• Tel: 858.663.9055
  • SeparatorEmail: info@nsjbio.com
  • Tel: 858.663.9055
  • Email: info@nsjbio.com
Home >> Antibodies >> WFDC2 Antibody / HE4

WFDC2 Antibody / HE4 (R32930)

  Catalog No Formulation Size Price (USD)  
Image R32930 0.5mg/ml if reconstituted with 0.2ml sterile DI water 100 ug 449
Bulk quote request
Western blot testing of 1) rat testis, 2) rat brain, 3) rat thymus, 4) mouse testis, 5) mouse brain, 6) mouse thymus and 7) mouse HEPA1-6 lysate with WFDC2 antibody at 0.5ug/ml. Expected molecular weight: 13-25 kDa, depending on glycosylation level.
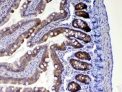
IHC testing of FFPE mouse small intestine tissue with WFDC2 antibody at 1ug/ml. Required HIER: steam section in pH6 citrate buffer for 20 min and allow to cool prior to testing.
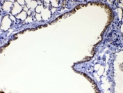
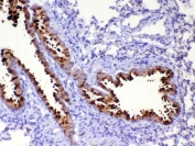
IHC testing of FFPE mouse lung tissue with WFDC2 antibody at 1ug/ml. Required HIER: steam section in pH6 citrate buffer for 20 min and allow to cool prior to testing.
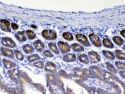
IHC testing of FFPE rat small intestine tissue with WFDC2 antibody at 1ug/ml. Required HIER: steam section in pH6 citrate buffer for 20 min and allow to cool prior to testing.
IHC testing of FFPE rat lung tissue with WFDC2 antibody at 1ug/ml. Required HIER: steam section in pH6 citrate buffer for 20 min and allow to cool prior to testing.
IHC testing of FFPE rat kidney tissue with WFDC2 antibody at 1ug/ml. Required HIER: steam section in pH6 citrate buffer for 20 min and allow to cool prior to testing.
Availability 1-3 business days
Species Reactivity Mouse, Rat
Format Antigen affinity purified
Host Rabbit
Clonality Polyclonal (rabbit origin)
Isotype Rabbit IgG
Purity Antigen affinity
Buffer Lyophilized from 1X PBS with 2% Trehalose and 0.025% sodium azide
UniProt Q8CHN3
Localization Cytoplasmic, secreted
Applications Western Blot : 0.5-1ug/ml
Immunohistochemistry (FFPE) : 1-2ug/ml
Limitations This WFDC2 antibody is available for research use only.
Review this product on BioCompare and get a $20 Amazon gift card

Related Products

  • Applications : WB (transfected), ELISA (peptide)
    Reactivity : Human
    Pred. Reactivity : Dog
  • Applications : WB, ELISA
    Reactivity : Human
  • Applications : WB, IHC-P, ELISA
    Reactivity : Human, Mouse, Rat

Description

WAP four-disulfide core domain protein 2, also known as Human Epididymis Protein 4 (HE4), is a protein that in humans is encoded by the WFDC2 gene. This gene encodes a protein that is a member of the WFDC domain family. The WFDC domain, or WAP Signature motif, contains eight cysteines forming four disulfide bonds at the core of the protein, and functions as a protease inhibitor in many family members. This gene is expressed in pulmonary epithelial cells, and was also found to be expressed in some ovarian cancers. The encoded protein is a small secretory protein, which may be involved in sperm maturation.

Application Notes

Optimal dilution of the WFDC2 antibody should be determined by the researcher.

Immunogen

A recombinant rat protein corresponding to amino acids E31-F168 was used as the immunogen for the WFDC2 antibody.

Storage

After reconstitution, the WFDC2 antibody can be stored for up to one month at 4oC. For long-term, aliquot and store at -20oC. Avoid repeated freezing and thawing.

Cross
Bulk Quote Request Form
Name*:
Organization*:
Email*:
Phone Number*:
Catalog No.*:
Comments and Specifics(amount, formulation, etc.)*:
Validation code: Captchapackage Image


Can't read the image? click here to refresh.
    *required field

Your bulk quote request has been submitted successfully!

Please contact us if you have any questions.