• Tel: 858.663.9055
  • SeparatorEmail: info@nsjbio.com
  • Tel: 858.663.9055
  • Email: info@nsjbio.com
Home >> Antibodies >> ZAP70 Antibody / Immune Tolerance Signaling Antibody

ZAP70 Antibody / Immune Tolerance Signaling Antibody [clone SPM362] (V2935)

  Catalog No Formulation Size Price (USD)  
Image V2935-100UG 0.2 mg/ml in 1X PBS with 0.1 mg/ml BSA (US sourced) and 0.05% sodium azide 100 ug 559
Image
V2935-20UG 0.2 mg/ml in 1X PBS with 0.1 mg/ml BSA (US sourced) and 0.05% sodium azide 20 ug 259
Image
V2935SAF-100UG 1 mg/ml in 1X PBS; BSA free, sodium azide free 100 ug 559
Image
V2935IHC-7ML Prediluted in 1X PBS with 0.1 mg/ml BSA (US sourced) and 0.05% sodium azide; *For IHC use only* 7 ml 559
Bulk quote request
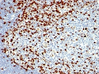
ZAP70 Antibody / Immune Tolerance Signaling Antibody. Immunohistochemistry analysis of formalin-fixed, paraffin-embedded human tonsil tissue using ZAP70 Antibody / Immune Tolerance Signaling Antibody (clone SPM362). Cytoplasmic HRP-DAB brown staining is observed in scattered lymphoid cell populations within tonsillar follicles and interfollicular regions, with variable staining intensity compared to surrounding cells. This pattern is consistent with Zeta-chain-associated protein kinase 70 (ZAP70) expression in lymphocytes and reflects regulated signaling states associated with immune tolerance and T-cell non-responsiveness. The distribution highlights subsets of lymphoid cells where signaling attenuation and tolerance mechanisms are active within the tissue microenvironment.
SDS-PAGE analysis of purified, BSA-free ZAP70 Antibody / Immune Tolerance Signaling Antibody (clone SPM362) as confirmation of integrity and purity.
Availability 1-3 business days
Species Reactivity Human
Format Purified
Host Mouse
Clonality Monoclonal (mouse origin)
Isotype Mouse IgG2a, kappa
Clone Name SPM362
Purity Protein G affinity chromatography
UniProt P43403
Localization Cytoplasmic
Applications Immunohistochemistry (FFPE) : 1-2ug/ml for 30 min at RT
Limitations This ZAP70 antibody is available for research use only.
Review this product on BioCompare and get a $20 Amazon gift card

Related Products

Description

Zeta-chain-associated protein kinase 70 (ZAP70) is a cytoplasmic tyrosine kinase that plays a central role in immune tolerance signaling by regulating how T cells are rendered non-responsive to self-antigens. ZAP70 Antibody is uniquely positioned for studying immune tolerance signaling, where controlled attenuation of T-cell receptor signaling prevents inappropriate immune activation. ZAP70 antibody, also referred to as Zeta-chain-associated protein kinase 70 antibody or ZAP-70 antibody, is widely used to investigate signaling mechanisms that maintain immune suppression and prevent autoimmunity.

Immune tolerance is established through mechanisms such as clonal deletion, anergy, and peripheral suppression, all of which depend on tightly regulated signaling through the T-cell receptor. ZAP70 functions as a key mediator in this process by transmitting signals whose strength and duration determine whether a T cell becomes activated or suppressed. In tolerance contexts, signaling through ZAP70 is often attenuated or altered, leading to reduced downstream activation and establishment of a non-responsive state.

This ZAP70 Antibody is uniquely positioned for studying immune tolerance signaling pathways, with emphasis on suppression mechanisms such as T-cell anergy and negative regulatory signaling rather than activation or signal propagation. Its use supports investigation of how signaling pathways are dampened to maintain immune homeostasis and how tolerance is enforced at the molecular level. This differentiator clearly separates it from activation threshold pages that focus on sensitivity and from signal amplification pages that emphasize increased signaling output.

ZAP70-mediated signaling contributes to both central tolerance during thymic selection and peripheral tolerance in mature T cells. In the thymus, altered ZAP70 signaling influences negative selection of self-reactive thymocytes, while in peripheral tissues it contributes to maintenance of anergic or suppressed T-cell states. These processes are essential for preventing autoimmune responses and ensuring immune system stability.

In experimental systems, immune tolerance can be studied by exposing T cells to low-affinity or repeated antigen stimulation, where ZAP70 signaling patterns reflect suppressed activation states. Detection of ZAP70 enables researchers to examine how signaling pathways are modulated to enforce tolerance and how these mechanisms fail in autoimmune disease contexts.

Overall, ZAP70 Antibody provides a specialized tool for investigating immune tolerance signaling, enabling detailed study of T-cell suppression, anergy, and regulatory signaling processes that maintain immune homeostasis and prevent inappropriate immune activation.

Application Notes

Optimal dilution of the ZAP70 Antibody / Immune Tolerance Signaling Antibody should be determined by the researcher.

1. Staining of formalin-fixed tissues requires boiling tissue sections in 10mM Tris with 1mM EDTA, pH 9, for 10-20 min followed by cooling at RT for 20 min.
2. The prediluted format is supplied in a dropper bottle and is optimized for use in IHC. After epitope retrieval step (if required), drip mAb solution onto the tissue section and incubate at RT for 30 min.

Immunogen

Recombinant human protein (including amino acids 1-254 and the SH2 domains) was used as the immunogen for the ZAP70 Antibody / Immune Tolerance Signaling Antibody.

Storage

Store the ZAP70 antibody at 2-8oC (with azide) or aliquot and store at -20oC or colder (without azide).

Alternate Names

ZAP70 antibody, Zeta-chain-associated protein kinase 70 antibody, ZAP70 immune tolerance antibody, ZAP70 T-cell anergy antibody, ZAP70 immune suppression signaling antibody

Cross
Bulk Quote Request Form
Name*:
Organization*:
Email*:
Phone Number*:
Catalog No.*:
Comments and Specifics(amount, formulation, etc.)*:
Validation code: Captchapackage Image


Can't read the image? click here to refresh.
    *required field

Your bulk quote request has been submitted successfully!

Please contact us if you have any questions.