• Tel: 858.663.9055
  • SeparatorEmail: info@nsjbio.com
  • Tel: 858.663.9055
  • Email: info@nsjbio.com
Home >> Antibodies >> WT1-associated protein Antibody / WTAP

WT1-associated protein Antibody / WTAP [clone PCRP-WTAP-1A4] (V5193)

  Catalog No Formulation Size Price (USD)  
Image V5193-100UG 0.2 mg/ml in 1X PBS with 0.1 mg/ml BSA (US sourced), 0.05% sodium azide 100 ug 559
Image
V5193-20UG 0.2 mg/ml in 1X PBS with 0.1 mg/ml BSA (US sourced), 0.05% sodium azide 20 ug 259
Image
V5193SAF-100UG 1 mg/ml in 1X PBS; BSA free, sodium azide free 100 ug 559
Microvalidated
Bulk quote request
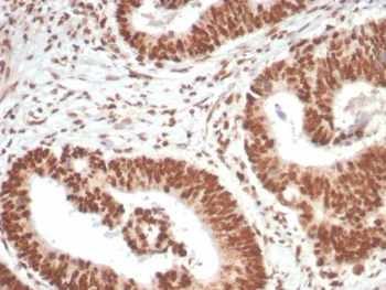
IHC staining of FFPE human colon carcinoma tissue with WT1-associated protein antibody (clone PCRP-WTAP-1A4). HIER: boil tissue sections in pH 9 10mM Tris with 1mM EDTA for 20 min and allow to cool before testing.
Flow cytometry testing of PFA-fixed human HeLa cells with WT1-associated protein antibody (clone PCRP-WTAP-1A4) followed by goat anti-mouse IgG-CF488 (blue); Red = unstained cells.
Analysis of a HuProt(TM) microarray containing more than 19,000 full-length human proteins using WT1-associated protein antibody (PCRP-WTAP-1A4). Z- and S- Score: The Z-score represents the strength of a signal that a monoclonal antibody (in combination with a fluorescently-tagged anti-IgG secondary antibody) produces when binding to a particular protein on the HuProt(TM) array. Z-scores are described in units of standard deviations (SD's) above the mean value of all signals generated on that array. If targets on HuProt(TM) are arranged in descending order of the Z-score, the S-score is the difference (also in units of SD's) between the Z-score. S-score therefore represents the relative target specificity of a mAb to its intended target. A mAb is considered to specific to its intended target, if the mAb has an S-score of at least 2.5. For example, if a mAb binds to protein X with a Z-score of 43 and to protein Y with a Z-score of 14, then the S-score for the binding of that mAb to protein X is equal to 29.
Availability 1-3 business days
Species Reactivity Human
Format Purified
Host Mouse
Clonality Monoclonal (mouse origin)
Isotype Mouse IgG2b, kappa
Clone Name PCRP-WTAP-1A4
Purity Protein A/G affinity
UniProt Q15007
Localization Nucleus
Applications Flow Cytometry : 1-2ug/million cells
Immunohistochemistry (FFPE) : 1-2ug/ml for 30 min at RT
Limitations This WT1-associated protein antibody is available for research use only.
Review this product on BioCompare and get a $20 Amazon gift card

Description

Wilms tumor (WT) is an embryonal malignancy of the kidney that affects 1 in 10,000 infants and is observed in both sporadic and inherited forms. The Wilms tumor protein (WT1) binds the DNA sequence GCGGGGGCG, a recognition element common to the early growth response (Egr) family of Zn2+ finger transcriptional activators, and functions as a transcriptional repressor. WTAP (wilms tumor 1-associating protein) is a ubiquitously expressed nuclear protein that interacts with WT1 and may be involved in regulating mRNA splicing. WTAP is found in nuclear speckles, where it regulates the G2/M cell cycle transition by binding to the 3' UTR of cyclin A2, thus enhancing its stability. Additionally, WTAP inhibits expression of WT1 target genes and is able to impair the ability of WT1 to bind DNA. Two isoforms of WTAP exist due to alternative splicing events.

Application Notes

Optimal dilution of the WT1-associated protein antibody should be determined by the researcher.

Immunogen

Recombinant full-length human protein was used as the immunogen for the WT1-associated protein antibody.

Storage

Aliquot the WT1-associated protein antibody and store frozen at -20oC or colder. Avoid repeated freeze-thaw cycles.

Cross
Bulk Quote Request Form
Name*:
Organization*:
Email*:
Phone Number*:
Catalog No.*:
Comments and Specifics(amount, formulation, etc.)*:
Validation code: Captchapackage Image


Can't read the image? click here to refresh.
    *required field

Your bulk quote request has been submitted successfully!

Please contact us if you have any questions.