• Tel: 858.663.9055
  • SeparatorEmail: info@nsjbio.com
  • Tel: 858.663.9055
  • Email: info@nsjbio.com
Home >> Antibodies >> WAPL Antibody / FOE / Wings apart-like protein homolog

WAPL Antibody / FOE / Wings apart-like protein homolog (RQ6911)

  Catalog No Formulation Size Price (USD)  
Image RQ6911 0.5mg/ml if reconstituted with 0.2ml sterile DI water 100 ug 449
Bulk quote request
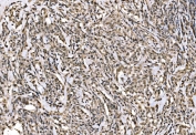
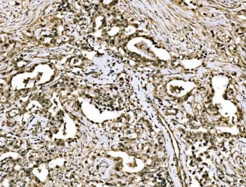
IHC staining of FFPE human stomach cancer tissue with WAPL antibody. HIER: boil tissue sections in pH8 EDTA for 20 min and allow to cool before testing.
IHC staining of FFPE human lymphoma tissue with WAPL antibody. HIER: boil tissue sections in pH8 EDTA for 20 min and allow to cool before testing.
IHC staining of FFPE human tonsil tissue with WAPL antibody. HIER: boil tissue sections in pH8 EDTA for 20 min and allow to cool before testing.
IHC staining of FFPE mouse colon tissue with WAPL antibody. HIER: boil tissue sections in pH8 EDTA for 20 min and allow to cool before testing.
Immunofluorescent staining of FFPE human T-47D cells with WAPL antibody. HIER: steam section in pH6 citrate buffer for 20 min.
Western blot testing of 1) human HeLa, 2) human 293T, 3) human HepG2, 4) rat L6 and 5) mouse C2C12 cell lysate with WAPL antibody. Predicted molecular weight: 133-143 kDa but can be observed at 160-180 kDa due to phosphorylation.
Flow cytometry testing of human A431 cells with WAPL antibody at 1ug/million cells (blocked with goat sera); Red=cells alone, Green=isotype control, Blue= WAPL antibody.
Availability 1-3 business days
Species Reactivity Human, Mouse, Rat
Format Antigen affinity purified
Host Rabbit
Clonality Polyclonal (rabbit origin)
Isotype Rabbit IgG
Purity Antigen affinity purified
Buffer Lyophilized from 1X PBS with 2% Trehalose
UniProt Q7Z5K2
Localization Nuclear, cytoplasmic
Applications Western Blot : 1-2ug/ml
Immunohistochemistry (FFPE) : 2-5ug/ml
Immunofluorescence (FFPE) : 5ug/ml
Flow Cytometry : 1-3ug/million cells
Direct ELISA : 0.1-0.5ug/ml
Limitations This WAPL antibody is available for research use only.
Review this product on BioCompare and get a $20 Amazon gift card

Description

WAPL (wings apart-like), also known as WAPAL or FOE, is a 1,190 amino acid protein that contains one WAPL domain and may play an important role in cell growth. It is expressed in an isoform dependent manner in heart, skeletal muscle (isoform 2) and uterine cervix tumor tissue (isoform 1). WAPL is involved in sister-chromatid adhesion and promotes release of cohesin from chromosomes by directly interacting with its regulatory subunits. WAPL is a new regulator of the development and metastasis of cancerous tissue.

Application Notes

Optimal dilution of the WAPL antibody should be determined by the researcher.

Immunogen

Recombinant human protein (amino acids Q916-C1190) was used as the immunogen for the WAPL antibody.

Storage

After reconstitution, the WAPL antibody can be stored for up to one month at 4oC. For long-term, aliquot and store at -20oC. Avoid repeated freezing and thawing.

Cross
Bulk Quote Request Form
Name*:
Organization*:
Email*:
Phone Number*:
Catalog No.*:
Comments and Specifics(amount, formulation, etc.)*:
Validation code: Captchapackage Image


Can't read the image? click here to refresh.
    *required field

Your bulk quote request has been submitted successfully!

Please contact us if you have any questions.