• Tel: 858.663.9055
  • SeparatorEmail: info@nsjbio.com
  • Tel: 858.663.9055
  • Email: info@nsjbio.com
Home >> Antibodies >> WAC Antibody

WAC Antibody (RQ5927)

  Catalog No Formulation Size Price (USD)  
Image RQ5927 0.5mg/ml if reconstituted with 0.2ml sterile DI water 100 ug 449
Bulk quote request
Immunofluorescent staining of FFPE human A431 cells with WAC antibody (red) and DAPI nuclear stain (blue). HIER: steam section in pH6 citrate buffer for 20 min.
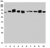
Western blot testing of human 1) A431, 2) ThP-1, 3) Raji, 4) K562, 5) U-2 OS, 6) SK-O-V3, 7) rat brain, 8) rat PC-12, 9) mouse thymus and 10) mouse SP2/0 lysate with WAC antibody. Expected molecular weight: 70-80 kDa.
Flow cytometry testing of human HepG2 cells with WAC antibody at 1ug/million cells (blocked with goat sera); Red=cells alone, Green=isotype control, Blue= WAC antibody.
Availability 1-3 business days
Species Reactivity Human, Mouse, Rat
Format Antigen affinity purified
Host Rabbit
Clonality Polyclonal (rabbit origin)
Isotype Rabbit IgG
Purity Affinity purified
Buffer Lyophilized from 1X PBS with 2% Trehalose and 0.025% sodium azide
UniProt Q9BTA9
Applications Western Blot : 0.5-1ug/ml
Immunofluorescence : 2-4ug/ml
Flow Cytometry : 1-3ug/million cells
Direct ELISA : 0.1-0.5ug/ml
Limitations This WAC antibody is available for research use only.
Review this product on BioCompare and get a $20 Amazon gift card

Description

The protein encoded by this gene contains a WW domain, which is a protein module found in a wide range of signaling proteins. This domain mediates protein-protein interactions and binds proteins containing short linear peptide motifs that are proline-rich or contain at least one proline. This gene product shares 94% sequence identity with the WAC protein in mouse, however, its exact function is not known. Alternative splicing results in multiple transcript variants.

Application Notes

Optimal dilution of the WAC antibody should be determined by the researcher.

Immunogen

Recombinant human protein (amino acids Q459-V647) was used as the immunogen for the WAC antibody.

Storage

After reconstitution, the WAC antibody can be stored for up to one month at 4oC. For long-term, aliquot and store at -20oC. Avoid repeated freezing and thawing.

Cross
Bulk Quote Request Form
Name*:
Organization*:
Email*:
Phone Number*:
Catalog No.*:
Comments and Specifics(amount, formulation, etc.)*:
Validation code: Captchapackage Image


Can't read the image? click here to refresh.
    *required field

Your bulk quote request has been submitted successfully!

Please contact us if you have any questions.