• Tel: 858.663.9055
  • SeparatorEmail: info@nsjbio.com
  • Tel: 858.663.9055
  • Email: info@nsjbio.com
Home >> Antibodies >> YY1 Antibody

YY1 Antibody [clone 3F3E7] (RQ7051)

  Catalog No Formulation Size Price (USD)  
Image RQ7051 0.5mg/ml if reconstituted with 0.2ml sterile DI water 100 ug 449
Bulk quote request
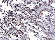
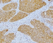
IHC staining of FFPE human pancreatic ductal adenocarcinoma tissue with YY1 antibody. HIER: boil tissue sections in pH8 EDTA for 20 min and allow to cool before testing.
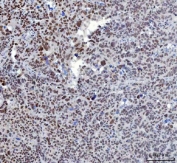
IHC staining of FFPE human serous adenocarcinoma of the ovary tissue with YY1 antibody. HIER: boil tissue sections in pH8 EDTA for 20 min and allow to cool before testing.
IHC staining of FFPE human ovarian serous cancer tissue with YY1 antibody. HIER: boil tissue sections in pH8 EDTA for 20 min and allow to cool before testing.
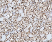
IHC staining of FFPE human thyroid cancer tissue with YY1 antibody. HIER: boil tissue sections in pH8 EDTA for 20 min and allow to cool before testing.
IHC staining of FFPE muscular layer of human colonic adenocarcinoma tissue with YY1 antibody. HIER: boil tissue sections in pH8 EDTA for 20 min and allow to cool before testing.
IHC staining of FFPE human laryngeal squamous cell carcinoma tissue with YY1 antibody. HIER: boil tissue sections in pH8 EDTA for 20 min and allow to cool before testing.
Immunofluorescent staining of FFPE human T-47D cells with YY1 antibody (red) and DAPI nuclear stain (blue). HIER: steam section in pH6 citrate buffer for 20 min.
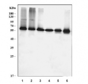
Western blot testing of 1) human Caco-2, 2) human SW620, 3) human MDA-MB-453, 4) human PC-3, 5) rat thymus and 6) mouse thymus tissue lysate with YY11 antibody. Predicted molecular weight ~45 kDa but commonly observed at 45~65 kDa.
Flow cytometry testing of human A431 cells with YY1 antibody at 1ug/million cells (blocked with goat sera); Red=cells alone, Green=isotype control, Blue= YY1 antibody.
Availability 1-3 business days
Species Reactivity Human, Mouse, Rat
Format Antigen affinity purified
Host Mouse
Clonality Monoclonal (mouse origin)
Isotype Mouse IgG1
Clone Name 3F3E7
Purity Antigen affinity purified
Buffer Lyophilized from 1X PBS with 2% Trehalose
UniProt P25490
Applications Western Blot : 0.5-1 ug/ml
Immunohistochemistry (FFPE) : 2-5ug/ml
Immunofluorescence : 5ug/ml
Flow Cytometry : 1-3ug/million cells
Limitations This YY1 antibody is available for research use only.
Review this product on BioCompare and get a $20 Amazon gift card

Related Products

Description

YY1 (Yin Yang 1) is a transcriptional repressor protein in humans that is encoded by the YY1 gene. YY1 is a ubiquitously distributed transcription factor belonging to the GLI-Kruppel class of zinc finger proteins. The protein is involved in repressing and activating a diverse number of promoters. YY1 may direct histone deacetylases and histone acetyltransferases to a promoter in order to activate or repress the promoter, thus implicating histone modification in the function of YY1.

Application Notes

Optimal dilution of the YY1 antibody should be determined by the researcher.

Immunogen

Amino acids EQKQVQIKTLEGEFSVTMWSSDEKKDIDHETVVEEQ were used as the immunogen for the YY1 antibody.

Storage

After reconstitution, the YY1 antibody can be stored for up to one month at 4oC. For long-term, aliquot and store at -20oC. Avoid repeated freezing and thawing.

Cross
Bulk Quote Request Form
Name*:
Organization*:
Email*:
Phone Number*:
Catalog No.*:
Comments and Specifics(amount, formulation, etc.)*:
Validation code: Captchapackage Image


Can't read the image? click here to refresh.
    *required field

Your bulk quote request has been submitted successfully!

Please contact us if you have any questions.