• Tel: 858.663.9055
  • SeparatorEmail: info@nsjbio.com
  • Tel: 858.663.9055
  • Email: info@nsjbio.com
Home >> Antibodies >> WFDC1 Antibody

WFDC1 Antibody (F54651)

  Catalog No Formulation Size Price (USD)  
Image F54651-0.4ML In 1X PBS, pH 7.4, with 0.09% sodium azide 0.4 ml 439
Image
F54651-0.08ML In 1X PBS, pH 7.4, with 0.09% sodium azide 0.08 ml 205
Bulk quote request
IHC testing of FFPE human prostate tissue with WFDC1 antibody. HIER: steam section in pH9 EDTA for 20 min and allow to cool prior to staining.
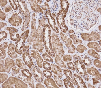
IHC testing of FFPE human kidney tissue with WFDC1 antibody. HIER: steam section in pH9 EDTA for 20 min and allow to cool prior to staining.
Western blot testing of human SK-BR-3 cell lysate with WFDC1 antibody. Predicted molecular weight ~23 kDa.
Flow cytometry testing of human HeLa cells with WFDC1 antibody; Blue=isotype control, Green= WFDC1 antibody.
Availability 1-3 business days
Species Reactivity Human
Format Purified
Host Rabbit
Clonality Polyclonal (rabbit origin)
Isotype Rabbit Ig
Purity Antigen affinity purified
UniProt Q9HC57
Applications Immunohistochemistry (FFPE) : 1:25
Western Blot : 1:500-1:2000
Flow Cytometry : 1:25 (1x10e6 cells)
Limitations This WFDC1 antibody is available for research use only.
Review this product on BioCompare and get a $20 Amazon gift card

Related Products

  • Applications : WB, ELISA (peptide)
    Reactivity : Mouse
    Pred. Reactivity : Rat

Description

This gene encodes a member of the WAP-type four disulfide core domain family. The WAP-type four-disulfide core domain, or WAP signature motif, contains eight cysteines forming four disulfide bonds at the core of the protein, and functions as a protease inhibitor in many family members. The encoded protein shares 81% amino acid identity with the rat ps20 protein, which was originally identified as a secreted growth inhibitor. This gene is mapped to chromosome 16q24, an area of frequent loss of heterozygosity in cancers, including prostate, breast and hepatocellular cancers and Wilms' tumor. Owing to its location and a possible growth inhibitory property of its gene product, this gene is suggested to be a tumor suppressor gene.

Application Notes

The stated application concentrations are suggested starting points. Titration of the WFDC1 antibody may be required due to differences in protocols and secondary/substrate sensitivity.

Immunogen

A portion of amino acids 148-177 from the human protein was used as the immunogen for the WFDC1 antibody.

Storage

Aliquot the WFDC1 antibody and store frozen at -20oC or colder. Avoid repeated freeze-thaw cycles.

Cross
Bulk Quote Request Form
Name*:
Organization*:
Email*:
Phone Number*:
Catalog No.*:
Comments and Specifics(amount, formulation, etc.)*:
Validation code: Captchapackage Image


Can't read the image? click here to refresh.
    *required field

Your bulk quote request has been submitted successfully!

Please contact us if you have any questions.