• Tel: 858.663.9055
  • SeparatorEmail: info@nsjbio.com
  • Tel: 858.663.9055
  • Email: info@nsjbio.com
Home >> Antibodies >> X-ray repair cross-complementing 4 Antibody / XRCC4

X-ray repair cross-complementing 4 Antibody / XRCC4 (RQ7416)

  Catalog No Formulation Size Price (USD)  
Image RQ7416 0.5mg/ml if reconstituted with 0.2ml sterile DI water 100 ug 449
Bulk quote request
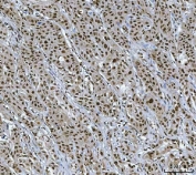
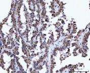
IHC staining of FFPE human ovarian cancer tissue with X-ray repair cross-complementing 4 antibody. HIER: boil tissue sections in pH8 EDTA for 20 min and allow to cool before testing.
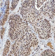
IHC staining of FFPE human breast duct carcinoma tissue with X-ray repair cross-complementing 4 antibody. HIER: boil tissue sections in pH8 EDTA for 20 min and allow to cool before testing.
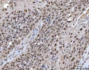
IHC staining of FFPE human lung squamous cell carcinoma tissue with X-ray repair cross-complementing 4 antibody. HIER: boil tissue sections in pH8 EDTA for 20 min and allow to cool before testing.
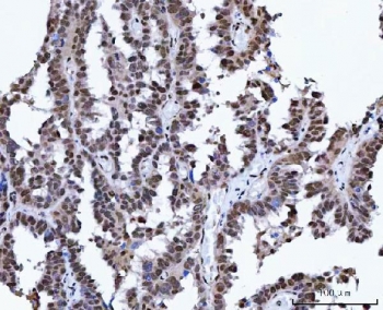
IHC staining of FFPE human colorectal adenocarcinoma tissue with X-ray repair cross-complementing 4 antibody. HIER: boil tissue sections in pH8 EDTA for 20 min and allow to cool before testing.
IHC staining of FFPE human penis squamous cell carcinoma tissue with X-ray repair cross-complementing 4 antibody. HIER: boil tissue sections in pH8 EDTA for 20 min and allow to cool before testing.
IHC staining of FFPE human liver cancer tissue with X-ray repair cross-complementing 4 antibody. HIER: boil tissue sections in pH8 EDTA for 20 min and allow to cool before testing.
Western blot testing of human 1) HepG2, 2) 293T and 3) A431 cell lysate with X-ray repair cross-complementing 4 antibody. Predicted molecular weight: 35-38/55 kDa (unmodified/phosphorylated).
Immunofluorescent staining of FFPE human colorectal adenocarcinoma tissue with X-ray repair cross-complementing 4 antibody. HIER: boil tissue sections in pH8 EDTA for 20 min and allow to cool before testing.
Immunofluorescent staining of FFPE human U-2 OS cells with X-ray repair cross-complementing 4 antibody (green) and DAPI nuclear stain (blue). HIER: steam section in pH6 citrate buffer for 20 min.
Flow cytometry testing of human 293T cells with X-ray repair cross-complementing 4 antibody at 1ug/million cells (blocked with goat sera); Red=cells alone, Green=isotype control, Blue= X-ray repair cross-complementing 4 antibody.
Availability 1-3 business days
Species Reactivity Human
Format Antigen affinity purified
Host Rabbit
Clonality Polyclonal (rabbit origin)
Isotype Rabbit IgG
Purity Antigen affinity purified
Buffer Lyophilized from 1X PBS with 2% Trehalose
UniProt Q13426
Localization Cytoplasmic, nuclear
Applications Western Blot : 0.5-1ug/ml
Immunohistochemistry (FFPE) : 2-5ug/ml
Immunofluorescence : 5ug/ml
Flow Cytometry : 1-3ug/million cells
Direct ELISA : 0.1-0.5ug/ml
Limitations This X-ray repair cross-complementing 4 antibody is available for research use only.
Review this product on BioCompare and get a $20 Amazon gift card

Related Products

  • Applications : WB, ELISA
    Reactivity : Human
  • Applications : WB, IHC-P
    Reactivity : Human
  • Applications : WB, IHC-P, FACS, Direct ELISA
    Reactivity : Mouse, Rat

Description

DNA repair protein XRCC4, also known as X-ray repair cross-complementing protein 4 or XRCC4, is a protein that in humans is encoded by the XRCC4 gene. In addition to humans, the XRCC4 protein is also expressed in many other metazoans, fungi and in plants. The X-ray repair cross-complementing protein 4 is one of several coreproteins involved in the non-homologous end joining (NHEJ) pathway to repair DNA double strand breaks(DSBs). Since XRCC4 is the key protein that enables interaction of LigIV to damaged DNA and therefore ligation of the ends, mutations in the XRCC4 gene were found to cause embryonic lethality in mice and developmental inhibition and immunodeficiency in humans. Furthermore, certain mutations in the XRCC4 gene are associated with an increased risk of cancer.

Application Notes

Optimal dilution of the X-ray repair cross-complementing 4 antibody should be determined by the researcher.

Immunogen

E. coli-derived recombinant human protein (amino acids M1-D255) was used as the immunogen for the X-ray repair cross-complementing 4 antibody.

Storage

After reconstitution, the X-ray repair cross-complementing 4 antibody can be stored for up to one month at 4oC. For long-term, aliquot and store at -20oC. Avoid repeated freezing and thawing.

Cross
Bulk Quote Request Form
Name*:
Organization*:
Email*:
Phone Number*:
Catalog No.*:
Comments and Specifics(amount, formulation, etc.)*:
Validation code: Captchapackage Image


Can't read the image? click here to refresh.
    *required field

Your bulk quote request has been submitted successfully!

Please contact us if you have any questions.