• Tel: 858.663.9055
  • SeparatorEmail: info@nsjbio.com
  • Tel: 858.663.9055
  • Email: info@nsjbio.com
Home >> Antibodies >> YBX2 Antibody / Y-box-binding protein 2 / MSY2

YBX2 Antibody / Y-box-binding protein 2 / MSY2 (RQ7474)

  Catalog No Formulation Size Price (USD)  
Image RQ7474 0.5mg/ml if reconstituted with 0.2ml sterile DI water 100 ug 449
Bulk quote request
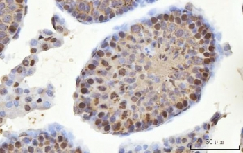
IHC staining of FFPE mouse testis tissue with YBX2 antibody. HIER: boil tissue sections in pH8 EDTA for 20 min and allow to cool before testing.
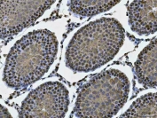
IHC staining of FFPE rat testis tissue with YBX2 antibody. HIER: boil tissue sections in pH8 EDTA for 20 min and allow to cool before testing.
Western blot testing of 1) human HeLa, 2) rat testis and 3) mouse testis tissue lysate with YBX2 antibody. Predicted molecular weight ~39 kDa but commonly observed at ~52 kDa.
Flow cytometry testing of human MCF7 cells with YBX2 antibody at 1ug/million cells (blocked with goat sera); Red=cells alone, Green=isotype control, Blue= YBX2 antibody.
Flow cytometry testing of human U-2 OS cells with YBX2 antibody at 1ug/million cells (blocked with goat sera); Red=cells alone, Green=isotype control, Blue= YBX2 antibody.
Availability 1-3 business days
Species Reactivity Human, Mouse, Rat
Format Antigen affinity purified
Host Rabbit
Clonality Polyclonal (rabbit origin)
Isotype Rabbit IgG
Purity Antigen affinity purified
Buffer Lyophilized from 1X PBS with 2% Trehalose
UniProt Q9Y2T7
Localization Cytoplasmic, nuclear
Applications Western Blot : 0.5-1ug/ml
Immunohistochemistry (FFPE) : 2-5ug/ml
Flow Cytometry : 1-3ug/million cells
Direct ELISA : 0.1-0.5ug/ml
Limitations This YBX2 antibody is available for research use only.
Review this product on BioCompare and get a $20 Amazon gift card

Description

Y-box-binding protein 2 is a protein that in humans is encoded by the YBX2 gene. This gene encodes a nucleic acid binding protein which is highly expressed in germ cells. The encoded protein binds to a Y-box element in the promoters of certain genes but also binds to mRNA transcribed from these genes. Pseudogenes for this gene are located on chromosome 10 and 15.

Application Notes

Optimal dilution of the YBX2 antibody should be determined by the researcher.

Immunogen

E. coli-derived recombinant human protein (amino acids E211-E364) was used as the immunogen for the YBX2 antibody.

Storage

After reconstitution, the YBX2 antibody can be stored for up to one month at 4oC. For long-term, aliquot and store at -20oC. Avoid repeated freezing and thawing.

Cross
Bulk Quote Request Form
Name*:
Organization*:
Email*:
Phone Number*:
Catalog No.*:
Comments and Specifics(amount, formulation, etc.)*:
Validation code: Captchapackage Image


Can't read the image? click here to refresh.
    *required field

Your bulk quote request has been submitted successfully!

Please contact us if you have any questions.