• Tel: 858.663.9055
  • SeparatorEmail: info@nsjbio.com
  • Tel: 858.663.9055
  • Email: info@nsjbio.com
Home >> Antibodies >> XRCC1 Antibody

XRCC1 Antibody (RQ4037)

  Catalog No Formulation Size Price (USD)  
Image RQ4037 0.5mg/ml if reconstituted with 0.2ml sterile DI water 100 ug 449
Bulk quote request
Western blot testing of human 1) HeLa, 2) placenta, 3) MCF7, 4) HepG2, 5) A549, 6) SKOV3, 7) PANC-1 and 8) mouse testis and 9) rat testis lysate with XRCC1 antibody at 0.5ug/ml. Rountinely observed molecular weight: 69~90 kDa.
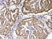
IHC testing of FFPE human breast cancer tissue with XRCC1 antibody at 1ug/ml. Required HIER: steam section in pH6 citrate buffer for 20 min and allow to cool prior to testing.
IHC testing of FFPE human colon cancer tissue with XRCC1 antibody at 1ug/ml. Required HIER: steam section in pH6 citrate buffer for 20 min and allow to cool prior to testing.
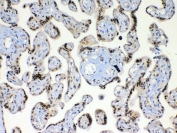
IHC testing of FFPE human placental tissue with XRCC1 antibody at 1ug/ml. Required HIER: steam section in pH6 citrate buffer for 20 min and allow to cool prior to testing.
IHC testing of FFPE rat kidney tissue with XRCC1 antibody at 1ug/ml. Required HIER: steam section in pH6 citrate buffer for 20 min and allow to cool prior to testing.
IF/ICC co-staining of FFPE mouse NIH3T3 cells with XRCC1 antibody (green) at 2ug/ml and DAPI nuclear stain (blue). HIER: steam section in pH6 citrate buffer for 20 min.
Availability 1-3 business days
Species Reactivity Human, Mouse, Rat
Format Antigen affinity purified
Host Rabbit
Clonality Polyclonal (rabbit origin)
Isotype Rabbit IgG
Purity Antigen affinity purified
Buffer Lyophilized from 1X PBS with 2% Trehalose and 0.025% sodium azide
UniProt P18887
Localization Nuclear
Applications Western Blot : 0.5-1ug/ml
IHC (FFPE) : 1-2ug/ml
Direct ELISA : 0.1-0.5ug/ml
IF/ICC (FFPE) : 2-4ug/ml
Limitations This XRCC1 antibody is available for research use only.
Review this product on BioCompare and get a $20 Amazon gift card

Related Products

  • Applications : WB, IF, FACS
    Reactivity : Human
  • Applications : WB, IHC-P, ICC
    Reactivity : Human, Mouse, Rat
  • Applications : WB, IHC, FACS, IF, ELISA
    Reactivity : Human

Description

XRCC1 (X-ray Repair Complementing Defective in Chinese Hamster 1) is a DNA repair protein which complexes with DNA ligase III. The protein encoded by this gene is involved in the efficient repair of DNA single-strand breaks formed by exposure to ionizing radiation and alkylating agents. The XRCC1 gene is mapped to 19q13.31. The XRCC1 interacts with DNA ligase III, polymerase beta and poly (ADP-ribose) polymerase to participate in the base excision repair pathway. It may play a role in DNA processing during meiogenesis and recombination in germ cells. A rare microsatellite polymorphism in this gene is associated with cancer in patients of varying radiosensitivity. XRCC1 is phosphorylated in vivo and in vitro by CK2, and CK2 phosphorylation of XRCC1 on ser518, thr519, and thr523 largely determines aprataxin binding to XRCC1 through its FHA domain.

Application Notes

Optimal dilution of the XRCC1 antibody should be determined by the researcher.

Immunogen

A recombinant human partial protein corresponding to amino acids E538-A633 was used as the immunogen for the XRCC1 antibody.

Storage

After reconstitution, the XRCC1 antibody can be stored for up to one month at 4oC. For long-term, aliquot and store at -20oC. Avoid repeated freezing and thawing.

Cross
Bulk Quote Request Form
Name*:
Organization*:
Email*:
Phone Number*:
Catalog No.*:
Comments and Specifics(amount, formulation, etc.)*:
Validation code: Captchapackage Image


Can't read the image? click here to refresh.
    *required field

Your bulk quote request has been submitted successfully!

Please contact us if you have any questions.