• Tel: 858.663.9055
  • SeparatorEmail: info@nsjbio.com
  • Tel: 858.663.9055
  • Email: info@nsjbio.com
Home >> Antibodies >> VPS28 Antibody

VPS28 Antibody (R33986)

  Catalog No Formulation Size Price (USD)  
Image R33986-100UG 0.5 mg/ml in 1X TBS, pH7.3, with 0.5% BSA (US sourced) and 0.02% sodium azide 100 ug 475
Bulk quote request
Western blot testing of human testis lysate with VSP28 antibody at 1ug/ml. Predicted molecular weight: ~25kDa.
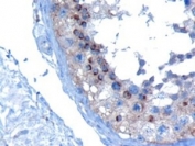
IHC staining of FFPE human testis with VSP28 antibody at 10ug/ml. HIER: steamed with pH9 Tris/EDTA buffer, HRP-staining.
Availability 1-3 business days
Species Reactivity Human
Predicted Reactivity Dog, Mouse, Pig, Rat
Format Antigen affinity purified
Host Goat
Clonality Polyclonal (goat origin)
Isotype Goat Ig
Purity Antigen affinity
Gene ID 51160
Applications Western Blot : 1-3ug/ml
Immunohistochemistry (FFPE) : 10-15ug/ml
ELISA (peptide) LOD : 1:1000
Limitations This VPS28 antibody is available for research use only.
Review this product on BioCompare and get a $20 Amazon gift card

Description

Additional name(s) for this target protein: Vacuolar protein sorting 28

Application Notes

Optimal dilution of the VPS28 antibody should be determined by the researcher.

1. This VPS28 antibody will detect isoform 1 of the protein.

Immunogen

Amino acids ESAYNAFNRFLHA were used as the immunogen for this VPS28 antibody.

Storage

Aliquot and store the VPS28 antibody at -20oC.

Cross
Bulk Quote Request Form
Name*:
Organization*:
Email*:
Phone Number*:
Catalog No.*:
Comments and Specifics(amount, formulation, etc.)*:
Validation code: Captchapackage Image


Can't read the image? click here to refresh.
    *required field

Your bulk quote request has been submitted successfully!

Please contact us if you have any questions.