/ml if reconstituted with 0.2ml sterile DI water 100 ug 539
Bulk quote request
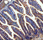
Zebrafish Abce1 Antibody Kidney IHC. Immunohistochemistry staining of FFPE zebrafish kidney tissue with Zebrafish Abce1 antibody, HRP-secondary and DAB substrate. HIER: boil tissue sections in pH8 EDTA for 20 min and allow to cool before testing.
Zebrafish Abce1 Antibody WB. Western blot analysis of ABCE1 protein using Zebrafish Abce1 antibody and zebrafish 1) head and 20 embryo tissue lysate. Predicted molecular weight ~67 kDa.
Zebrafish Abce1 Antibody Colon IHC. Immunohistochemistry staining of FFPE zebrafish colon tissue with Zebrafish Abce1 antibody. HIER: boil tissue sections in pH8 EDTA for 20 min and allow to cool before testing.
Zebrafish Abce1 Antibody Brain IHC. Immunohistochemistry staining of FFPE zebrafish brain tissue with Zebrafish Abce1 antibody. HIER: boil tissue sections in pH8 EDTA for 20 min and allow to cool before testing.
Zebrafish Abce1 Antibody Retina IHC. Immunohistochemistry staining of FFPE zebrafish retina tissue with Zebrafish Abce1 antibody, HRP-secondary and DAB substrate. HIER: boil tissue sections in pH8 EDTA for 20 min and allow to cool before testing.
Availability 2-3 weeks
Species Reactivity Zebrafish
Format Antigen affinity purified
Host Rabbit
Clonality Polyclonal (rabbit origin)
Isotype Rabbit Ig
Purity Antigen affinity chromatography
Buffer Lyophilized from 1X PBS with 2% Trehalose
UniProt Q6TNW3
Localization Cytoplasm
Applications Western Blot : 0.5-1 ug/ml
Immunohistochemistry (FFPE) : 2-5 ug/ml
Limitations This Zebrafish Abce1 antibody is available for research use only.
Review this product on BioCompare and get a $20 Amazon gift card

Related Products

Description

Zebrafish (Danio rerio) Abce1 antibody detects ATP binding cassette E1, an essential and highly conserved protein that participates in translation control, ribosome dynamics, and antiviral defense. Unlike classical ABC transporters, Abce1 lacks transmembrane domains and functions instead as a soluble cytoplasmic ATPase. In zebrafish, the abce1 gene encodes a protein containing twin nucleotide binding domains and an iron sulfur cluster region that together support ATP driven conformational changes required for ribosome recycling and inhibition of RNAse L mediated antiviral pathways. Because of its broad regulatory functions, ATP binding cassette E1 antibody reagents are widely used in developmental, translational, and cellular physiology research.

Abce1 is best known for its role in ribosome recycling, where it promotes dissociation of post termination ribosomal complexes into functional subunits. This activity is essential for maintaining efficient translation cycles and preventing ribosome stalling, particularly in rapidly developing embryonic tissues. In zebrafish embryos, abce1 is expressed ubiquitously during early cleavage stages and later shows enrichment in neural, muscular, and proliferative tissues with high translational demand. Loss or reduction of abce1 disrupts protein synthesis capacity, leading to developmental delay, impaired tissue growth, and altered morphogen signaling.

Beyond translation, Abce1 participates in innate immune regulation. Its iron sulfur cluster enables interaction with RNase L, preventing premature RNA degradation during antiviral responses. This dual role places Abce1 at the interface of translation quality control and immune homeostasis. Zebrafish, with their transparent embryos and tractable innate immune system, provide an ideal model for studying how Abce1 coordinates these functions during development and environmental challenge.

Abce1 also participates in pathways that modulate cell survival, stress responses, and metabolic regulation. Its ATP dependent conformational cycling influences ribosome associated quality control, ensuring that aberrant translation products are efficiently removed. Dysregulation of Abce1 in vertebrate systems has been linked to defects in cell cycle progression, oxidative stress resistance, and embryonic viability. Because ribosome function underlies nearly all biosynthetic pathways, Abce1 contributes significantly to developmental robustness.

At the subcellular level, Abce1 localizes predominantly to the cytoplasm, where it associates with translating ribosomes, release factors, and quality control machinery. Known interaction partners include eRF1, eRF3, and components of the ribosome recycling complex. These associations highlight its essential position in translational control and ribonucleoprotein complex dynamics. In zebrafish, these interactions support rapid shifts in protein synthesis as embryos transition through major developmental milestones.

Abce1's involvement in translational regulation and innate immunity also links it to broader developmental signaling pathways. Alterations in translation efficiency can affect Wnt, FGF, BMP, and Hedgehog outputs, influencing cell fate and tissue patterning. Additionally, Abce1 regulated suppression of RNase L helps maintain RNA stability required for coordinated gene expression across tissues.

A Zebrafish Abce1 antibody is suitable for research applications such as western blotting, immunohistochemistry, and assays examining translation, ribosome recycling, and innate immune regulation. This antibody targets Abce1 for studies in developmental biology, protein synthesis, stress responses, and early embryonic growth. NSJ Bioreagents provides the Zebrafish Abce1 antibody to support investigations in translational control and cellular homeostasis.

This Zebrafish antibody is part of a broader Zebrafish / Danio rerio antibody panel offered by NSJ Bioreagents.

Application Notes

Optimal dilution of the Zebrafish Abce1 antibody should be determined by the researcher.

Immunogen

An E.coli-derived zebrafish ABCE1 recombinant protein (amino acids Q141-D599) was used as the immunogen for the Zebrafish Abce1 antibody.

Storage

After reconstitution, the Zebrafish Abce1 antibody can be stored for up to one month at 4oC. For long-term, aliquot and store at -20oC. Avoid repeated freezing and thawing.

Cross
Bulk Quote Request Form
Name*:
Organization*:
Email*:
Phone Number*:
Catalog No.*:
Comments and Specifics(amount, formulation, etc.)*:
Validation code: Captchapackage Image


Can't read the image? click here to refresh.
    *required field

Your bulk quote request has been submitted successfully!

Please contact us if you have any questions.