• Tel: 858.663.9055
  • SeparatorEmail: info@nsjbio.com
  • Tel: 858.663.9055
  • Email: info@nsjbio.com
Home >> Antibodies >> Zcchc11 Antibody

Zcchc11 Antibody (R35337)

  Catalog No Formulation Size Price (USD)  
Image R35337-100UG 0.5 mg/ml in 1X TBS, pH7.3, with 0.5% BSA (US sourced) and 0.02% sodium azide 100 ug 475
Bulk quote request
Western blot testing of rat brain lysate with Zcchc11 antibody at 0.05ug/ml. Predicted/observed molecular weight (rat): ~163kDa.
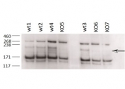
Western blot of different testis lysates from wildtype (wt) 8-9 week old C57BL/6 and knock-out (KO) mice with Zcchc11 antibody at 0.2ug/ml.
Availability 1-3 business days
Species Reactivity Mouse, Rat
Format Antigen affinity purified
Host Goat
Clonality Polyclonal (goat origin)
Isotype Goat Ig
Purity Antigen affinity
Gene ID 230594
Applications Western Blot : 0.03-0.1ug/ml
ELISA (peptide) LOD : 1:32000
Limitations This Zcchc11 antibody is available for research use only.
Review this product on BioCompare and get a $20 Amazon gift card

Related Products

  • Applications : IHC, ELISA (peptide)
    Reactivity : Human
    Pred. Reactivity : Cow, Dog, Mouse, Rat

Description

Additional name(s) for this target protein: Zinc finger, CCHC domain containing 11, Terminal Uridylyltransferase 4

Application Notes

Optimal dilution of the Zcchc11 antibody should be determined by the researcher.

Immunogen

Amino acids QKSAEKQGDLTPSET were used as the immunogen for this Zcchc11 antibody.

Storage

Aliquot and store the Zcchc11 antibody at -20oC.

Cross
Bulk Quote Request Form
Name*:
Organization*:
Email*:
Phone Number*:
Catalog No.*:
Comments and Specifics(amount, formulation, etc.)*:
Validation code: Captchapackage Image


Can't read the image? click here to refresh.
    *required field

Your bulk quote request has been submitted successfully!

Please contact us if you have any questions.