• Tel: 858.663.9055
  • SeparatorEmail: info@nsjbio.com
  • Tel: 858.663.9055
  • Email: info@nsjbio.com
Home >> Antibodies >> ZAP70 Antibody / Signal Amplification Pathway Antibody

ZAP70 Antibody / Signal Amplification Pathway Antibody [clone ZAP70/528] (V2936)

  Catalog No Formulation Size Price (USD)  
Image V2936-100UG 0.2 mg/ml in 1X PBS with 0.1 mg/ml BSA (US sourced) and 0.05% sodium azide 100 ug 559
Image
V2936-20UG 0.2 mg/ml in 1X PBS with 0.1 mg/ml BSA (US sourced) and 0.05% sodium azide 20 ug 259
Image
V2936SAF-100UG 1 mg/ml in 1X PBS; BSA free, sodium azide free 100 ug 559
Image
V2936IHC-7ML Prediluted in 1X PBS with 0.1 mg/ml BSA (US sourced) and 0.05% sodium azide; *For IHC use only* 7 ml 559
Bulk quote request
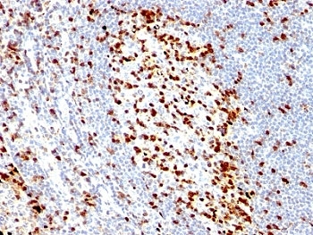
ZAP70 Antibody / Signal Amplification Pathway Antibody. Immunohistochemistry analysis of formalin-fixed, paraffin-embedded human tonsil tissue using ZAP70 Antibody / Signal Amplification Pathway Antibody (clone ZAP70/528). Cytoplasmic HRP-DAB brown staining is observed in lymphoid cell populations within tonsillar follicles and interfollicular regions, with clusters of strongly positive cells contrasted against lighter surrounding areas. This pattern is consistent with Zeta-chain-associated protein kinase 70 (ZAP70) expression in lymphocytes and reflects amplification of intracellular signaling cascades following receptor engagement. The staining highlights regions of intensified signaling activity where signal propagation and pathway expansion contribute to robust immune responses within lymphoid tissue architecture.
Availability 1-3 business days
Species Reactivity Human
Format Purified
Host Mouse
Clonality Monoclonal (mouse origin)
Isotype Mouse IgG2a, kappa
Clone Name ZAP70/528
Purity Protein G affinity chromatography
UniProt P43403
Localization Cytoplasmic
Applications Immunohistochemistry (FFPE) : 1-2ug/ml for 30 min at RT (1) (2)
Limitations This ZAP70 antibody is available for research use only.
Review this product on BioCompare and get a $20 Amazon gift card

Related Products

Description

Zeta-chain-associated protein kinase 70 (ZAP70) is a cytoplasmic tyrosine kinase that plays a central role in signal amplification within T-cell receptor signaling pathways. ZAP70 Antibody is uniquely positioned for studying signal amplification pathways, where initial receptor engagement is converted into robust intracellular signaling cascades. ZAP70 antibody, also referred to as Zeta-chain-associated protein kinase 70 antibody or ZAP-70 antibody, is widely used to investigate how weak upstream signals are amplified into strong downstream responses.

Following T-cell receptor activation, ZAP70 initiates phosphorylation events that activate adaptor proteins and downstream kinases, leading to rapid expansion of the signaling cascade. This amplification process ensures that even low levels of antigen engagement can produce sufficient signaling output to drive cellular responses. ZAP70 therefore functions as a critical amplifier that bridges early receptor signaling with large-scale intracellular pathway activation.

This ZAP70 Antibody is uniquely positioned for studying signal amplification mechanisms, with emphasis on cascade expansion and signal scaling rather than signal initiation or sensitivity thresholds. Its use supports investigation of how signaling pathways propagate, intensify, and sustain activation signals over time. This differentiator clearly separates it from receptor signaling pages that focus on initiation and from threshold pages that focus on sensitivity.

ZAP70-mediated amplification involves coordinated activation of multiple downstream pathways, including MAPK and calcium signaling, which together drive transcriptional activation and functional immune responses. This coordinated expansion of signaling is essential for effective immune activation and ensures that initial receptor engagement leads to meaningful biological outcomes.

In experimental systems, signal amplification can be studied by examining how small changes in upstream stimulation result in large differences in downstream signaling output, with ZAP70 serving as a key mediator of this process. Detection of ZAP70 enables researchers to investigate how signaling cascades are amplified and how amplification contributes to immune cell behavior.

Overall, ZAP70 Antibody provides a specialized tool for studying signal amplification pathways, enabling detailed investigation of signaling cascade expansion, pathway dynamics, and the molecular mechanisms that drive robust and sustained immune activation.

Application Notes

Optimal dilution of the ZAP70 Antibody / Signal Amplification Pathway Antibody should be determined by the researcher.

1. Staining of formalin-fixed tissues requires boiling tissue sections in 10mM Tris with 1mM EDTA, pH 9, for 10-20 min followed by cooling at RT for 20 min.
2. The prediluted format is supplied in a dropper bottle and is optimized for use in IHC. After epitope retrieval step (if required), drip mAb solution onto the tissue section and incubate at RT for 30 min.

Immunogen

Recombinant full-length human protein was used as the immunogen for the ZAP70 Antibody / Signal Amplification Pathway Antibody

Storage

Store the ZAP70 antibody at 2-8oC (with azide) or aliquot and store at -20oC or colder (without azide).

Alternate Names

ZAP70 antibody, Zeta-chain-associated protein kinase 70 antibody, ZAP70 signal amplification antibody, ZAP70 signaling cascade antibody, ZAP70 pathway expansion antibody

Cross
Bulk Quote Request Form
Name*:
Organization*:
Email*:
Phone Number*:
Catalog No.*:
Comments and Specifics(amount, formulation, etc.)*:
Validation code: Captchapackage Image


Can't read the image? click here to refresh.
    *required field

Your bulk quote request has been submitted successfully!

Please contact us if you have any questions.