• Tel: 858.663.9055
  • SeparatorEmail: info@nsjbio.com
  • Tel: 858.663.9055
  • Email: info@nsjbio.com
Home >> Antibodies >> ZBTB7A Antibody / Pokemon

ZBTB7A Antibody / Pokemon (R31842)

  Catalog No Formulation Size Price (USD)  
Image R31842 0.5mg/ml if reconstituted with 0.2ml sterile DI water 100 ug 449
Bulk quote request
Western blot testing of mouse 1) kidney and 2) NIH3T3 lysate with ZBTB7A antibody. Predicted molecular weight ~61 kDa but routinely observed at ~75 kDa.
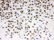
IHC testing of FFPE mouse intestine with ZBTB7A antibody. HIER: Boil the paraffin sections in pH 6, 10mM citrate buffer for 20 minutes and allow to cool prior to staining.
IHC testing of FFPE rat brain with ZBTB7A antibody. HIER: Boil the paraffin sections in pH 6, 10mM citrate buffer for 20 minutes and allow to cool prior to staining.
Availability 1-3 business days
Species Reactivity Mouse, Rat
Format Antigen affinity purified
Host Rabbit
Clonality Polyclonal (rabbit origin)
Isotype Rabbit IgG
Purity Antigen affinity
Buffer Lyophilized from 1X PBS with 2.5% BSA and 0.025% sodium azide
UniProt O88939
Localization Nuclear
Applications Western Blot : 0.1-0.5ug/ml
IHC (FFPE) : 0.5-1ug/ml
Limitations This ZBTB7A antibody is available for research use only.
Review this product on BioCompare and get a $20 Amazon gift card

Related Products

  • Applications : WB, IHC-P, IF, FACS
    Reactivity : Human

Description

Zinc finger and BTB domain-containing protein 7A, also called Pokemon and FBI-1, is a protein that in humans is encoded by the ZBTB7A gene. It has a critical oncosuppressive role in the prostate. Prostate-specific inactivation of ZBTB7A leads to a marked acceleration of PTEN loss-driven prostate tumorigenesis through bypass of PTEN loss-induced cellular senescence. It has been showed that ZBTB7A physically interacts with SOX9 and functionally antagonizes its transcriptional activity on key target genes such as MIA, which is involved in tumor cell invasion, and H19, a long noncoding RNA precursor for an RB-targeting microRNA. Inactivation of ZBTB7A in vivo leads to RB downregulation, bypass of PTEN loss-induced cellular senescence, and invasive prostate cancer. Notably, it has been also found that ZBTB7A is genetically lost, as well as downregulated at both the mRNA and protein levels, in a subset of human advanced prostate cancers. Therefore, ZBTB7A is identified as a context-dependent cancer gene that can act as an oncogene in some contexts but that also has oncosuppressive-like activity in PTEN-null tumors.

Application Notes

Optimal dilution of the ZBTB7A antibody should be determined by the researcher.

Immunogen

Amino acids DLLERQILAADDVGDASQPDGAGPTDQRNLLRAKEYLEF of mouse ZBTB7A were used as the immunogen for the ZBTB7A antibody.

Storage

After reconstitution, the ZBTB7A antibody can be stored for up to one month at 4oC. For long-term, aliquot and store at -20oC. Avoid repeated freezing and thawing.

Cross
Bulk Quote Request Form
Name*:
Organization*:
Email*:
Phone Number*:
Catalog No.*:
Comments and Specifics(amount, formulation, etc.)*:
Validation code: Captchapackage Image


Can't read the image? click here to refresh.
    *required field

Your bulk quote request has been submitted successfully!

Please contact us if you have any questions.