• Tel: 858.663.9055
  • SeparatorEmail: info@nsjbio.com
  • Tel: 858.663.9055
  • Email: info@nsjbio.com
Home >> Antibodies >> WDR7 Antibody / WD repeat-containing protein 7

WDR7 Antibody / WD repeat-containing protein 7 (RQ7556)

  Catalog No Formulation Size Price (USD)  
Image RQ7556 0.5mg/ml if reconstituted with 0.2ml sterile DI water 100 ug 449
Bulk quote request
IHC staining of FFPE mouse brain tissue with WDR7 antibody. HIER: boil tissue sections in pH8 EDTA for 20 min and allow to cool before testing.
IHC staining of FFPE rat brain tissue with WDR7 antibody. HIER: boil tissue sections in pH8 EDTA for 20 min and allow to cool before testing.
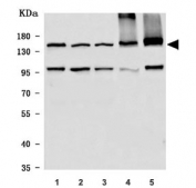
Western blot testing of 1) human Daudi, 2) human MOLT4, 3) human HEL, 4) rat brain and 5) mouse brain tissue lysate with WDR7 antibody. Predicted molecular weight ~164 kDa.
Flow cytometry testing of human U-2 OS cells with WDR7 antibody at 1ug/million cells (blocked with goat sera); Red=cells alone, Green=isotype control, Blue= WDR7 antibody.
Availability 1-3 business days
Species Reactivity Human, Mouse, Rat
Format Antigen affinity purified
Host Rabbit
Clonality Polyclonal (rabbit origin)
Isotype Rabbit IgG
Purity Antigen affinity purified
Buffer Lyophilized from 1X PBS with 2% Trehalose
UniProt Q9Y4E6
Localization Cytoplasmic
Applications Western Blot : 0.5-1ug/ml
Immunohistochemistry (FFPE) : 2-5ug/ml
Flow Cytometry : 1-3ug/million cells
Direct ELISA : 0.1-0.5ug/ml
Limitations This WDR7 antibody is available for research use only.
Review this product on BioCompare and get a $20 Amazon gift card

Description

This gene encodes a member of the WD repeat protein family. WD repeats are minimally conserved regions of approximately 40 amino acids typically bracketed by gly-his and trp-asp (GH-WD) that may facilitate formation of heterotrimeric or multiprotein complexes. Members of this family are involved in a variety of cellular processes, including cell cycle progression, signal transduction, apoptosis, and gene regulation. The encoded protein forms the beta subunit of rabconnectin-3 and binds directly with Rab3A GDP/GTP exchange protein and indirectly with Rab3A GDP/GTP activating protein; these proteins are regulators of Rab3 small G protein family members involved in control of the calcium-dependant exocytosis of neurotransmitters. Alternatively spliced transcript variants encoding different isoforms have been described.

Application Notes

Optimal dilution of the WDR7 antibody should be determined by the researcher.

Immunogen

E. coli-derived recombinant human protein (amino acids Q258-Q1292) was used as the immunogen for the WDR7 antibody.

Storage

After reconstitution, the WDR7 antibody can be stored for up to one month at 4oC. For long-term, aliquot and store at -20oC. Avoid repeated freezing and thawing.

Cross
Bulk Quote Request Form
Name*:
Organization*:
Email*:
Phone Number*:
Catalog No.*:
Comments and Specifics(amount, formulation, etc.)*:
Validation code: Captchapackage Image


Can't read the image? click here to refresh.
    *required field

Your bulk quote request has been submitted successfully!

Please contact us if you have any questions.