• Tel: 858.663.9055
  • SeparatorEmail: info@nsjbio.com
  • Tel: 858.663.9055
  • Email: info@nsjbio.com
Home >> Antibodies >> YAP1 Antibody / Yes-associated protein 1

YAP1 Antibody / Yes-associated protein 1 (R32393)

  Catalog No Formulation Size Price (USD)  
Image R32393 0.5mg/ml if reconstituted with 0.2ml sterile DI water 100 ug 449
Bulk quote request
Immunofluorescent staining of FFPE human A549 cells with YAP1 antibody (green) and DAPI nuclear stain (blue). HIER: steam section in pH6 citrate buffer for 20 min.
Immunofluorescent staining of FFPE human U-2 OS cells with YAP1 antibody (green) and Beta Tubulin mAb (red). HIER: steam section in pH6 citrate buffer for 20 min.
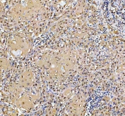
IHC staining of FFPE human glioblastoma tissue with YAP1 antibody. HIER: boil tissue sections in pH8 EDTA for 20 min and allow to cool before testing.
IHC staining of FFPE human invasive urothelial carcinoma of the bladder with squamous differentiation with YAP1 antibody. HIER: boil tissue sections in pH8 EDTA for 20 min and allow to cool before testing.
IHC staining of FFPE human renal clear cell carcinoma tissue with YAP1 antibody. HIER: boil tissue sections in pH8 EDTA for 20 min and allow to cool before testing.
IHC staining of FFPE human diffuse large B-cell lymphoma of the intestine with YAP1 antibody. HIER: boil tissue sections in pH8 EDTA for 20 min and allow to cool before testing.
IHC staining of FFPE human thyroid tissue with YAP1 antibody. HIER: boil tissue sections in pH8 EDTA for 20 min and allow to cool before testing.
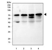
Western blot testing of 1) human HepG2, 2) human RT4, 3) human PC-3 and 4) mouse RM1 cell lysate with YAP1 antibody. Predicted molecular weight: 54 kDa but routinely observed at 65-70 kDa.
Western blot testing of 1) rat RH35, 2) rat C6, 3) mouse HEPA1-6 and 4) mouse RM1 cell lysate with YAP1 antibody. Predicted molecular weight: 54 kDa but routinely observed at 65-70 kDa.
Immunoprecipitation of YAP1 protein from 500ug of human HepG2 whole cell lysate with 2ug of YAP1 antibody.
Flow cytometry testing of fixed and permeabilized human U-251 cells with YAP1 antibody at 1ug/million cells (blocked with goat sera); Red=cells alone, Green=isotype control, Blue= YAP1 antibody.
Availability 1-3 business days
Species Reactivity Human, Mouse, Rat
Format Antigen affinity purified
Host Rabbit
Clonality Polyclonal (rabbit origin)
Isotype Rabbit IgG
Purity Antigen affinity
Buffer Lyophilized from 1X PBS with 2% Trehalose
UniProt P46937
Localization Cytoplasm, Nucleus, Cell Membrane
Applications Western Blot : 0.5-1ug/ml
Immunofluorescence (FFPE) : 5ug/ml
Flow Cytometry : 1-3ug/million cells
Immunohistochemistry (FFPE) : 2-5ug/ml
Immunoprecipitation : 2ug/500ug of lysate
Limitations This YAP1 antibody is available for research use only.
Review this product on BioCompare and get a $20 Amazon gift card

Related Products

Description

Yes-associated protein 1, also known as YAP or YAP65, is a potent oncogene, which is amplified in various human cancers. This gene encodes a downstream nuclear effector of the Hippo signaling pathway which is involved in development, growth, repair, and homeostasis. It is known to play a role in the development and progression of multiple cancers as a transcriptional regulator of this signaling pathway and may function as a potential target for cancer treatment. Alternative splicing results in multiple transcript variants encoding different isoforms.

Application Notes

Optimal dilution of the YAP1 antibody should be determined by the researcher.

Immunogen

Amino acids ETDLEALFNAVMNPKTANVPQTVPMRLRKLPDSFFK from the human protein were used as the immunogen for the YAP1 antibody.

Storage

After reconstitution, the YAP1 antibody can be stored for up to one month at 4oC. For long-term, aliquot and store at -20oC. Avoid repeated freezing and thawing.

Cross
Bulk Quote Request Form
Name*:
Organization*:
Email*:
Phone Number*:
Catalog No.*:
Comments and Specifics(amount, formulation, etc.)*:
Validation code: Captchapackage Image


Can't read the image? click here to refresh.
    *required field

Your bulk quote request has been submitted successfully!

Please contact us if you have any questions.