• Tel: 858.663.9055
  • SeparatorEmail: info@nsjbio.com
  • Tel: 858.663.9055
  • Email: info@nsjbio.com
Home >> Antibodies >> WNK1 Antibody

WNK1 Antibody (R32386)

  Catalog No Formulation Size Price (USD)  
Image R32386 0.5mg/ml if reconstituted with 0.2ml sterile DI water 100 ug 449
Bulk quote request
Western blot testing of rat testis lysate with WNK1 antibody. Expected molecular weight: 206-300 kDa (6 isoforms).
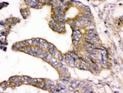
IHC testing of FFPE human intestinal cancer tissue with WNK1 antibody. HIER: Boil the paraffin sections in pH 6, 10mM citrate buffer for 20 minutes and allow to cool prior to testing.
IHC testing of FFPE mouse testis with WNK1 antibody. HIER: Boil the paraffin sections in pH 6, 10mM citrate buffer for 20 minutes and allow to cool prior to testing.
IHC testing of FFPE rat testis with WNK1 antibody. HIER: Boil the paraffin sections in pH 6, 10mM citrate buffer for 20 minutes and allow to cool prior to testing.
Availability 1-3 business days
Species Reactivity Human, Mouse, Rat
Format Antigen affinity purified
Host Rabbit
Clonality Polyclonal (rabbit origin)
Isotype Rabbit IgG
Purity Antigen affinity
Buffer Lyophilized from 1X PBS with 2.5% BSA and 0.025% sodium azide
UniProt Q9H4A3
Localization Cytoplasmic
Applications Western Blot : 0.1-0.5ug/ml
IHC (FFPE) : 0.5-1ug/ml
Limitations This WNK1 antibody is available for research use only.
Review this product on BioCompare and get a $20 Amazon gift card

Description

WNK lysine deficient protein kinase 1, also known as WNK1, is an enzyme that in humans is encoded by the WNK1 gene. The human gene is located on short arm of chromosome 12 (12p13.3). This gene encodes a member of the WNK subfamily of serine/threonine protein kinases. The encoded protein may be a key regulator of blood pressure by controlling the transport of sodium and chloride ions. Mutations in this gene have been associated with pseudohypoaldosteronism type II and hereditary sensory neuropathy type II. Alternatively spliced transcript variants encoding different isoforms have been described but the full-length nature of all of them has yet to be determined.

Application Notes

Optimal dilution of the WNK1 antibody should be determined by the researcher.

Immunogen

Amino acids DNPEEIATIMVNNDFILAIERESFVDQVREIIEKADEMLSED from the human protein were used as the immunogen for the WNK1 antibody.

Storage

After reconstitution, the WNK1 antibody can be stored for up to one month at 4oC. For long-term, aliquot and store at -20oC. Avoid repeated freezing and thawing.

Cross
Bulk Quote Request Form
Name*:
Organization*:
Email*:
Phone Number*:
Catalog No.*:
Comments and Specifics(amount, formulation, etc.)*:
Validation code: Captchapackage Image


Can't read the image? click here to refresh.
    *required field

Your bulk quote request has been submitted successfully!

Please contact us if you have any questions.