• Tel: 858.663.9055
  • SeparatorEmail: info@nsjbio.com
  • Tel: 858.663.9055
  • Email: info@nsjbio.com
Home >> Antibodies >> VPS4B Antibody / MIG1

VPS4B Antibody / MIG1 (RQ6020)

  Catalog No Formulation Size Price (USD)  
Image RQ6020 0.5mg/ml if reconstituted with 0.2ml sterile DI water 100 ug 449
Bulk quote request
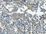
IHC staining of FFPE human lung cancer with VPS4B antibody. HIER: boil tissue sections in pH8 EDTA for 20 min and allow to cool before testing.
IHC staining of FFPE human lung cancer with VPS4B antibody. HIER: boil tissue sections in pH8 EDTA for 20 min and allow to cool before testing.
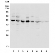
Western blot testing of human 1) HeLa, 2) HEK293, 3) Jurkat, 4) SK-O-V3, 5) rat kidney, 6) rat PC-3, 7) mouse brain and 8) mouse NIH 3T3 lysate with VPS4B antibody. Predicted molecular weight ~49 kDa.
Flow cytometry testing of human A431 cells with VPS4B antibody at 1ug/million cells (blocked with goat sera); Red=cells alone, Green=isotype control, Blue= VPS4B antibody.
Availability 1-3 business days
Species Reactivity Human, Mouse, Rat
Format Antigen affinity purified
Host Rabbit
Clonality Polyclonal (rabbit origin)
Isotype Rabbit IgG
Purity Affinity purified
Buffer Lyophilized from 1X PBS with 2% Trehalose and 0.025% sodium azide
UniProt O75351
Localization Cytoplasmic
Applications Western Blot : 0.5-1ug/ml
Immunohistochemistry : 1-2ug/ml
Flow Cytometry : 1-3ug/million cells
Direct ELISA : 0.1-0.5ug/ml
Limitations This VPS4B antibody is available for research use only.
Review this product on BioCompare and get a $20 Amazon gift card

Description

Vacuolar protein sorting-associated protein 4B is a protein that in humans is encoded by the VPS4B gene. It is mapped to 18q21.33. The protein encoded by this gene is a member of the AAA protein family (ATPases associated with diverse cellular activities), and is the homolog of the yeast Vps4 protein. In humans, two paralogs of the yeast protein have been identified. The former share a high degree of aa sequence similarity with each other, and also with yeast Vps4 and mouse Skd1 proteins. Mouse Skd1 (suppressor of K+ transport defect 1) has been shown to be a yeast Vps4 ortholog. Functional studies indicate that both human paralogs associate with the endosomal compartments, and are involved in intracellular protein trafficking, similar to Vps4 protein in yeast. The gene encoding this paralog has been mapped to chromosome 18; the gene for the other resides on chromosome 16.

Application Notes

Optimal dilution of the VPS4B antibody should be determined by the researcher.

Immunogen

Recombinant human protein (amino acids M1-K85) was used as the immunogen for the VPS4B antibody.

Storage

After reconstitution, the VPS4B antibody can be stored for up to one month at 4oC. For long-term, aliquot and store at -20oC. Avoid repeated freezing and thawing.

Cross
Bulk Quote Request Form
Name*:
Organization*:
Email*:
Phone Number*:
Catalog No.*:
Comments and Specifics(amount, formulation, etc.)*:
Validation code: Captchapackage Image


Can't read the image? click here to refresh.
    *required field

Your bulk quote request has been submitted successfully!

Please contact us if you have any questions.