• Tel: 858.663.9055
  • SeparatorEmail: info@nsjbio.com
  • Tel: 858.663.9055
  • Email: info@nsjbio.com
Home >> Antibodies >> ZAP70 Antibody for FACS / Leukemia Lymphoma Flow Cytometry Antibody

ZAP70 Antibody for FACS / Leukemia Lymphoma Flow Cytometry Antibody [clone 6F12] (RQ6080)

  Catalog No Formulation Size Price (USD)  
Image RQ6080 0.5mg/ml if reconstituted with 0.2ml sterile DI water 100 ug 449
Bulk quote request
ZAP70 Antibody for FACS / Leukemia Lymphoma Flow Cytometry Antibody. Flow cytometry analysis of human 293T cells evaluating intracellular ZAP70 expression using clone ZAP70/2047 at 1 ug per million cells. Cells were fixed, permeabilized, and blocked with goat sera prior to staining to enable detection of the cytoplasmic kinase Zeta-chain-associated protein kinase 70 (ZAP70), supporting leukemia and lymphoma research workflows involving intracellular phenotyping of cell populations. The blue histogram shows a rightward fluorescence shift corresponding to ZAP70-positive cells, the green histogram represents the isotype control, and the red histogram indicates unstained cells, demonstrating specific intracellular detection of ZAP70 by flow cytometry in a model system relevant to hematologic malignancy studies.
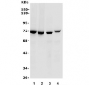
Western blot testing of 1) human Jurkat, 2) human CCR-CEM, 3) mouse spleen and 4) mouse thymus lysate with ZAP70 antibody. Expected molecular weight ~70 kDa.
Availability 1-3 business days
Species Reactivity Human, Mouse
Format Purified
Host Mouse
Clonality Monoclonal (mouse origin)
Isotype Mouse IgG2b
Clone Name 6F12
Purity Affinity purified
Buffer Lyophilized from 1X PBS with 2% Trehalose and 0.025% sodium azide
UniProt P43403
Applications Western Blot : 0.5-1ug/ml
Flow Cytometry : 1-3ug/million cells
Limitations This ZAP70 antibody is available for research use only.
Review this product on BioCompare and get a $20 Amazon gift card

Related Products

Description

ZAP70 antibody, also known as Zeta-chain-associated protein kinase 70 antibody, recognizes a cytoplasmic tyrosine kinase with established relevance in lymphoid malignancy research. ZAP70 Antibody for FACS is specifically designed for intracellular flow cytometry analysis of leukemia and lymphoma cell populations, enabling detailed characterization of malignant lymphocytes within complex samples. ZAP70 is expressed in T cells and subsets of B cells, and its expression patterns are frequently examined in hematologic cancer contexts.

In flow cytometry, intracellular detection of ZAP70 supports phenotyping of lymphoid malignancies by allowing researchers to evaluate protein expression within defined cancer-associated cell populations. ZAP70 expression is linked to altered signaling behavior and immune dysregulation in leukemia and lymphoma models, making it a valuable intracellular marker for studying disease-associated cellular phenotypes and signaling abnormalities.

This ZAP70 Antibody for FACS is uniquely positioned for hematologic cancer research, with a clear focus on disease-oriented flow cytometry applications rather than general immune biology. Its use enables analysis of malignant lymphocyte subsets following fixation and permeabilization, supporting investigation of tumor cell heterogeneity, signaling alterations, and immune-related disease mechanisms. This disease-centric positioning differentiates it from signaling and activation-focused ZAP70 reagents.

ZAP70 participates in signaling pathways that regulate cell survival, proliferation, and activation, and its dysregulation can contribute to aberrant lymphocyte behavior in cancer. Its detection in malignant cells provides insight into disease biology and supports studies of lymphoid neoplasia at the single-cell level. Overall, ZAP70 Antibody for FACS provides a specialized tool for flow cytometric analysis of leukemia and lymphoma samples, enabling targeted investigation of hematologic malignancies and intracellular signaling alterations in cancer research.

Application Notes

Optimal dilution of the ZAP70 Antibody for FACS / Leukemia Lymphoma Flow Cytometry Antibody should be determined by the researcher.

Immunogen

Amino acids MRKKQIDVAIKVLKQGTEKADTEEMMREAQIMHQL from the human protein were used as the immunogen for the ZAP70 Antibody for FACS / Leukemia Lymphoma Flow Cytometry Antibody.

Storage

After reconstitution, the ZAP70 antibody can be stored for up to one month at 4oC. For long-term, aliquot and store at -20oC. Avoid repeated freezing and thawing.

Alternate Names

ZAP70 leukemia antibody, ZAP70 lymphoma flow cytometry antibody, ZAP70 hematologic cancer antibody, ZAP70 lymphoid malignancy FACS antibody, ZAP70 cancer research flow cytometry antibody

Cross
Bulk Quote Request Form
Name*:
Organization*:
Email*:
Phone Number*:
Catalog No.*:
Comments and Specifics(amount, formulation, etc.)*:
Validation code: Captchapackage Image


Can't read the image? click here to refresh.
    *required field

Your bulk quote request has been submitted successfully!

Please contact us if you have any questions.