• Tel: 858.663.9055
  • SeparatorEmail: info@nsjbio.com
  • Tel: 858.663.9055
  • Email: info@nsjbio.com
Home >> Antibodies >> WNT5A Antibody

WNT5A Antibody (F49280)

  Catalog No Formulation Size Price (USD)  
Image F49280-0.2ML In 1X PBS, pH 7.4, with 0.09% sodium azide 0.2 ml 439
Image
F49280-0.05ML In 1X PBS, pH 7.4, with 0.09% sodium azide 0.05 ml 205
Bulk quote request
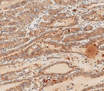
IHC staining of FFPE human thyroid carcinoma with WNT5A antibody. HIER: boil tissue sections in pH 9 EDTA for 20 min and allow to cool before testing.
IHC staining of FFPE human lung carcinoma with WNT5A antibody. HIER: boil tissue sections in pH6, 10mM citrate buffer, for 20 min and allow to cool before testing.
Western blot testing of 1) human heart, 2) human PANC-1, 3) mouse heart and 4) rat heart lysate with WNT5A antibody. Predicted molecular weight ~41 kDa, commonly observed at 41-45 kDa.
Western blot testing of 1) human HeLa, 2) mouse brain, 3) mouse heart and 4) human PANC-1 lysate with WNT5A antibody. Predicted molecular weight ~41 kDa, commonly observed at 41-45 kDa.
WNT5A antibody flow cytometric analysis of HeLa cells (green) compared to a negative control (blue). FITC-conjugated goat-anti-rabbit secondary Ab was used for the analysis.
Availability 1-3 business days
Species Reactivity Human
Predicted Reactivity Mouse, Rat, Rabbit
Format Antigen affinity purified
Host Rabbit
Clonality Polyclonal (rabbit origin)
Isotype Rabbit Ig
Purity Antigen affinity
UniProt P41221
Applications Western Blot : 1:1000
IHC (Paraffin) : 1:50-1:100
Flow Cytometry : 1:10-1:50
Limitations This WNT5A antibody is available for research use only.
Review this product on BioCompare and get a $20 Amazon gift card

Related Products

  • Applications : WB, IHC-P
    Reactivity : Human, Mouse, Rat
  • Applications : WB, ELISA
    Reactivity : Human

Description

The WNT gene family consists of structurally related genes which encode secreted signaling proteins. These proteins have been implicated in oncogenesis and in several developmental processes, including regulation of cell fate and patterning during embryogenesis. This gene is a member of the WNT gene family. It encodes a protein which shows 98%, 98% and 87% amino acid identity to the mouse, rat and the xenopus Wnt5A protein, respectively. The experiments performed in Xenopus laevis embryos identified that human frizzled-5 (hFz5) is the receptor for the Wnt5A ligand and the Wnt5A/hFz5 signaling mediates axis induction. [provided by RefSeq].

Application Notes

Titration of the WNT5A antibody may be required due to differences in protocols and secondary/substrate sensitivity.

Immunogen

A portion of amino acids 185-213 from the human protein was used as the immunogen for this WNT5A antibody.

Storage

Aliquot the WNT5A antibody and store frozen at -20oC or colder. Avoid repeated freeze-thaw cycles.

Cross
Bulk Quote Request Form
Name*:
Organization*:
Email*:
Phone Number*:
Catalog No.*:
Comments and Specifics(amount, formulation, etc.)*:
Validation code: Captchapackage Image


Can't read the image? click here to refresh.
    *required field

Your bulk quote request has been submitted successfully!

Please contact us if you have any questions.