• Tel: 858.663.9055
  • SeparatorEmail: info@nsjbio.com
  • Tel: 858.663.9055
  • Email: info@nsjbio.com
Home >> Antibodies >> von Willebrand Factor Antibody / Tumor Vasculature Marker Antibody

von Willebrand Factor Antibody / Tumor Vasculature Marker Antibody [clone VWF/7979R] (V4261)

  Catalog No Formulation Size Price (USD)  
Image V4261-100UG 0.2 mg/ml in 1X PBS with 0.1 mg/ml BSA (US sourced), 0.05% sodium azide 100 ug 559
Image
V4261-20UG 0.2 mg/ml in 1X PBS with 0.1 mg/ml BSA (US sourced), 0.05% sodium azide 20 ug 259
Image
V4261SAF-100UG 1 mg/ml in 1X PBS; BSA free, sodium azide free 100 ug 559
Microvalidated Recrabbitmono
Bulk quote request
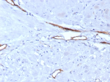
von Willebrand Factor Antibody / Tumor Vasculature Marker Antibody. Immunohistochemistry analysis of human uterus tissue shows HRP-DAB brown staining of endothelial cells lining vascular channels within stromal regions, forming elongated and irregular vessel structures embedded in the tissue microenvironment. The staining pattern emphasizes tumor-associated vascular architecture, with clearly defined endothelial linings outlining small vessels and branching channels distinct from surrounding stromal and smooth muscle cells. Clone VWF/7979R enables visualization of vascular distribution and vessel morphology within uterine tissue. HIER: boil tissue sections in pH 9 10mM Tris with 1mM EDTA for 20 min and allow to cool before testing.
SDS-PAGE analysis of purified, BSA-free vWF/von Willebrand Factor antibody (clone VWF/7979R) as confirmation of integrity and purity.
Availability 1-3 business days
Species Reactivity Human
Format Purified
Host Rabbit
Clonality Recombinant Rabbit Monoclonal
Isotype Rabbit IgG, kappa
Clone Name VWF/7979R
Purity Protein A/G affinity
UniProt P04275
Localization Secreted, Cytoplasm
Applications Immunohistochemistry (FFPE) : 1-2ug/ml for 30 minutes at RT
Limitations This von Willebrand Factor antibody is available for research use only.
Review this product on BioCompare and get a $20 Amazon gift card

Related Products

Description

Von Willebrand factor (VWF) is a secreted glycoprotein encoded by the VWF gene and synthesized primarily by vascular endothelial cells and megakaryocytes. von Willebrand Factor Antibody / Tumor Vasculature Marker Antibody recognizes a protein that is highly enriched in endothelial cells, making it especially valuable for identifying blood vessels within neoplastic tissue. VWF antibody, also referred to as von Willebrand factor antibody or factor VIII-related antigen antibody, is widely used in cancer research to visualize tumor-associated vascular structures and distinguish endothelial-lined vessels from surrounding tumor and stromal compartments.

In tumor biology, the vascular network is a defining structural and functional component of the tumor microenvironment. Tumor-associated vessels often display irregular morphology, including variable diameter, discontinuous lining, abnormal branching, and uneven spatial distribution. von Willebrand Factor Antibody is particularly effective for highlighting these endothelial-lined structures, enabling clear visualization of blood vessels embedded within malignant tissue. This allows investigators to map vascular distribution across tumors and examine how vessel organization relates to tumor architecture and cellular composition.

At the cellular level, VWF is localized within Weibel-Palade bodies in endothelial cells, providing a distinct intracellular reservoir that supports consistent detection. Because tumor vasculature arises from endothelial cells that retain key lineage characteristics, VWF expression remains a dependable marker even within the altered microenvironment of cancer. This makes it possible to identify vascular linings across a wide range of tumor types, including those with highly disorganized or heterogeneous vascular patterns.

Although VWF plays an established role in hemostasis by mediating platelet adhesion and stabilizing factor VIII, its primary value in oncology-focused studies lies in its ability to define vascular compartments. Tumor growth depends on access to blood supply, and the presence, density, and organization of vessels can provide important insight into tumor structure and behavior. von Willebrand Factor Antibody supports these analyses by enabling direct visualization of endothelial cells that form the physical framework of tumor vasculature.

Within tumor tissue sections, VWF staining highlights endothelial cells lining vascular channels that traverse tumor nests, stromal regions, and interface zones between malignant and non-malignant tissue. This allows clear separation of vascular elements from tumor cells, fibroblasts, and inflammatory infiltrates, improving interpretation of tissue organization. The ability to identify these vessel-associated structures is particularly important in studies examining tumor architecture, vascular distribution, and the relationship between blood supply and regional tumor features.

von Willebrand Factor Antibody / Tumor Vasculature Marker Antibody is therefore well suited for research focused on cancer tissue vascularization. By specifically highlighting endothelial-lined vessels within tumors, it supports detailed examination of tumor vasculature, including vessel morphology, spatial arrangement, and integration into the tumor microenvironment. This makes it a valuable tool for studies of tumor structure, vascular mapping, and the organization of blood supply within neoplastic tissues.

Application Notes

Optimal dilution of the von Willebrand Factor Antibody / Tumor Vasculature Marker Antibody should be determined by the researcher.

Immunogen

A recombinant partial protein (within amino acids 1150-1250) from the human protein was used as the immunogen for the von Willebrand Factor Antibody / Tumor Vasculature Marker Antibody.

Storage

Aliquot the von Willebrand Factor antibody and store frozen at -20oC or colder. Avoid repeated freeze-thaw cycles.

Alternate Names

VWF tumor vasculature antibody, von Willebrand factor tumor vessel antibody, cancer blood vessel marker antibody, tumor endothelial marker antibody, VWF neoplastic vasculature antibody

Cross
Bulk Quote Request Form
Name*:
Organization*:
Email*:
Phone Number*:
Catalog No.*:
Comments and Specifics(amount, formulation, etc.)*:
Validation code: Captchapackage Image


Can't read the image? click here to refresh.
    *required field

Your bulk quote request has been submitted successfully!

Please contact us if you have any questions.