• Tel: 858.663.9055
  • SeparatorEmail: info@nsjbio.com
  • Tel: 858.663.9055
  • Email: info@nsjbio.com
Home >> Antibodies >> YB1 Antibody / Y box binding protein 1

YB1 Antibody / Y box binding protein 1 (R32164)

  Catalog No Formulation Size Price (USD)  
Image R32164 0.5mg/ml if reconstituted with 0.2ml sterile DI water 100 ug 449
Bulk quote request
Immunofluorescent staining of FFPE human A431 cells with YB1 antibody (green) and DAPI nuclear stain (blue). HIER: steam section in pH6 citrate buffer for 20 min.
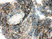
IHC testing of FFPE human lung cancer tissue with YB1 antibody. HIER: Boil the paraffin sections in pH 6, 10mM citrate buffer for 20 minutes and allow to cool prior to staining.
IHC testing of frozen human placenta with YB1 antibody.
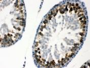
IHC testing of FFPE mouse testis with YB1 antibody. HIER: Boil the paraffin sections in pH 6, 10mM citrate buffer for 20 minutes and allow to cool prior to staining.
IHC testing of FFPE rat testis with YB1 antibody. HIER: Boil the paraffin sections in pH 6, 10mM citrate buffer for 20 minutes and allow to cool prior to staining.
Western blot testing of 1) human HeLa, 2) human MCF7, 3) human Jurkat, 4) human T-47D, 5) rat spleen and 6) mouse RAW264.7 cell lysate with YB1 antibody. Expected molecular weight: 39~50 kDa depending on glycosylation level.
Flow cytometry testing of human A431 cells with YB1 antibody at 1ug/million cells (blocked with goat sera); Red=cells alone, Green=isotype control, Blue= YB1 antibody.
Availability 1-3 business days
Species Reactivity Human, Mouse, Rat
Format Antigen affinity purified
Host Rabbit
Clonality Polyclonal (rabbit origin)
Isotype Rabbit IgG
Purity Antigen affinity
Buffer Lyophilized from 1X PBS with 2% Trehalose
UniProt P67809
Localization Nuclear and cytoplasmic
Applications Western Blot : 0.5-1ug/ml
Immunohistochemistry (FFPE) : 1-2ug/ml
Immunofluorescence (FFPE) : 5ug/ml
Flow Cytometry : 1-3ug/million cells
Limitations This YB1 antibody is available for research use only.
Review this product on BioCompare and get a $20 Amazon gift card

Related Products

Description

YBX1 (Y box binding protein 1), commonly referred to as YB-1 by researchers, is a human protein. YB1 binding has an absolute requirement for the CCAAT box and relative specificity for the Y box. It has a molecular mass of 35,414 and contains 18% basic residues and putative nuclear localization signals. The YBX1 gene is mapped on 1p34.2. Ybx1 was highly expressed in mouse erythroid myeloid lymphoid clone-1 (EML), a hematopoietic precursor cell line, but that it was downregulated in myeloid progenitors and in Gmcsf-treated EML cells during myeloid differentiation. Ybx1 was expressed at high levels in myeloid leukemic cells at different developmental stages. Knockdown of YBX1 in a human leukemic cell line inhibited proliferation ability, induced apoptosis, and induced megakaryocytic differentiation in response to arsenic trioxide treatment. YBX1 is downregulated during myeloid differentiation and aberrant YBX1 expression in leukemic cells may contribute to leukemia development by blocking differentiation.

Application Notes

Optimal dilution of the YB1 antibody should be determined by the researcher.

Immunogen

Amino acids ENPKPQDGKETKAADPPAENSSAPEAEQ of human YB1 were used as the immunogen for the YB1 antibody.

Storage

After reconstitution, the YB1 antibody can be stored for up to one month at 4oC. For long-term, aliquot and store at -20oC. Avoid repeated freezing and thawing.

Cross
Bulk Quote Request Form
Name*:
Organization*:
Email*:
Phone Number*:
Catalog No.*:
Comments and Specifics(amount, formulation, etc.)*:
Validation code: Captchapackage Image


Can't read the image? click here to refresh.
    *required field

Your bulk quote request has been submitted successfully!

Please contact us if you have any questions.