• Tel: 858.663.9055
  • SeparatorEmail: info@nsjbio.com
  • Tel: 858.663.9055
  • Email: info@nsjbio.com
Home >> Antibodies >> XDH Antibody / Xanthine Oxidase

XDH Antibody / Xanthine Oxidase (RQ8831)

  Catalog No Formulation Size Price (USD)  
Image RQ8831 0.5mg/ml if reconstituted with 0.2ml sterile DI water 100 ug 449
Bulk quote request
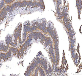
IHC staining of FFPE human colon tissue with XDH antibody. HIER: boil tissue sections in pH8 EDTA for 20 min and allow to cool before testing.
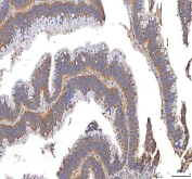
IHC staining of FFPE human colon carcinoma tissue with XDH antibody. HIER: boil tissue sections in pH8 EDTA for 20 min and allow to cool before testing.
IHC staining of FFPE human thyroid papillary carcinoma tissue with XDH antibody. HIER: boil tissue sections in pH8 EDTA for 20 min and allow to cool before testing.
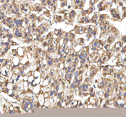
IHC staining of FFPE human liver cancer tissue with XDH antibody. HIER: boil tissue sections in pH8 EDTA for 20 min and allow to cool before testing.
Western blot testing of 1) rat liver, 2) mouse liver and 3) mouse lung tissue lysate with XDH antibody. Predicted molecular weight ~146 kDa.
Flow cytometry testing of fixed and permeabilized human RT4 cells with XDH antibody at 1ug/million cells (blocked with goat sera); Red=cells alone, Green=isotype control, Blue= XDH antibody.
Availability 1-3 days
Species Reactivity Human, Mouse, Rat
Format Antigen affinity purified
Host Rabbit
Clonality Polyclonal (rabbit origin)
Isotype Rabbit IgG
Purity Antigen affinity chromatography
Buffer Lyophilized from 1X PBS with 2% Trehalose
UniProt P47989
Localization Cytoplasmic, secreted
Applications Western Blot : 1-2ug/ml
Immunohistochemistry (FFPE) : 2-5ug/ml
Flow Cytometry : 1-3ug/million cells
ELISA : 0.1-0.5ug/ml
Limitations This XDH antibody is available for research use only.
Review this product on BioCompare and get a $20 Amazon gift card

Related Products

Description

XDH antibody targets Xanthine oxidoreductase, commonly referred to as Xanthine oxidase, encoded by the XDH gene. Xanthine oxidoreductase is a key enzyme in purine metabolism that catalyzes the sequential oxidation of hypoxanthine to xanthine and xanthine to uric acid. The protein exists in interconvertible functional forms, including xanthine dehydrogenase and xanthine oxidase, which differ in their electron acceptors and cellular redox impact. XDH is predominantly localized in the cytoplasm and is highly expressed in metabolically active tissues such as liver, intestine, and kidney, where purine catabolism is prominent.

Functionally, Xanthine oxidoreductase plays a central role in regulating purine turnover and uric acid production. The dehydrogenase form primarily uses NAD as an electron acceptor, whereas conversion to the oxidase form enables the transfer of electrons to molecular oxygen, generating reactive oxygen species. This functional plasticity allows XDH to participate not only in normal metabolic processes but also in redox signaling and oxidative stress responses. An XDH antibody supports studies focused on purine metabolism and redox biology.

XDH expression is tightly regulated by developmental stage, tissue type, and physiological conditions. In addition to its metabolic role, Xanthine oxidoreductase contributes to innate immune defense through production of reactive oxygen species and has been implicated in host responses to infection and tissue injury. Its activity and cellular localization can change in response to hypoxia, inflammation, and cellular stress, reflecting its integration into broader metabolic and signaling networks.

From a disease-relevance perspective, dysregulation of XDH activity has been linked to gout, hyperuricemia, cardiovascular disease, and inflammatory disorders. Excessive generation of uric acid or reactive oxygen species by Xanthine oxidase can contribute to oxidative damage and endothelial dysfunction. XDH has also been studied in cancer and metabolic disease contexts, where altered purine metabolism and redox balance support disease progression. These associations make XDH an important target in studies of metabolism-related pathology and oxidative stress mechanisms.

At the molecular level, Xanthine oxidoreductase is a multi-domain enzyme that binds several cofactors essential for catalytic activity. Post-translational modifications and proteolytic processing can influence the balance between dehydrogenase and oxidase forms and contribute to variable electrophoretic behavior on SDS-PAGE without implying changes in primary sequence. An XDH antibody supports research applications focused on metabolic regulation, oxidative stress, and disease-associated alterations in purine catabolism, with NSJ Bioreagents providing reagents intended for research use.

Application Notes

Optimal dilution of the XDH antibody should be determined by the researcher.

Immunogen

An E.coli-derived human recombinant protein (amino acids R439-R794) was used as the immunogen for the XDH antibody.

Storage

After reconstitution, the XDH antibody can be stored for up to one month at 4oC. For long-term, aliquot and store at -20oC. Avoid repeated freezing and thawing.

Cross
Bulk Quote Request Form
Name*:
Organization*:
Email*:
Phone Number*:
Catalog No.*:
Comments and Specifics(amount, formulation, etc.)*:
Validation code: Captchapackage Image


Can't read the image? click here to refresh.
    *required field

Your bulk quote request has been submitted successfully!

Please contact us if you have any questions.