• Tel: 858.663.9055
  • SeparatorEmail: info@nsjbio.com
  • Tel: 858.663.9055
  • Email: info@nsjbio.com
Home >> Antibodies >> Y-box-binding protein 3 Antibody / YBX3

Y-box-binding protein 3 Antibody / YBX3 [clone PCRP-YBX3-2D12] (V4237)

  Catalog No Formulation Size Price (USD)  
Image V4237-100UG 0.2 mg/ml in 1X PBS with 0.1 mg/ml BSA (US sourced), 0.05% sodium azide 100 ug 559
Image
V4237-20UG 0.2 mg/ml in 1X PBS with 0.1 mg/ml BSA (US sourced), 0.05% sodium azide 20 ug 259
Image
V4237SAF-100UG 1 mg/ml in 1X PBS; BSA free, sodium azide free 100 ug 559
Microvalidated
Bulk quote request
Flow cytometry testing of PFA-fixed human HeLa cells with Y-box-binding protein 3 antibody (clone PCRP-YBX3-2D12) followed by goat anti-mouse IgG-CF488 (blue); Red = unstained cells.
Immunofluorescent staining of PFA-fixed human HeLa cells with Y-box-binding protein 3 antibody (clone PCRP-YBX3-2D12) followed by goat anti-mouse IgG-CF488 (green); Red = CF640R phalloidin.
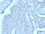
IHC staining of FFPE human bladder carcinoma with Y-box-binding protein 3 antibody (clone PCRP-YBX3-2D12). HIER: boil tissue sections in pH 9 10mM Tris with 1mM EDTA for 20 min and allow to cool before testing.
Analysis of a HuProt(TM) microarray containing more than 19,000 full-length human proteins using Y-box-binding protein 3 antibody (clone PCRP-YBX3-2D12). Z- and S- Score: The Z-score represents the strength of a signal that a monoclonal antibody (in combination with a fluorescently-tagged anti-IgG secondary antibody) produces when binding to a particular protein on the HuProt(TM) array. Z-scores are described in units of standard deviations (SD's) above the mean value of all signals generated on that array. If targets on HuProt(TM) are arranged in descending order of the Z-score, the S-score is the difference (also in units of SD's) between the Z-score. S-score therefore represents the relative target specificity of a mAb to its intended target. A mAb is considered to specific to its intended target, if the mAb has an S-score of at least 2.5. For example, if a mAb binds to protein X with a Z-score of 43 and to protein Y with a Z-score of 14, then the S-score for the binding of that mAb to protein X is equal to 29.
Availability 1-3 business days
Species Reactivity Human
Format Purified
Host Mouse
Clonality Monoclonal (mouse origin)
Isotype Mouse IgG2b
Clone Name PCRP-YBX3-2D12
Purity Protein A/G affinity
UniProt P16989
Localization Nucleus, Cytoplasm
Applications Flow Cytometry : 1-2ug/million cells
Immunofluorescence : 1-2ug/ml
Western Blot : 1-2ug/ml
Immunohistochemistry (FFPE) : 1-2ug/ml for 30 minutes at RT
Limitations This Y-box-binding protein 3 antibody is available for research use only.
Review this product on BioCompare and get a $20 Amazon gift card

Description

Predicted to enable DNA-binding transcription factor activity, RNA polymerase II-specific and RNA polymerase II cis-regulatory region sequence-specific DNA binding activity. Predicted to be involved in regulation of transcription by RNA polymerase II. Predicted to be active in nucleus. [provided by Alliance of Genome Resources, Apr 2022]

Application Notes

Optimal dilution of the Y-box-binding protein 3 antibody should be determined by the researcher.

Immunogen

Recombinant full-length human protein was used as the immunogen for the Y-box-binding protein 3 antibody.

Storage

Aliquot the Y-box-binding protein 3 antibody and store frozen at -20oC or colder. Avoid repeated freeze-thaw cycles.

Cross
Bulk Quote Request Form
Name*:
Organization*:
Email*:
Phone Number*:
Catalog No.*:
Comments and Specifics(amount, formulation, etc.)*:
Validation code: Captchapackage Image


Can't read the image? click here to refresh.
    *required field

Your bulk quote request has been submitted successfully!

Please contact us if you have any questions.