• Tel: 858.663.9055
  • SeparatorEmail: info@nsjbio.com
  • Tel: 858.663.9055
  • Email: info@nsjbio.com
Home >> Antibodies >> Xanthine Oxidase Antibody

Xanthine Oxidase Antibody (R32912)

  Catalog No Formulation Size Price (USD)  
Image R32912 0.5mg/ml if reconstituted with 0.2ml sterile DI water 100 ug 449
Bulk quote request
Western blot testing of 1) rat liver and 2) mouse liver with Xanthine Oxidase antibody at 0.5ug/ml. Predicted molecular weight ~146 kDa.
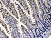
IHC testing of FFPE mouse intestine tissue with Xanthine Oxidase antibody at 1ug/ml. Required HIER: steam section in pH6 citrate buffer for 20 min and allow to cool prior to testing.
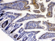
IHC testing of FFPE rat intestine tissue with Xanthine Oxidase antibody at 1ug/ml. Required HIER: steam section in pH6 citrate buffer for 20 min and allow to cool prior to testing.
Flow cytometry testing of human A431 cells with Xanthine Oxidase antibody at 1ug/million cells (blocked with goat sera); Red=cells alone, Green=isotype control, Blue= Xanthine Oxidase antibody.
Availability 1-3 business days
Species Reactivity Mouse, Rat
Predicted Reactivity Human
Format Antigen affinity purified
Host Rabbit
Clonality Polyclonal (rabbit origin)
Isotype Rabbit IgG
Purity Antigen affinity
Buffer Lyophilized from 1X PBS with 2.5% BSA, 0.025% sodium azide
UniProt P47989
Localization Cytoplasmic, secreted
Applications Western Blot : 0.5-1ug/ml
Immunohistochemistry (FFPE) : 1-2ug/ml
Flow Cytometry : 1-3ug/million cells
Limitations This Xanthine Oxidase antibody is available for research use only.
Review this product on BioCompare and get a $20 Amazon gift card

Related Products

Description

Xanthine dehydrogenase, also known as XDH, is a protein that, in humans, is encoded by the XDH gene. Xanthine dehydrogenase belongs to the group of molybdenum-containing hydroxylases involved in the oxidative metabolism of purines. The encoded protein has been identified as a moonlighting protein based on its ability to perform mechanistically distinct functions. Xanthine dehydrogenase can be converted to xanthine oxidase by reversible sulfhydryl oxidation or by irreversible proteolytic modification. Defects in xanthine dehydrogenase cause xanthinuria, may contribute to adult respiratory stress syndrome, and may potentiate influenza infection through an oxygen metabolite-dependent mechanism.

Application Notes

Optimal dilution of the Xanthine Oxidase antibody should be determined by the researcher.

Immunogen

A recombinant human protein corresponding to amino acids T2-K343 was used as the immunogen for the Xanthine Oxidase antibody.

Storage

After reconstitution, the Xanthine Oxidase antibody can be stored for up to one month at 4oC. For long-term, aliquot and store at -20oC. Avoid repeated freezing and thawing.

Cross
Bulk Quote Request Form
Name*:
Organization*:
Email*:
Phone Number*:
Catalog No.*:
Comments and Specifics(amount, formulation, etc.)*:
Validation code: Captchapackage Image


Can't read the image? click here to refresh.
    *required field

Your bulk quote request has been submitted successfully!

Please contact us if you have any questions.