• Tel: 858.663.9055
  • SeparatorEmail: info@nsjbio.com
  • Tel: 858.663.9055
  • Email: info@nsjbio.com
Home >> Antibodies >> Xrcc4 Antibody

Xrcc4 Antibody (RQ5784)

  Catalog No Formulation Size Price (USD)  
Image RQ5784 0.5mg/ml if reconstituted with 0.2ml sterile DI water 100 ug 449
Bulk quote request
IHC staining of FFPE mouse heart with Xrcc4 antibody. HIER: boil tissue sections in pH8 EDTA for 20 min and allow to cool before testing.
IHC staining of FFPE rat heart with Xrcc4 antibody. HIER: boil tissue sections in pH8 EDTA for 20 min and allow to cool before testing.
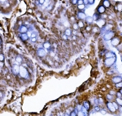
IHC staining of FFPE rat intestine with Xrcc4 antibody. HIER: boil tissue sections in pH8 EDTA for 20 min and allow to cool before testing.
Western blot testing of rat 1) heart, 2) lung, 3) PC-12, 4) mouse heart and 5) mouse lung lysate with Xrcc4 antibody. Predicted molecular weight: 35-38/55 kDa (unmodified/phosphorylated).
Flow cytometry testing of mouse ANA-1 cells with Xrcc4 antibody at 1ug/million cells (blocked with goat sera); Red=cells alone, Green=isotype control, Blue= Xrcc4 antibody.
Availability 1-3 business days
Species Reactivity Mouse, Rat
Format Antigen affinity purified
Host Rabbit
Clonality Polyclonal (rabbit origin)
Isotype Rabbit IgG
Purity Affinity purified
Buffer Lyophilized from 1X PBS with 2% Trehalose and 0.025% sodium azide
UniProt Q924T3
Applications Western Blot : 0.5-1ug/ml
Immunohistochemistry : 1-2ug/ml
Flow Cytometry : 1-3ug/million cells
Direct ELISA : 0.1-0.5ug/ml
Limitations This Xrcc4 antibody is available for research use only.
Review this product on BioCompare and get a $20 Amazon gift card

Related Products

  • Applications : WB, ELISA
    Reactivity : Human
  • Applications : WB, IHC-P
    Reactivity : Human
  • Applications : WB, IHC-P, IF, FACS, Direct ELISA
    Reactivity : Human

Description

DNA repair protein XRCC4, also known as X-ray repair cross-complementing protein 4 or XRCC4, is a protein that in humans is encoded by the XRCC4 gene. In addition to humans, the XRCC4 protein is also expressed in many other metazoans, fungi and in plants. The X-ray repair cross-complementing protein 4 is one of several core proteins involved in the non-homologous end joining (NHEJ) pathway to repair DNA double strand breaks(DSBs). Since XRCC4 is the key protein that enables interaction of LigIV to damaged DNA and therefore ligation of the ends, mutations in the XRCC4 gene were found to cause embryonic lethality in mice and developmental inhibition and immunodeficiency in humans. Furthermore, certain mutations in the XRCC4 gene are associated with an increased risk of cancer.

Application Notes

Optimal dilution of the Xrcc4 antibody should be determined by the researcher.

Immunogen

Recombinant mouse protein (amino acids M1-K190) was used as the immunogen for the Xrcc4 antibody.

Storage

After reconstitution, the Xrcc4 antibody can be stored for up to one month at 4oC. For long-term, aliquot and store at -20oC. Avoid repeated freezing and thawing.

Cross
Bulk Quote Request Form
Name*:
Organization*:
Email*:
Phone Number*:
Catalog No.*:
Comments and Specifics(amount, formulation, etc.)*:
Validation code: Captchapackage Image


Can't read the image? click here to refresh.
    *required field

Your bulk quote request has been submitted successfully!

Please contact us if you have any questions.